Deck 4: Sex Determination and Sex-Linked Characteristics
Question
Question
Question
Question
Question
Question
Question
Question
Question
Question
Question
Question
Question
Question
Question
Question
Question
Question
Question
Question
Question
Question
Question
Question
Question
Question
Question
Question
Question
Question
Question
Question
Question
Question
Question
Question
Question
Question
Question
Question
Question
Question
Question
Question
Question
Question
Question
Question
Question
Question
Question
Question
Question
Question
Question
Question
Question
Question
Question
Question
Question
Question
Question
Question
Question
Question
Question
Question
Question
Question
Question
Question
Question
Question
Question
Question
Question
Question
Question
Question
Unlock Deck
Sign up to unlock the cards in this deck!
Unlock Deck
Unlock Deck
1/87
Play
Full screen (f)
Deck 4: Sex Determination and Sex-Linked Characteristics
1
What is the expected outcome for a human embryo with the XXXY chromosome constitution?
A) It would likely develop into a female who will not respond to the hormone testosterone.
B) It would likely develop into a sterile male with reduced testes.
C) It will always abort early in development before birth.
D) It would likely develop into a tall female who may be slightly cognitively impaired.
E) It would likely develop into a fertile man with a completely normal male phenotype.
A) It would likely develop into a female who will not respond to the hormone testosterone.
B) It would likely develop into a sterile male with reduced testes.
C) It will always abort early in development before birth.
D) It would likely develop into a tall female who may be slightly cognitively impaired.
E) It would likely develop into a fertile man with a completely normal male phenotype.
B
2
In which of the following organisms is gender/sex determined by the temperature during embryonic development?
A) humans
B) mice
C) fruit flies
D) many snakes and birds
E) many turtles and alligators
A) humans
B) mice
C) fruit flies
D) many snakes and birds
E) many turtles and alligators
E
3
An XXY chromosome constitution produces _____ development in humans and _____ development in fruit flies.
A) female; female
B) male; male
C) female; male
D) male; female
E) male, intersex
A) female; female
B) male; male
C) female; male
D) male; female
E) male, intersex
D
4
In humans, occasionally a baby is found that has the XY chromosomal karyotype but is phenotypically female. Which of the following statements might be a CORRECT explanation for at least some of these unusual cases?
A) A mutation has occurred in the SRY gene making it inactive.
B) An extra pierce of autosomal chromosome 15 is probably present in the genome but is too small to be detected.
C) A small piece of the X chromosome is missing but is too small to be detected.
D) The Xist gene on the X chromosome is mutated and inactive.
E) The ratio of number of X chromosomes to number of sets of chromosomes is incorrect.
A) A mutation has occurred in the SRY gene making it inactive.
B) An extra pierce of autosomal chromosome 15 is probably present in the genome but is too small to be detected.
C) A small piece of the X chromosome is missing but is too small to be detected.
D) The Xist gene on the X chromosome is mutated and inactive.
E) The ratio of number of X chromosomes to number of sets of chromosomes is incorrect.
Unlock Deck
Unlock for access to all 87 flashcards in this deck.
Unlock Deck
k this deck
5
In humans, occasionally a baby is found that has the XX chromosomal karyotype but is phenotypically male. Which of the following statements might be a CORRECT explanation for at least some of these unusual cases?
A) A mutation has occurred in the SRY gene making it inactive.
B) An extra pierce of autosomal chromosome 15 is probably present in the genome but is too small to be detected.
C) A small piece of autosomal chromosome 15 is missing but is too small to be detected.
D) A piece of chromosomal material containing an active SRY gene is found attached to one of the X chromosomes.
E) The ratio of number of X chromosomes to number of sets of chromosomes is incorrect.
A) A mutation has occurred in the SRY gene making it inactive.
B) An extra pierce of autosomal chromosome 15 is probably present in the genome but is too small to be detected.
C) A small piece of autosomal chromosome 15 is missing but is too small to be detected.
D) A piece of chromosomal material containing an active SRY gene is found attached to one of the X chromosomes.
E) The ratio of number of X chromosomes to number of sets of chromosomes is incorrect.
Unlock Deck
Unlock for access to all 87 flashcards in this deck.
Unlock Deck
k this deck
6
Which of the following chromosome constitutions would never lead to a viable human baby being born?
A) XXX
B) XYY
C) XO (O = the absence of a second chromosome)
D) YY
E) XXY
A) XXX
B) XYY
C) XO (O = the absence of a second chromosome)
D) YY
E) XXY
Unlock Deck
Unlock for access to all 87 flashcards in this deck.
Unlock Deck
k this deck
7
Species in which individuals have only male or only female reproductive structures are called:
A) hermaphrodites.
B) diploids.
C) dioecious.
D) homogametic.
E) monoecious.
A) hermaphrodites.
B) diploids.
C) dioecious.
D) homogametic.
E) monoecious.
Unlock Deck
Unlock for access to all 87 flashcards in this deck.
Unlock Deck
k this deck
8
With the XX-XO sex determination system, generally:
A) female offspring have one X chromosome, and it is inherited from their father.
B) male offspring have one X chromosome, and it is inherited from their mother.
C) male offspring have one X chromosome, and it is inherited from their father.
D) female offspring have one X chromosome, and it is inherited from their mother.
E) male offspring have two X chromosomes, one inherited from each parent.
A) female offspring have one X chromosome, and it is inherited from their father.
B) male offspring have one X chromosome, and it is inherited from their mother.
C) male offspring have one X chromosome, and it is inherited from their father.
D) female offspring have one X chromosome, and it is inherited from their mother.
E) male offspring have two X chromosomes, one inherited from each parent.
