Deck 24: Sectional Anatomy for Radiographers
Question
Question
Question
Question
Question
Question
Question
Question
Question
Question
Question
Question
Question
Question
Question
Question
Question
Question
Question
Question
Question
Question
Question
Question
Question
Question
Question
Question
Question
Unlock Deck
Sign up to unlock the cards in this deck!
Unlock Deck
Unlock Deck
1/29
Play
Full screen (f)
Deck 24: Sectional Anatomy for Radiographers
1
Line A is pointing to the: 
A) optic nerve.
B) pituitary gland.
C) carotid artery.
D) carotid vein.

A) optic nerve.
B) pituitary gland.
C) carotid artery.
D) carotid vein.
optic nerve.
2
The line on this CT scan is pointing to the: 
A) liver.
B) sternum.
C) stomach.
D) transverse colon.

A) liver.
B) sternum.
C) stomach.
D) transverse colon.
transverse colon.
3
Which imaging modality produced this image? 
A) CT
B) MRI
C) Radiography
D) Ultrasound

A) CT
B) MRI
C) Radiography
D) Ultrasound
CT
4
Line B is pointing to the _____ in this CT image of the brain. 
A) pituitary gland
B) third ventricle
C) lateral ventricle
D) foramen of Monroe

A) pituitary gland
B) third ventricle
C) lateral ventricle
D) foramen of Monroe
Unlock Deck
Unlock for access to all 29 flashcards in this deck.
Unlock Deck
k this deck
5
The red arrow is pointing to the bright structure within the dark gray structure.What anatomy is indicated by the arrow? 
A) Septum pallucidum
B) Corpus callosum
C) Caudate nucleus
D) Choroid plexus

A) Septum pallucidum
B) Corpus callosum
C) Caudate nucleus
D) Choroid plexus
Unlock Deck
Unlock for access to all 29 flashcards in this deck.
Unlock Deck
k this deck
6
Line A on this image is pointing to the: 
A) liver.
B) spleen.
C) L kidney.
D) gallbladder.

A) liver.
B) spleen.
C) L kidney.
D) gallbladder.
Unlock Deck
Unlock for access to all 29 flashcards in this deck.
Unlock Deck
k this deck
7
In this cross section of the thorax,line B identifies the: 
A) bronchus.
B) esophagus.
C) ascending aorta.
D) descending aorta.

A) bronchus.
B) esophagus.
C) ascending aorta.
D) descending aorta.
Unlock Deck
Unlock for access to all 29 flashcards in this deck.
Unlock Deck
k this deck
8
Line A on this CT scan is pointing to the: 
A) uterus.
B) rectum.
C) bladder.
D) small bowel.

A) uterus.
B) rectum.
C) bladder.
D) small bowel.
Unlock Deck
Unlock for access to all 29 flashcards in this deck.
Unlock Deck
k this deck
9
In this cross section of the thorax,line A identifies the: 
A) bronchus.
B) esophagus.
C) ascending aorta.
D) descending aorta.

A) bronchus.
B) esophagus.
C) ascending aorta.
D) descending aorta.
Unlock Deck
Unlock for access to all 29 flashcards in this deck.
Unlock Deck
k this deck
10
Line A on this image is pointing to the: 
A) right lobe of the liver.
B) left lobe of the liver.
C) caudate lobe of the liver.
D) falciform ligament.

A) right lobe of the liver.
B) left lobe of the liver.
C) caudate lobe of the liver.
D) falciform ligament.
Unlock Deck
Unlock for access to all 29 flashcards in this deck.
Unlock Deck
k this deck
11
Line B on this image is pointing to the: 
A) liver.
B) stomach.
C) spleen.
D) small bowel.

A) liver.
B) stomach.
C) spleen.
D) small bowel.
Unlock Deck
Unlock for access to all 29 flashcards in this deck.
Unlock Deck
k this deck
12
Line B in this axial CT scan identifies the left: 
A) clavicle.
B) brachiocephalic vein.
C) subclavian artery.
D) subclavian vein.

A) clavicle.
B) brachiocephalic vein.
C) subclavian artery.
D) subclavian vein.
Unlock Deck
Unlock for access to all 29 flashcards in this deck.
Unlock Deck
k this deck
13
Line B on this image is pointing to the: 
A) liver.
B) spleen.
C) L kidney.
D) gallbladder.

A) liver.
B) spleen.
C) L kidney.
D) gallbladder.
Unlock Deck
Unlock for access to all 29 flashcards in this deck.
Unlock Deck
k this deck
14
Line A is pointing to the _____ in this CT image of the brain. 
A) choroid plexus
B) third ventricle
C) lateral ventricle,anterior horn
D) lateral ventricle,occipital horn

A) choroid plexus
B) third ventricle
C) lateral ventricle,anterior horn
D) lateral ventricle,occipital horn
Unlock Deck
Unlock for access to all 29 flashcards in this deck.
Unlock Deck
k this deck
15
This image is a(n)_____ plane of the _____ abdomen. 
A) axial; upper
B) coronal; upper
C) axial; lower
D) coronal; lower

A) axial; upper
B) coronal; upper
C) axial; lower
D) coronal; lower
Unlock Deck
Unlock for access to all 29 flashcards in this deck.
Unlock Deck
k this deck
16
The line on this image is pointing to the: 
A) colon.
B) kidney.
C) stomach.
D) spleen.

