Deck 15: Computed Tomography of the Head, Cerebral Vessels, Neck, and Spine
Question
Question
Question
Question
Question
Question
Question
Question
Question
Question
Question
Question
Question
Question
Question
Question
Question
Question
Question
Question
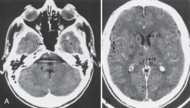
Question
Question
Question
Question
Question
Question
Question
Question
Question
Question
Question
Question
Question
Question
Question
Question
Question
Question
Question
Question
Question
Question
Question
Question
Question
Question
Question
Question
Question
Question
Question
Question
Question
Question
Question
Unlock Deck
Sign up to unlock the cards in this deck!
Unlock Deck
Unlock Deck
1/55
Play
Full screen (f)
Deck 15: Computed Tomography of the Head, Cerebral Vessels, Neck, and Spine
1
Indications for a computed tomographic scan of the spine include all of the following except:
A) disk herniations.
B) osteomyelitis.
C) strokes.
D) spondylolisthesis.
A) disk herniations.
B) osteomyelitis.
C) strokes.
D) spondylolisthesis.
strokes.
2
To ensure that no life-threatening condition exists, the first examination performed should be:
A) computed tomographic angiography of the thoracic aorta.
B) computed tomographic angiography of the neck vessels.
C) computed tomographic scan of the chest.
D) computed tomographic scan of the head without contrast.
A) computed tomographic angiography of the thoracic aorta.
B) computed tomographic angiography of the neck vessels.
C) computed tomographic scan of the chest.
D) computed tomographic scan of the head without contrast.
computed tomographic scan of the head without contrast.
3
What pathologic condition describes the result of a loss of adequate blood supply to a portion of the brain?
A) Cerebral infarction
B) Hemorrhage
C) Metastatic disease
D) Tumor
A) Cerebral infarction
B) Hemorrhage
C) Metastatic disease
D) Tumor
Cerebral infarction
4
Coronal images are valuable for scans of the following except:
A) top of the cranial vault.
B) roof of the orbit.
C) skull base.
D) ventricles.
A) top of the cranial vault.
B) roof of the orbit.
C) skull base.
D) ventricles.
Unlock Deck
Unlock for access to all 55 flashcards in this deck.
Unlock Deck
k this deck
5
Indications for a computed tomographic scan of the neck include all of the following except:
A) carotid stenosis.
B) goiter.
C) mass.
D) polyps.
A) carotid stenosis.
B) goiter.
C) mass.
D) polyps.
Unlock Deck
Unlock for access to all 55 flashcards in this deck.
Unlock Deck
k this deck
6
Which of the following is the most common condition evaluated by repeated computed tomographic head scanning?
A) Acute subdural hematoma
B) Chronic subdural hematoma
C) Metastatic disease
D) Transient ischemic attack
A) Acute subdural hematoma
B) Chronic subdural hematoma
C) Metastatic disease
D) Transient ischemic attack
Unlock Deck
Unlock for access to all 55 flashcards in this deck.
Unlock Deck
k this deck
7
Orbital computed tomographic images should always be available in which plane because of the pyramidal shape of the bony orbit?
A) Coronal
B) Sagittal
C) Oblique
D) Curved
A) Coronal
B) Sagittal
C) Oblique
D) Curved
Unlock Deck
Unlock for access to all 55 flashcards in this deck.
Unlock Deck
k this deck
8
Computed tomography (CT) provides rapid information about each of the following traumatic injuries except:
A) contusions.
B) fractures.
C) hematomas.
D) metastasis.
A) contusions.
B) fractures.
C) hematomas.
D) metastasis.
Unlock Deck
Unlock for access to all 55 flashcards in this deck.
Unlock Deck
k this deck
9
In adults, what is the preferred scanning line when imaging the head?
A) Canthomeatal line
B) Orbitomeatal line
C) Interpupillary line
D) Extrenomeatal line
A) Canthomeatal line
B) Orbitomeatal line
C) Interpupillary line
D) Extrenomeatal line
Unlock Deck
Unlock for access to all 55 flashcards in this deck.
Unlock Deck