Unlock Deck
Unlock for access to all 87 flashcards in this deck.
Unlock Deck
k this deck
9
A female with androgen-insensitivity syndrome, a sex-linked recessive condition, has:
A) two X chromosomes, both carrying mutant alleles in the gene that makes the androgen receptor.
B) a pair of ovaries that overproduce estrogen.
C) an XXX chromosome constitution that causes her not to produce testosterone.
D) a pair of testes that produce testosterone.
E) an inactive SRY gene.
A) two X chromosomes, both carrying mutant alleles in the gene that makes the androgen receptor.
B) a pair of ovaries that overproduce estrogen.
C) an XXX chromosome constitution that causes her not to produce testosterone.
D) a pair of testes that produce testosterone.
E) an inactive SRY gene.
Unlock Deck
Unlock for access to all 87 flashcards in this deck.
Unlock Deck
k this deck
10
The sex determination system used by Drosophila is called:
A) the X:A sex determination system.
B) the ZZ-ZW sex determination system.
C) the XX-XO sex determination system.
D) the XX-XY sex determination system.
E) genic sex detemination.
A) the X:A sex determination system.
B) the ZZ-ZW sex determination system.
C) the XX-XO sex determination system.
D) the XX-XY sex determination system.
E) genic sex detemination.
Unlock Deck
Unlock for access to all 87 flashcards in this deck.
Unlock Deck
k this deck
11
What is the sex chromosome constitution of a male duck-billed platypus?
A) XX
B) XY
C) XO
D) ZZ
E) XXXXXYYYYY
A) XX
B) XY
C) XO
D) ZZ
E) XXXXXYYYYY
Unlock Deck
Unlock for access to all 87 flashcards in this deck.
Unlock Deck
k this deck
12
Human females with XY chromosomes and a phenotype that includes the absence of a uterus and ovaries and the presence of testes are likely to have which of the following mutations?
A) a mutation in the SRY gene
B) a mutation in the androgen receptor gene
C) a deletion that removes much of the Y chromosome
D) They likely do not carry a mutation but may have been premature babies.
E) a defect in Xist gene involved in X inactivation
A) a mutation in the SRY gene
B) a mutation in the androgen receptor gene
C) a deletion that removes much of the Y chromosome
D) They likely do not carry a mutation but may have been premature babies.
E) a defect in Xist gene involved in X inactivation
Unlock Deck
Unlock for access to all 87 flashcards in this deck.
Unlock Deck
k this deck
13
Species in which an individual organism has both male and female reproductive structures are called:
A) monoecious.
B) haploid.
C) diploid.
D) dioecious.
E) heterogametic.
A) monoecious.
B) haploid.
C) diploid.
D) dioecious.
E) heterogametic.
Unlock Deck
Unlock for access to all 87 flashcards in this deck.
Unlock Deck
k this deck
14
In a germ-line cell from a female grasshopper (XX-XO sex determination system), when do the homologous X chromosomes segregate?
A) during mitosis
B) during meiosis I, anaphase
C) during meiosis II, anaphase
D) They do not segregate; gametes contain a copy of X and a copy of Y.
E) just before meiosis begins
A) during mitosis
B) during meiosis I, anaphase
C) during meiosis II, anaphase
D) They do not segregate; gametes contain a copy of X and a copy of Y.
E) just before meiosis begins
Unlock Deck
Unlock for access to all 87 flashcards in this deck.
Unlock Deck
k this deck
15
What is the role of the SRY gene in humans?
A) It initiates the X inactivation process in females.
B) It is located on the X chromosome and causes the X to pair with the Y chromosome during male meiosis.
C) It is located on the Y chromosome and initiates the developmental pathway toward the male phenotype.
D) It is located on an autosomal chromosome and represses expression of autosomal genes in order to balance their expression level with genes on the X chromosome.
E) None of the answers is correct.
A) It initiates the X inactivation process in females.
B) It is located on the X chromosome and causes the X to pair with the Y chromosome during male meiosis.
C) It is located on the Y chromosome and initiates the developmental pathway toward the male phenotype.
D) It is located on an autosomal chromosome and represses expression of autosomal genes in order to balance their expression level with genes on the X chromosome.
E) None of the answers is correct.
Unlock Deck
Unlock for access to all 87 flashcards in this deck.
Unlock Deck
k this deck
16
Human males with XY chromosomes are _____ and produce two different kinds of gametes, whereas females with XX chromosomes are _____ and produce only one kind.
A) homogametic; heterogametic
B) dioecious; monoecious
C) heterogametic; homogametic
D) monoecious; dioecious
E) monoecious; heterogametic
A) homogametic; heterogametic
B) dioecious; monoecious
C) heterogametic; homogametic
D) monoecious; dioecious
E) monoecious; heterogametic
Unlock Deck
Unlock for access to all 87 flashcards in this deck.
Unlock Deck
k this deck
17
In a germ-line cell from a human male that is dividing, when do the X and Y chromosomes segregate?
A) during mitosis
B) during meiosis I, anaphase
C) during meiosis II, anaphase
D) They do not segregate; gametes contain a copy of X and a copy of Y.
E) just before meiosis begins
A) during mitosis
B) during meiosis I, anaphase
C) during meiosis II, anaphase
D) They do not segregate; gametes contain a copy of X and a copy of Y.
E) just before meiosis begins
Unlock Deck
Unlock for access to all 87 flashcards in this deck.
Unlock Deck
k this deck
18
In which of the following phenotypic females do testes develop?