A) colon.
B) kidney.
C) stomach.
D) spleen.
Unlock Deck
Unlock for access to all 29 flashcards in this deck.
Unlock Deck
k this deck
17
What imaging plane is presented in this image? 
A) Sagittal
B) Axial
C) Oblique
D) Coronal

A) Sagittal
B) Axial
C) Oblique
D) Coronal
Unlock Deck
Unlock for access to all 29 flashcards in this deck.
Unlock Deck
k this deck
18
The lines in this image point to the: 
A) pons.
B) third ventricle.
C) cerebellum.
D) lateral ventricles.

A) pons.
B) third ventricle.
C) cerebellum.
D) lateral ventricles.
Unlock Deck
Unlock for access to all 29 flashcards in this deck.
Unlock Deck
k this deck
19
Line A in this axial CT scan identifies the left: 
A) clavicle.
B) brachiocephalic vein.
C) subclavian artery.
D) subclavian vein.

A) clavicle.
B) brachiocephalic vein.
C) subclavian artery.
D) subclavian vein.
Unlock Deck
Unlock for access to all 29 flashcards in this deck.
Unlock Deck
k this deck
20
Study this image.Identify the imaging plane and modality. 
A) MRI,sagittal
B) CT,sagittal
C) MRI,axial
D) CT,axial

A) MRI,sagittal
B) CT,sagittal
C) MRI,axial
D) CT,axial
Unlock Deck
Unlock for access to all 29 flashcards in this deck.
Unlock Deck
k this deck
21
Examine the image below.The line points to the _____ muscle. 
A) left psoas
B) right psoas
C) rectus abdominis
D) external oblique

A) left psoas
B) right psoas
C) rectus abdominis
D) external oblique
Unlock Deck
Unlock for access to all 29 flashcards in this deck.
Unlock Deck
k this deck
22
Identify the imaging plane,anatomy,and modality in this figure. 
A) Midcoronal CT,female pelvis
B) Midcoronal CT,male pelvis
C) Midsagittal MRI,female pelvis
D) Midsagittal MRI,male pelvis

A) Midcoronal CT,female pelvis
B) Midcoronal CT,male pelvis
C) Midsagittal MRI,female pelvis
D) Midsagittal MRI,male pelvis
Unlock Deck
Unlock for access to all 29 flashcards in this deck.
Unlock Deck
k this deck
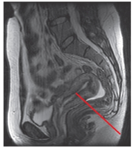
23
The line on this image labels the: 
A) uterine cavity.
B) urinary bladder.
C) rectum.
D) kidney.

A) uterine cavity.
B) urinary bladder.
C) rectum.
D) kidney.
Unlock Deck
Unlock for access to all 29 flashcards in this deck.
Unlock Deck
k this deck
24
Examine the image below.The line points to the: 
A) stomach.
B) liver.
C) kidney.
D) heart.

A) stomach.
B) liver.
C) kidney.
D) heart.
Unlock Deck
Unlock for access to all 29 flashcards in this deck.
Unlock Deck
k this deck
25
What imaging plane is demonstrated in this image? 
A) Sagittal
B) Coronal
C) Axial
D) Oblique

A) Sagittal
B) Coronal
C) Axial
D) Oblique
Unlock Deck
Unlock for access to all 29 flashcards in this deck.
Unlock Deck
k this deck
26
On the image below,the line points to the: 
A) spinal cord.
B) ascending aorta.
C) descending aorta.
D) abdominal aorta.

A) spinal cord.
B) ascending aorta.
C) descending aorta.
D) abdominal aorta.
Unlock Deck
Unlock for access to all 29 flashcards in this deck.
Unlock Deck
k this deck
27
Which number labels the straight sinus in this image? 
A) 1
B) 2
C) 3
D) 4

A) 1
B) 2
C) 3
D) 4
Unlock Deck
Unlock for access to all 29 flashcards in this deck.
Unlock Deck
k this deck
28
The line on the image below points to the: 
A) occipital lobe.
B) temporal lobe.
C) pons.
D) cerebellum.

A) occipital lobe.
B) temporal lobe.
C) pons.
D) cerebellum.
Unlock Deck
Unlock for access to all 29 flashcards in this deck.
Unlock Deck
k this deck
29
Line B on this CT scan is pointing to the: 
A) uterus.
B) rectum.
C) bladder.
D) small bowel.

A) uterus.
B) rectum.
C) bladder.
D) small bowel.
Unlock Deck
Unlock for access to all 29 flashcards in this deck.
Unlock Deck
k this deck