k this deck
10
Which images are particularly useful for assessing bone when the plane of the bone runs parallel to the axial slice?
A) Axial
B) Coronal
C) Oblique
D) Sagittal
A) Axial
B) Coronal
C) Oblique
D) Sagittal
Unlock Deck
Unlock for access to all 55 flashcards in this deck.
Unlock Deck
k this deck
11
The matrix size on most of the current equipment is:
A) 256 * 256.
B) 512 * 512.
C) 1024*1024.
D) 2048 *2048.
A) 256 * 256.
B) 512 * 512.
C) 1024*1024.
D) 2048 *2048.
Unlock Deck
Unlock for access to all 55 flashcards in this deck.
Unlock Deck
k this deck
12
Preparation of the patient for a computed tomographic scan of the head or spine should include all of the following except:
A) metallic objects should be removed.
B) explanation of contrast media (if indicated).
C) patient should not eat 6 hours prior to the exam.
D) patient should be made comfortable.
A) metallic objects should be removed.
B) explanation of contrast media (if indicated).
C) patient should not eat 6 hours prior to the exam.
D) patient should be made comfortable.
Unlock Deck
Unlock for access to all 55 flashcards in this deck.
Unlock Deck
k this deck
13
Image acquisition is primarily obtained in the ___________ plane.
A) axial
B) coronal
C) oblique
D) sagittal
A) axial
B) coronal
C) oblique
D) sagittal
Unlock Deck
Unlock for access to all 55 flashcards in this deck.
Unlock Deck
k this deck
14
All of the following are algorithms used for the brain, neck, and spine except:
A) bone.
B) detail.
C) lung.
D) standard.
A) bone.
B) detail.
C) lung.
D) standard.
Unlock Deck
Unlock for access to all 55 flashcards in this deck.
Unlock Deck
k this deck
15
Because enhancement persists for hours, at least ___________ hours should elapse after a contrasted examination before an unenhanced scan is obtained.
A) 3-5
B) 4-6
C) 5-7
D) 6-8
A) 3-5
B) 4-6
C) 5-7
D) 6-8
Unlock Deck
Unlock for access to all 55 flashcards in this deck.
Unlock Deck
k this deck
16
Which of the following is a form of computed tomographic angiography used in suspected acute brain infarction to determine the amount of brain tissue at risk for permanent damage?
A) Computed tomographic effusion
B) Computed tomographic venogram
C) Computed tomographic perfusion
D) Computed tomographic transmission
A) Computed tomographic effusion
B) Computed tomographic venogram
C) Computed tomographic perfusion
D) Computed tomographic transmission
Unlock Deck
Unlock for access to all 55 flashcards in this deck.
Unlock Deck
k this deck
17
Studies requiring reformatted images are acquired with ________ slices.
A) coronal
B) sagittal
C) thick
D) thin
A) coronal
B) sagittal
C) thick
D) thin
Unlock Deck
Unlock for access to all 55 flashcards in this deck.
Unlock Deck
k this deck
18
An important use of computed tomographic angiography of the head is in the evaluation of:
A) acute cerebral infarction.
B) fractures.
C) tumor visualization.
D) venous visualization.
A) acute cerebral infarction.
B) fractures.
C) tumor visualization.
D) venous visualization.
Unlock Deck
Unlock for access to all 55 flashcards in this deck.
Unlock Deck
k this deck
19
The __________ plane is still the most used plane for image interpretation of the skull and its contents.
A) coronal
B) oblique
C) sagittal
D) transverse
A) coronal
B) oblique
C) sagittal
D) transverse
Unlock Deck
Unlock for access to all 55 flashcards in this deck.
Unlock Deck
k this deck
20
The subspecialty of radiology that deals with the central nervous system (CNS) and conditions affecting the head and neck is:
A) cranial radiology.
B) gastoradiology.
C) neuroradiology.
D) vascular radiology.
A) cranial radiology.
B) gastoradiology.
C) neuroradiology.
D) vascular radiology.
Unlock Deck
Unlock for access to all 55 flashcards in this deck.
Unlock Deck
k this deck
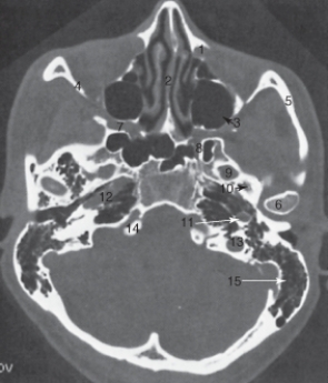
21
The zygoma is labeled: 
A)6.
B)7.
C)8.
D)9.