A) XY with an deletion that removes the SRY gene
B) XO
C) XY with the X-linked recessive condition of androgen-insensitivity syndrome
D) XX
E) XXX
A) XY with an deletion that removes the SRY gene
B) XO
C) XY with the X-linked recessive condition of androgen-insensitivity syndrome
D) XX
E) XXX
Unlock Deck
Unlock for access to all 87 flashcards in this deck.
Unlock Deck
k this deck
19
In species of birds, males are the homogametic sex and females the heterogametic sex. Which of the following statements is TRUE in this system of sex determination?
A) The gender of the offspring is determined by the female parent.
B) Male offspring have a ZW chromosome constitution.
C) The gender of the offspring is determined by the male parent.
D) Female offspring have a ZZ chromosome constitution.
E) Female and male offspring have the same chromosome constitution.
A) The gender of the offspring is determined by the female parent.
B) Male offspring have a ZW chromosome constitution.
C) The gender of the offspring is determined by the male parent.
D) Female offspring have a ZZ chromosome constitution.
E) Female and male offspring have the same chromosome constitution.
Unlock Deck
Unlock for access to all 87 flashcards in this deck.
Unlock Deck
k this deck
20
Which of the following human genotypes is associated with Klinefelter syndrome?
A) XXY
B) XYY
C) XXX
D) XO
E) XX
A) XXY
B) XYY
C) XXX
D) XO
E) XX
Unlock Deck
Unlock for access to all 87 flashcards in this deck.
Unlock Deck
k this deck
21
During the evolution of the human Y chromosome, all of the following are assumed to occur EXCEPT:
A) the original chromosome was an autosome that eventually evolved into the Y chromosome.
B) one of the early events in the evolution of the Y chromosome was the acquisition or evolution of a gene somewhat similar to the current human SRY gene.
C) many of the genes on the original ancestral chromosome suffered mutations and became inactive during the evolution of the Y chromosome.
D) many of the genes on the early X chromosome that were responsible for critical cellular functions got moved to the evolving Y chromosome.
E) several palindromic regions evolved or were acquired and are now present on the Y chromosome.
A) the original chromosome was an autosome that eventually evolved into the Y chromosome.
B) one of the early events in the evolution of the Y chromosome was the acquisition or evolution of a gene somewhat similar to the current human SRY gene.
C) many of the genes on the original ancestral chromosome suffered mutations and became inactive during the evolution of the Y chromosome.
D) many of the genes on the early X chromosome that were responsible for critical cellular functions got moved to the evolving Y chromosome.
E) several palindromic regions evolved or were acquired and are now present on the Y chromosome.
Unlock Deck
Unlock for access to all 87 flashcards in this deck.
Unlock Deck
k this deck
22
Suppose that an apparently female athlete fails a gender test and is not allowed to compete in her event. The gender test is based on examination of cheek cells for the presence of one or more Barr bodies. Later, it is discovered that the athlete has androgen-insensitivity syndrome. What is the chromosome constitution of a person with androgen-insensitivity syndrome?
Unlock Deck
Unlock for access to all 87 flashcards in this deck.
Unlock Deck
k this deck
23
Red-green color blindness is X-linked recessive. A woman with normal color vision has a father who is color blind. The woman has a child with a man with normal color vision. Which phenotype is NOT expected?
A) a color-blind female
B) a color-blind male
C) a noncolor-blind female
D) a noncolor-blind male
E) a color-blind male or a color-blind female
A) a color-blind female
B) a color-blind male
C) a noncolor-blind female
D) a noncolor-blind male
E) a color-blind male or a color-blind female
Unlock Deck
Unlock for access to all 87 flashcards in this deck.
Unlock Deck
k this deck
24
Familial vitamin-D-resistant rickets is an X-linked dominant condition in humans. If a man is afflicted with this condition and his wife is normal, it is expected that among their children, all the daughters would be affected and all the sons would be normal. In families where the husband is affected and the wife is normal, this is almost always the outcome among their children when such families have been studied. Very rarely an unexpected result occurs in such families where a boy is born with the disorder. If the chromosomes of such unusual boys are examined, what might be expected to be found?
A) Some of the boys are XYY.
B) Some of the boys are XY but have lost the SRY gene from their Y chromosome.
C) Some of the boys are YY.
D) Some of the boys are XXY.
E) Some of the boys are XXX.
A) Some of the boys are XYY.
B) Some of the boys are XY but have lost the SRY gene from their Y chromosome.
C) Some of the boys are YY.
D) Some of the boys are XXY.
E) Some of the boys are XXX.
Unlock Deck
Unlock for access to all 87 flashcards in this deck.
Unlock Deck
k this deck
25
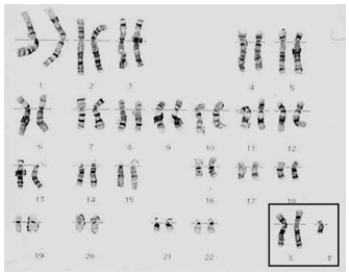
A man and a woman are trying to have children but are unsuccessful. The man's autosomes appear normal, but his sex chromosomes, shown in the following diagram, are not. The diagram also shows a normal male's sex chromosomes for reference. In two to three sentences, explain the man's situation, including the type of chromosome mutation he carries, the specific regions of specific chromosomes involved, and why he is male. 

Unlock Deck
Unlock for access to all 87 flashcards in this deck.
Unlock Deck
k this deck
26
Some organisms have multiple X and Y chromosomes and even different numbers of X and Y chromosomes. You have discovered such a species. Females have 8 X chromosomes, whereas males have 4 X and 2 Y. Describe the X and Y constitution of the gametes produced by this species-both male and female-that allows these chromosome numbers to be stably maintained.
