
Human Heredity 11th Edition by Michael Cummings
النسخة 11الرقم المعياري الدولي: 978-1305251052
Human Heredity 11th Edition by Michael Cummings
النسخة 11الرقم المعياري الدولي: 978-1305251052 تمرين 8
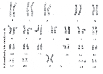
Given the karyotype shown at right, is this a male or a female? Normal or abnormal? What would the phenotype of this individual be? 

التوضيح
Look at the spaces marked for X and Y to...
Human Heredity 11th Edition by Michael Cummings
لماذا لم يعجبك هذا التمرين؟
أخرى 8 أحرف كحد أدنى و 255 حرفاً كحد أقصى
حرف 255