A)6.
B)7.
C)8.
D)9.
Unlock Deck
Unlock for access to all 55 flashcards in this deck.
Unlock Deck
k this deck
22
The structure labeled 5 is the: 
A) lateral orbital wall.
B) mandibular condyle.
C) temporal bone.
D) zygomatic arch.

A) lateral orbital wall.
B) mandibular condyle.
C) temporal bone.
D) zygomatic arch.
Unlock Deck
Unlock for access to all 55 flashcards in this deck.
Unlock Deck
k this deck
23
The nasal septum is labeled: 
A)1.
B)2
C)3.
D)4.

A)1.
B)2
C)3.
D)4.
Unlock Deck
Unlock for access to all 55 flashcards in this deck.
Unlock Deck
k this deck
24
The structure labeled as 1 is the: 
A) internal carotid artery.
B) masseter muscle.
C) odontoid process.
D) spinal cord.

A) internal carotid artery.
B) masseter muscle.
C) odontoid process.
D) spinal cord.
Unlock Deck
Unlock for access to all 55 flashcards in this deck.
Unlock Deck
k this deck
25
The falx cerebri is labeled: 
A)17.
B)18.
C)19.
D)20.

A)17.
B)18.
C)19.
D)20.
Unlock Deck
Unlock for access to all 55 flashcards in this deck.
Unlock Deck
k this deck
26
The mastoid air cells are labeled: 
A)3.
B)11.
C)12.
D)15.

A)3.
B)11.
C)12.
D)15.
Unlock Deck
Unlock for access to all 55 flashcards in this deck.
Unlock Deck
k this deck
27
The anterior (frontal) horn of the lateral ventricle is labeled as: 
A)4.
B)8.
C)15.
D)16.

A)4.
B)8.
C)15.
D)16.
Unlock Deck
Unlock for access to all 55 flashcards in this deck.
Unlock Deck
k this deck
28
The thalamus is labeled: 
A)9.
B)10.
C)12.
D) 14.

A)9.
B)10.
C)12.
D) 14.
Unlock Deck
Unlock for access to all 55 flashcards in this deck.
Unlock Deck
k this deck
29
The internal jugular vein is labeled: 
A)6.
B)7.
C)8.
D)9.

A)6.
B)7.
C)8.
D)9.
Unlock Deck
Unlock for access to all 55 flashcards in this deck.
Unlock Deck
k this deck
30
The sphenoid sinus is labeled: 
A)1.
B)2.
C)3.
D) 5.

A)1.
B)2.
C)3.
D) 5.
Unlock Deck
Unlock for access to all 55 flashcards in this deck.
Unlock Deck
k this deck
31
The structure labeled 15 is the: 
A) calcified choroid plexus.
B) fourth ventricle.
C) pons.
D) third ventricle.

A) calcified choroid plexus.
B) fourth ventricle.
C) pons.
D) third ventricle.
Unlock Deck
Unlock for access to all 55 flashcards in this deck.
Unlock Deck
k this deck
32
The structure labeled 3 is the: 
A) cribriform plate.
B) inferior turbinate.
C) maxillary sinus.
D) middle turbinate.

A) cribriform plate.
B) inferior turbinate.
C) maxillary sinus.
D) middle turbinate.
Unlock Deck
Unlock for access to all 55 flashcards in this deck.
Unlock Deck
k this deck
33
The structure labeled as 7 is the: 
A) cerebellar hemisphere.
B) frontal lobe.
C) middle cerebellar peduncle.
D) temporal lobe.

A) cerebellar hemisphere.
B) frontal lobe.
C) middle cerebellar peduncle.
D) temporal lobe.
Unlock Deck
Unlock for access to all 55 flashcards in this deck.
Unlock Deck
k this deck
34
The lateral orbital wall is labeled: 
A)6.
B)7.
C)8.
D)9.

A)6.
B)7.
C)8.
D)9.
Unlock Deck
Unlock for access to all 55 flashcards in this deck.
Unlock Deck
k this deck
35
The ethmoid sinuses are labeled: 
A)2.
B)3.
C)4.
D)5.

A)2.
B)3.
C)4.
D)5.
Unlock Deck
Unlock for access to all 55 flashcards in this deck.
Unlock Deck
k this deck
36
The structure labeled 7 is the: 
A) cribriform plate.
B) lateral orbital wall.
C) roof of the orbit.
D) zygoma.

A) cribriform plate.
B) lateral orbital wall.
C) roof of the orbit.
D) zygoma.
Unlock Deck
Unlock for access to all 55 flashcards in this deck.
Unlock Deck
k this deck
37
The structure labeled 3 is the: 
A) caudate nucleus.
B) fourth ventricle.
C) pons.
D) third ventricle.