Unlock Deck
Unlock for access to all 87 flashcards in this deck.
Unlock Deck
k this deck
27
While doing summer fieldwork on a remote Indonesian island, you discover a new genus of lizard closely related to Komodo dragons. You attempt to discover what sex determination system it uses by performing a series of controlled crosses on the island, using an isolated pair of lizards. Initially, all your crosses yield only males (in significant numbers). As fall begins and you prepare to leave the island, you find that your last cross yielded only females (in significant numbers). Suggest a mode of sex determination that explains these data.
Unlock Deck
Unlock for access to all 87 flashcards in this deck.
Unlock Deck
k this deck
28
Explain the development of female external anatomy in individuals with androgen-insensitivity syndrome.
Unlock Deck
Unlock for access to all 87 flashcards in this deck.
Unlock Deck
k this deck
29
Suppose that an apparently female athlete fails a gender test and is not allowed to compete in her event. The gender test is based on examination of cheek cells for the presence of one or more Barr bodies. Later, it is discovered that the athlete has androgen-insensitivity syndrome. Evaluate the decision of the officials to exclude the athlete from athletic competition as a female in light of your knowledge of androgen-insensitivity syndrome. Do you think the athlete should be allowed to compete as a female?
Unlock Deck
Unlock for access to all 87 flashcards in this deck.
Unlock Deck
k this deck
30
Explain the genders of human and diploid DrosophilaXXY individuals.
Unlock Deck
Unlock for access to all 87 flashcards in this deck.
Unlock Deck
k this deck
31
A man and a woman are trying to have children but are unsuccessful. The man's autosomes appear normal, but his sex chromosomes, shown in the following diagram, are not. The diagram also shows a normal male's sex chromosomes for reference. Can you tell if the mutation came from the man's mother or the man's father? Explain how you can tell. 

Unlock Deck
Unlock for access to all 87 flashcards in this deck.
Unlock Deck
k this deck
32
What level of male hormones would you expect to find in a person with androgen-insensitivity syndrome?
Unlock Deck
Unlock for access to all 87 flashcards in this deck.
Unlock Deck
k this deck
33
List five different sex determination systems and a representative organism for each.
Unlock Deck
Unlock for access to all 87 flashcards in this deck.
Unlock Deck
k this deck
34
Suppose that an apparently female athlete fails a gender test and is not allowed to compete in her event. The gender test is based on examination of cheek cells for the presence of one or more Barr bodies. Later, it is discovered that the athlete has androgen-insensitivity syndrome. Explain why the athlete failed the gender test. What did the technician see in the test and how was it interpreted?
Unlock Deck
Unlock for access to all 87 flashcards in this deck.
Unlock Deck
k this deck
35
Predict the sexual phenotype of a person who is XY but whose Y chromosome carries a deletion of the SRY gene. Explain your prediction.
Unlock Deck
Unlock for access to all 87 flashcards in this deck.
Unlock Deck
k this deck
36
Explain the genders of human and diploid Drosophila XO individuals.
Unlock Deck
Unlock for access to all 87 flashcards in this deck.
Unlock Deck
k this deck
37
Characterize the gonads of a person with androgen-insensitivity syndrome as testes, ovaries, or intersex.
Unlock Deck
Unlock for access to all 87 flashcards in this deck.
Unlock Deck
k this deck
38
How might an XY person with a deletion of the SRY gene be distinguished from a person with androgen-insensitivity syndrome?
Unlock Deck
Unlock for access to all 87 flashcards in this deck.
Unlock Deck
k this deck
39
In Drosophila, flies that are XXY but have a normal diploid set of autosomes have been found. Such XXY chromosome constitutions have also been found in humans. The sex of such individuals is expected to be:
A) male in both Drosophila and humans.
B) female in both Drosophila and humans.
C) male in Drosophila but female in humans.
D) female in Drosophila but male in humans.
E) intersexes in Drosophila and males in humans.
A) male in both Drosophila and humans.
B) female in both Drosophila and humans.
C) male in Drosophila but female in humans.
D) female in Drosophila but male in humans.
E) intersexes in Drosophila and males in humans.
Unlock Deck
Unlock for access to all 87 flashcards in this deck.
Unlock Deck
k this deck
40
Which statement BEST summarizes our current understanding of the origin of the Y chromosome?
A) The Y chromosome is thought to have arisen spontaneously in an ancestor of mammals millions of years ago.
B) The Y chromosome is thought to have arisen as a fusion of two autosomes.
C) The Y chromosome is thought to have arisen as a broken fragment of the X chromosome.
D) The Y chromosome is thought to have been derived along with the X chromosome from a pair of autosomes.
E) The Y chromosome arose from the fusion of the X chromosome with one of the autosomes.
A) The Y chromosome is thought to have arisen spontaneously in an ancestor of mammals millions of years ago.
B) The Y chromosome is thought to have arisen as a fusion of two autosomes.
C) The Y chromosome is thought to have arisen as a broken fragment of the X chromosome.
D) The Y chromosome is thought to have been derived along with the X chromosome from a pair of autosomes.
E) The Y chromosome arose from the fusion of the X chromosome with one of the autosomes.
Unlock Deck
Unlock for access to all 87 flashcards in this deck.
Unlock Deck
k this deck
41
Joan is phenotypically normal but had a child with the autosomal recessive disease cystic fibrosis (CF) from a previous marriage. Joan's father has hemophilia A, a sex-linked recessive condition where the blood fails to clot properly. Her father has survived due to recent treatment advances. Joan now intends to marry Bill, who is also phenotypically normal but who has a sister, Jill, with CF. Bill's parents are phenotypically normal, and there is no history of hemophilia A in his family. Assume that Joan and Bill do marry and have a child. What is the probability that this child will have CF but will not have hemophilia A? (Hint: This problem requires that you utilize concepts from Chapter 3 as well as Chapter 4.)
A) 1/8
B) 1/12
C) 1/24
D) 3/32
E) 5/32
A) 1/8
B) 1/12
C) 1/24
D) 3/32
E) 5/32
Unlock Deck
Unlock for access to all 87 flashcards in this deck.
Unlock Deck
k this deck
42
In Drosophila yellow body color is caused by a sex-linked recessive allele and brown eye color is an autosomal recessive trait. A phenotypically normal female fly, heterozygous for both genes, is crossed to a male with normal body color and brown eyes. What proportion of their offspring should have yellow body color and brown eyes?
A) 1/16
B) 1/8
C) 1/4
D) 3/16
E) 3/8
A) 1/16
B) 1/8
C) 1/4
D) 3/16
E) 3/8
Unlock Deck
Unlock for access to all 87 flashcards in this deck.
Unlock Deck
k this deck
43
A eukaryotic diploid cell from an organism with the ZZ-ZW sex determination system has two pairs of autosomes and a pair of sex chromosomes, Z and W, shown here.
Assume A and B are dominant alleles. If this individual were crossed to an individual of genotype Aa Bb, what is the probability of an offspring being a female with an A__B__ genotype?
A) 1/8
B) 1/16
C) 9/16
D) 9/32
E) 3/32
Assume A and B are dominant alleles. If this individual were crossed to an individual of genotype Aa Bb, what is the probability of an offspring being a female with an A__B__ genotype?A) 1/8
B) 1/16
C) 9/16
D) 9/32
E) 3/32
Unlock Deck
Unlock for access to all 87 flashcards in this deck.
Unlock Deck
k this deck
44
In humans there is a genetic disorder that results from a dominant mutation present in a gene located in the pseudoautosomal region of the Y chromosome and on the X chromosome. Which of the following statements is CORRECT?
A) All affected men marrying normal women will have no affected daughters.
B) All affected women marrying normal men will have affected daughters and no affected sons.
C) All affected men marrying normal women will have affected daughers, but all the sons will be normal.
D) All affected women marrying normal men will have only normal sons and daughters.
E) None of the statements is correct.
A) All affected men marrying normal women will have no affected daughters.
B) All affected women marrying normal men will have affected daughters and no affected sons.
C) All affected men marrying normal women will have affected daughers, but all the sons will be normal.
D) All affected women marrying normal men will have only normal sons and daughters.
E) None of the statements is correct.
Unlock Deck
Unlock for access to all 87 flashcards in this deck.
Unlock Deck
k this deck
45
A eukaryotic diploid cell from an organism with the ZZ-ZW sex determination system has two pairs of autosomes and a pair of sex chromosomes, Z and W, shown here.
From what type of individual is this cell?
A) male
B) female
C) hermaphrodite
D) monoecious
E) intersex
From what type of individual is this cell?A) male
B) female
C) hermaphrodite
D) monoecious
E) intersex
Unlock Deck
Unlock for access to all 87 flashcards in this deck.
Unlock Deck
k this deck
46
If a female Drosophila that is heterozygous for a recessive X-linked mutation is crossed to a wild-type male, what proportion of female progeny will have the mutant phenotype?
A) 100%
B) 0%
C) 33%
D) 25%
E) 50%
A) 100%
B) 0%
C) 33%
D) 25%
E) 50%
Unlock Deck
Unlock for access to all 87 flashcards in this deck.
Unlock Deck
k this deck
47
James is a 42-year-old man with hemophilia, a sex-linked recessive condition. His daughter, Susan, who has normal blood clotting, is married to Fred who also has hemophilia. Susan and Fred are expecting their first child and an ultrasound shows that the fetus is male. What is the approximate probability that their new son will have hemophilia?
A) 1
B) 3/4
C) 2/3
D) 1/2
E) 1/4
A) 1
B) 3/4
C) 2/3
D) 1/2
E) 1/4
Unlock Deck
Unlock for access to all 87 flashcards in this deck.
Unlock Deck
k this deck
48
A eukaryotic diploid cell from an organism with the XX-XO sex determination system has two pairs of autosomes and one X chromosome, shown here.
A diploid cell from this individual begins to go through meiosis. After the completion of meiosis I, it becomes two cells. One of these two cells now undergoes meiosis II. Which of the following is a possible normal combination of chromosomes in one of the subsequent two cells after the completion of meiosis II?
A) one chromosome with the A allele, one chromosome with the B allele, and two X chromosomes
B) one chromosome with the A allele, one chromosome with the a allele, one with B allele, one with b allele, and two X chromosomes
C) one chromosome with the A allele, one chromosome with the a allele
D) one chromosome with the b allele, one chromosome with the B allele, one X chromosome
E) one chromosome with the a allele, one chromosome with the B allele, and two X chromosomes
A diploid cell from this individual begins to go through meiosis. After the completion of meiosis I, it becomes two cells. One of these two cells now undergoes meiosis II. Which of the following is a possible normal combination of chromosomes in one of the subsequent two cells after the completion of meiosis II?A) one chromosome with the A allele, one chromosome with the B allele, and two X chromosomes
B) one chromosome with the A allele, one chromosome with the a allele, one with B allele, one with b allele, and two X chromosomes
C) one chromosome with the A allele, one chromosome with the a allele
D) one chromosome with the b allele, one chromosome with the B allele, one X chromosome
E) one chromosome with the a allele, one chromosome with the B allele, and two X chromosomes
Unlock Deck
Unlock for access to all 87 flashcards in this deck.