A) caudate nucleus.
B) fourth ventricle.
C) pons.
D) third ventricle.
Unlock Deck
Unlock for access to all 55 flashcards in this deck.
Unlock Deck
k this deck
38
The structure labeled as 8 is the: 
A) internal carotid artery.
B) internal jugular vein.
C) odontoid.
D) parotid gland.

A) internal carotid artery.
B) internal jugular vein.
C) odontoid.
D) parotid gland.
Unlock Deck
Unlock for access to all 55 flashcards in this deck.
Unlock Deck
k this deck
39
The parotid gland is labeled: 
A)8.
B)9.
C)10.
D)11.

A)8.
B)9.
C)10.
D)11.
Unlock Deck
Unlock for access to all 55 flashcards in this deck.
Unlock Deck
k this deck
40
The structure labeled 6 is the: 
A) ascending carotid canal.
B) lateral orbital wall.
C) nasal septum.
D) mandibular condyle.

A) ascending carotid canal.
B) lateral orbital wall.
C) nasal septum.
D) mandibular condyle.
Unlock Deck
Unlock for access to all 55 flashcards in this deck.
Unlock Deck
k this deck
41
In children, a steeply angled plane is used to scan the brain to avoid radiating the ocular lens.
Unlock Deck
Unlock for access to all 55 flashcards in this deck.
Unlock Deck
k this deck
42
Contrast enhancement is well visualized on bone algorithm or bone windows.
Unlock Deck
Unlock for access to all 55 flashcards in this deck.
Unlock Deck
k this deck
43
The intervertebral disk is labeled: 
A)4
B)5.
C)6.
D)7.

A)4
B)5.
C)6.
D)7.
Unlock Deck
Unlock for access to all 55 flashcards in this deck.
Unlock Deck
k this deck
44
The thyroid cartilage is labeled: 
A)1.
B)2.
C)3.
D)6.

A)1.
B)2.
C)3.
D)6.
Unlock Deck
Unlock for access to all 55 flashcards in this deck.
Unlock Deck
k this deck
45
A standard dose of contrast is administered for each type of examination on the basis of the patient's weight, up to a maximum.
Unlock Deck
Unlock for access to all 55 flashcards in this deck.
Unlock Deck
k this deck
46
The structure labeled as 4 is the: 
A) carotid artery.
B) esophagus.
C) spinal cord.
D) vertebral artery.

A) carotid artery.
B) esophagus.
C) spinal cord.
D) vertebral artery.
Unlock Deck
Unlock for access to all 55 flashcards in this deck.
Unlock Deck
k this deck
47
The structure labeled as 5 is the: 
A) internal carotid artery.
B) internal jugular vein.
C) sternocleidomastoid muscle.
D) vertebral artery.

A) internal carotid artery.
B) internal jugular vein.
C) sternocleidomastoid muscle.
D) vertebral artery.
Unlock Deck
Unlock for access to all 55 flashcards in this deck.
Unlock Deck
k this deck
48
The common carotid artery is labeled: 
A)4.
B)5.
C)7.
D)8.

A)4.
B)5.
C)7.
D)8.
Unlock Deck
Unlock for access to all 55 flashcards in this deck.
Unlock Deck
k this deck
49
CT has largely replaced plain films of the cervical spine in cases of trauma.
Unlock Deck
Unlock for access to all 55 flashcards in this deck.
Unlock Deck
k this deck
50
Sinus disease is not well demonstrated by CT.
Unlock Deck
Unlock for access to all 55 flashcards in this deck.
Unlock Deck
k this deck
51
Sagittal images of the temporal bone can highlight the relationships of the ossicles and the structures along the medial wall of the middle ear.
Unlock Deck
Unlock for access to all 55 flashcards in this deck.
Unlock Deck
k this deck
52
As with plain radiographs, transverse images and coronal reformatted images are viewed as if facing the individual.
Unlock Deck
Unlock for access to all 55 flashcards in this deck.
Unlock Deck
k this deck
53
Contrast-induced nephropathy indicates a deteriorated liver function as a result of iodine-based contrast.
Unlock Deck
Unlock for access to all 55 flashcards in this deck.
Unlock Deck
k this deck
54
Sagittal sections are helpful in evaluating midline structures.
Unlock Deck
Unlock for access to all 55 flashcards in this deck.
Unlock Deck
k this deck
55
A CT venogram (CTV) visualizes the jugular veins and dural sinuses for sites of possible thrombosis.
Unlock Deck
Unlock for access to all 55 flashcards in this deck.
Unlock Deck
k this deck