Unlock Deck
k this deck
49
Miniature wings in Drosophila are due to an X-linked allele (Xm) that is recessive to the wild-type allele for normal long wings (X+). Sepia eyes are produced by an autosomal allele (se), which is recessive to the wild-type allele for red eyes (se+). A female that is homozygous for normal wings and has sepia eyes is crossed with a male that has miniature wings and is homozygous for red eyes. The F1 offspring are intercrossed to produce the F2 generation. What proportion of the F2 females is expected to have miniature wings and sepia eyes?
A) 1/4
B) 3/16
C) 1/2
D) 1/8
E) 0
A) 1/4
B) 3/16
C) 1/2
D) 1/8
E) 0
Unlock Deck
Unlock for access to all 87 flashcards in this deck.
Unlock Deck
k this deck
50
A eukaryotic diploid cell from an organism with the XX-XO sex determination system has two pairs of autosomes and one X chromosome, shown here.
From what type of individual is this cell?
A) male
B) female
C) hermaphrodite
D) monoecious
E) intersex
From what type of individual is this cell?A) male
B) female
C) hermaphrodite
D) monoecious
E) intersex
Unlock Deck
Unlock for access to all 87 flashcards in this deck.
Unlock Deck
k this deck
51
A woman is phenotypically normal but her father had the sex-linked recessive condition of red-green color blindness. If she marries a man with normal vision, what is the probability that their two children will both have normal vision?
A) 4/9
B) 1/16
C) 9/16
D) 3/8
E) 3/4
A) 4/9
B) 1/16
C) 9/16
D) 3/8
E) 3/4
Unlock Deck
Unlock for access to all 87 flashcards in this deck.
Unlock Deck
k this deck
52
A eukaryotic diploid cell from an organism with the ZZ-ZW sex determination system has two pairs of autosomes and a pair of sex chromosomes, Z and W, shown here.
A diploid cell from this individual begins to go through meiosis. After the completion of meiosis I, it becomes two cells. One of these two cells now undergoes meiosis II. Which of the following is a possible normal combination of chromosomes in one of the subsequent two cells after the completion of meiosis II?
A) one chromosome with the A allele, one with the B allele, one Z, one W
B) one chromosome with the A allele, one with the a allele, one with the B allele, one with the b allele, one Z, one W
C) a pair of chromosomes with A alleles, a pair of chromosomes with B alleles, a pair of Z chromosomes
D) one chromosome with an a allele, one chromosome with a B allele, one W
E) one chromosome with the B allele, one with the b allele, one Z
A diploid cell from this individual begins to go through meiosis. After the completion of meiosis I, it becomes two cells. One of these two cells now undergoes meiosis II. Which of the following is a possible normal combination of chromosomes in one of the subsequent two cells after the completion of meiosis II?A) one chromosome with the A allele, one with the B allele, one Z, one W
B) one chromosome with the A allele, one with the a allele, one with the B allele, one with the b allele, one Z, one W
C) a pair of chromosomes with A alleles, a pair of chromosomes with B alleles, a pair of Z chromosomes
D) one chromosome with an a allele, one chromosome with a B allele, one W
E) one chromosome with the B allele, one with the b allele, one Z
Unlock Deck
Unlock for access to all 87 flashcards in this deck.
Unlock Deck
k this deck
53
A new mutation inDrosophilais found called peach, which causes a peach-like body color. A peach male is crossed to a homozygous wild-type female and the offspring consists of peach females and normal males. If a heterozygous peach female is crossed to a normal male, the offspring consists of 1/4 peach females, 1/4 normal females, 1/4 peach males, and 1/4 normal males. What is the MOST likely mode of inheritance for peach?
A) It is X linked and recessive.
B) It is X linked and dominant.
C) It is autosomal and recessive.
D) It is autosomal and dominant.
E) It is Y linked.
A) It is X linked and recessive.
B) It is X linked and dominant.
C) It is autosomal and recessive.
D) It is autosomal and dominant.
E) It is Y linked.
Unlock Deck
Unlock for access to all 87 flashcards in this deck.
Unlock Deck
k this deck
54
A eukaryotic diploid cell from an organism with the ZZ-ZW sex determination system has two pairs of autosomes and a pair of sex chromosomes, Z and W, shown here.
What is the probability of a gamete from this individual that has the following genotype: alleles A and b, chromosome Z?
A) 1/2
B) 1/4
C) 1/6
D) 1/8
E) 1/16
What is the probability of a gamete from this individual that has the following genotype: alleles A and b, chromosome Z?A) 1/2
B) 1/4
C) 1/6
D) 1/8
E) 1/16
Unlock Deck
Unlock for access to all 87 flashcards in this deck.
Unlock Deck
k this deck
55
If a male bird that is heterozygous for a recessive Z-linked mutation is crossed to a wild-type female, what proportion of the progeny will be mutant males?
A) 0%
B) 100%
C) 75%
D) 50%
E) 25%
A) 0%
B) 100%
C) 75%
D) 50%
E) 25%
Unlock Deck
Unlock for access to all 87 flashcards in this deck.
Unlock Deck
k this deck
56
A phenotypically normal man marries a phenotypically normal woman whose father was color blind. They have a color-blind daughter with Turner syndrome (XO). What is the BEST explanation for this result?
A) nondisjunction at meiosis II in the mother
B) nondisjunction at meiosis I in the mother
C) nondisjunction at meiosis I or meiosis II in the father
D) mitotic nondisjunction in the first division of the zygote
E) two sperm fertilized the same egg simultaneously
A) nondisjunction at meiosis II in the mother
B) nondisjunction at meiosis I in the mother
C) nondisjunction at meiosis I or meiosis II in the father
D) mitotic nondisjunction in the first division of the zygote
E) two sperm fertilized the same egg simultaneously
Unlock Deck
Unlock for access to all 87 flashcards in this deck.
Unlock Deck
k this deck
57
You discover a new mutation in Drosophila that causes an abnormal wing shape. When a male fly with this mutation is crossed to a homozygous normal female, the F1 are all wild-type phenotypically. The F2 flies consist of 1/2 phenotypically normal females, 1/4 phenotypically normal males, and 1/4 males with abnormal wings. What is the MOST likely explanation for the new mutant allele?
A) It is X linked and recessive.
B) It is X linked and dominant.
C) It is autosomal and recessive.
D) It is autosomal and dominant.
E) It is Y linked.
A) It is X linked and recessive.
B) It is X linked and dominant.
C) It is autosomal and recessive.
D) It is autosomal and dominant.
E) It is Y linked.
Unlock Deck
Unlock for access to all 87 flashcards in this deck.
Unlock Deck
k this deck
58
A eukaryotic diploid cell from an organism with the XX-XO sex determination system has two pairs of autosomes and one X chromosome, shown here.
What is the probability of a gamete from this individual that has the following genotype: alleles A and b, chromosome X?
A) 1/2
B) 1/4
C) 1/6
D) 1/8
E) 1/16
What is the probability of a gamete from this individual that has the following genotype: alleles A and b, chromosome X?A) 1/2
B) 1/4
C) 1/6
D) 1/8
E) 1/16
Unlock Deck
Unlock for access to all 87 flashcards in this deck.
Unlock Deck
k this deck
59
A woman is phenotypically normal, but her father had the sex-linked recessive condition of red-green color blindness. If she has children with a man with normal vision, what is the probability that their first child will have normal vision and their second child will be color blind?
A) 1/16
B) 3/8
C) 3/16
D) 3/6
E) 8/27
A) 1/16
B) 3/8
C) 3/16
D) 3/6
E) 8/27
Unlock Deck
Unlock for access to all 87 flashcards in this deck.
Unlock Deck
k this deck
60
A woman has normal vision although her maternal grandfather (her mother's father) had red-green color blindness, a sex-linked recessive trait. Her maternal grandmother and the woman's own father are assumed to not possess a copy of the mutant allele. The woman marries a man with normal vision although his father was color blind. What is the probability that the first child of this couple will be color blind?
A) 1/2
B) 1/4
C) 1/8
D) 1/16
E) 1/12
A) 1/2
B) 1/4
C) 1/8
D) 1/16
E) 1/12
Unlock Deck
Unlock for access to all 87 flashcards in this deck.
Unlock Deck
k this deck
61
A Barr body is a(n):
A) gene on the X chromosome that is responsible for female development.
B) patch of cells that has a phenotype different from surrounding cells because of variable X inactivation.
C) inactivated X chromosome, visible in the nucleus of a cell that is normally from a female mammal.
D) extra X chromosome in a cell that is the result of nondisjunction.
E) extra Y chromosome in a cell that is the result of nondisjunction.
A) gene on the X chromosome that is responsible for female development.
B) patch of cells that has a phenotype different from surrounding cells because of variable X inactivation.
C) inactivated X chromosome, visible in the nucleus of a cell that is normally from a female mammal.
D) extra X chromosome in a cell that is the result of nondisjunction.
E) extra Y chromosome in a cell that is the result of nondisjunction.
Unlock Deck
Unlock for access to all 87 flashcards in this deck.
Unlock Deck
k this deck
62
Normal males (XY) and Klinefelter males (XXY) both possess only one active X chromosome. Nonetheless, there are clearly phenotypic differences between the two. What is the MOST reasonable explanation as to why such differences exist?
A) The Y chromosome has higher gene expression levels when two X chromosomes are present compared to one X.
B) The Y chromosome has lower gene expression levels when two X chromosomes are present compared to one X.
C) Some genes remain active on inactive X chromosomes so XXY males would have higher expression levels for these genes compared to XY males.
D) XXY males exhibit a higher rate of problems during mitotic divisions than XY males.
E) XXY males don't have a copy of the SRY gene.
A) The Y chromosome has higher gene expression levels when two X chromosomes are present compared to one X.
B) The Y chromosome has lower gene expression levels when two X chromosomes are present compared to one X.
C) Some genes remain active on inactive X chromosomes so XXY males would have higher expression levels for these genes compared to XY males.
D) XXY males exhibit a higher rate of problems during mitotic divisions than XY males.
E) XXY males don't have a copy of the SRY gene.
Unlock Deck
Unlock for access to all 87 flashcards in this deck.
Unlock Deck
k this deck
63
How many Barr bodies (condensed X chromosomes) would you predict in this boy's cells? 
A) one per somatic cell
B) two per somatic cell
C) three per somatic cell
D) none
E) either two or three depending on the tissue type

A) one per somatic cell
B) two per somatic cell
C) three per somatic cell
D) none
E) either two or three depending on the tissue type
Unlock Deck
Unlock for access to all 87 flashcards in this deck.
Unlock Deck
k this deck
64
Women known to be heterozygous or carriers for the sex-linked recessive condition of hemophilia A were studied to determine the time required for their blood to clot. It was found that the time required for their blood to clot varied from individual to individual. The values obtained ranged from normal clotting at one extreme to clinical hemophilia at the other extreme. What is the MOST probable correct explanation for these findings?
A) Some women had only one X chromosome and it is inactive.
B) Some women had three copies of the X chromosome, which allowed them to make extra amounts of gene products for their X-linked genes.
C) The women with normal clotting times probably had a mother with hemophilia while those with abnormal clotting times probably had fathers with hemophilia.
D) Random X inactivation probably results in individuals with different proportions of cells in their bodies expressing the normal allele at the hemophilia locus.
E) In women with abnormal clotting times, there was probably an interaction between an allele of a gene on the X chromosome and an allele of an autosomal gene that reduced the expression of the X-linked gene.
A) Some women had only one X chromosome and it is inactive.
B) Some women had three copies of the X chromosome, which allowed them to make extra amounts of gene products for their X-linked genes.
C) The women with normal clotting times probably had a mother with hemophilia while those with abnormal clotting times probably had fathers with hemophilia.
D) Random X inactivation probably results in individuals with different proportions of cells in their bodies expressing the normal allele at the hemophilia locus.
E) In women with abnormal clotting times, there was probably an interaction between an allele of a gene on the X chromosome and an allele of an autosomal gene that reduced the expression of the X-linked gene.
Unlock Deck
Unlock for access to all 87 flashcards in this deck.
Unlock Deck
k this deck
65
Compare and contrast the patterns of inheritance expected for Y-linked and X-linked recessive inheritance in humans.
Unlock Deck
Unlock for access to all 87 flashcards in this deck.
Unlock Deck
k this deck
66
Which of the following statements about the sex-linked recessive trait of red-green color blindness in humans is FALSE?
A) A phenotypically normal daughter can have a color-blind father.
B) A phenotypically normal daughter can have a color-blind mother.
C) A color-blind daughter can have a normal father.
D) A color-blind daughter can have a phenotypically normal mother.
E) A color-blind son could have a color-blind father.
A) A phenotypically normal daughter can have a color-blind father.
B) A phenotypically normal daughter can have a color-blind mother.
C) A color-blind daughter can have a normal father.
D) A color-blind daughter can have a phenotypically normal mother.
E) A color-blind son could have a color-blind father.
Unlock Deck
Unlock for access to all 87 flashcards in this deck.
Unlock Deck
k this deck
67
A male fruit fly carries the allele for yellow body color on his X chromosome. How would this male's genotype for this body color gene be described?
A) holandric
B) heterozygous
C) homozygous
D) homogametic
E) hemizygous
A) holandric
B) heterozygous
C) homozygous
D) homogametic
E) hemizygous
Unlock Deck
Unlock for access to all 87 flashcards in this deck.
Unlock Deck
k this deck
68
Describe the inheritance of each possible combination of your answer to question 61, including the parent and meiotic stage in which an unusual event occurred.
Unlock Deck
Unlock for access to all 87 flashcards in this deck.
Unlock Deck
k this deck
69
Which of the following statements about X inactivation in mammalian females is FALSE?
A) Females that are heterozygous for an X-linked gene have patches of cells that express one allele and patches of cells that express the other.
B) Some genes on the inactive X continue to be expressed after the chromosome is inactivated.
C) X inactivation is random as to which X is inactivated and takes place early in embryonic development
D) Inactivation is thought to be initiated by expression of the Xist gene on the X that will remain active.
E) Once an X chromosome first becomes inactivated in a cell, that same X will remain inactivated in somatic cells that are descendants of this cell.
A) Females that are heterozygous for an X-linked gene have patches of cells that express one allele and patches of cells that express the other.
B) Some genes on the inactive X continue to be expressed after the chromosome is inactivated.
C) X inactivation is random as to which X is inactivated and takes place early in embryonic development
D) Inactivation is thought to be initiated by expression of the Xist gene on the X that will remain active.
E) Once an X chromosome first becomes inactivated in a cell, that same X will remain inactivated in somatic cells that are descendants of this cell.
Unlock Deck
Unlock for access to all 87 flashcards in this deck.
Unlock Deck
k this deck
70
Red-green color blindness is X-linked recessive. A woman with normal color vision has a father who is red-green color blind. The woman has four sons, none of whom are colorblind. In this family there are no instances of chromosome loss or gain such as occurs due to nondisjunction in meiosis. Following are three explanations for why none of the sons are color blind. For each, state if color blindness is possible or not possible; then give the reason for your choice.
(a) Explanation 1: None of the sons are color blind because the mother does not carry the color-blindness allele.
(b) Explanation 2: None of the sons are color blind because none of them inherited the color-blindness allele from the mother.
(c) Explanation 3: None of the sons are color blind because the mother inactivated the X chromosome with the recessive color-blindness allele, and that is the one each son inherited.
(a) Explanation 1: None of the sons are color blind because the mother does not carry the color-blindness allele.
(b) Explanation 2: None of the sons are color blind because none of them inherited the color-blindness allele from the mother.
(c) Explanation 3: None of the sons are color blind because the mother inactivated the X chromosome with the recessive color-blindness allele, and that is the one each son inherited.
Unlock Deck
Unlock for access to all 87 flashcards in this deck.
Unlock Deck
k this deck
71
You cross a female rat with pink toe pads (T) and pointy ears (Xe) to a male rat with black toe pads (t) and round ears (XE). The t and e alleles are both recessive, and the ear-shaped gene is X linked, whereas the toe pad color gene is autosomal. The F1 progeny all have pink toe pads. What is the genotype of parental generation? What is the genotype of the F1 progeny? If the F1 are crossed to produce F2 progeny, what proportion of the F2 will be black-padded, pointy-eared males?
Unlock Deck
Unlock for access to all 87 flashcards in this deck.
Unlock Deck
k this deck
72
You are trying to develop a new species of newt as an experimental model system. You know that in other species of newt, green (G) is dominant to brown (g) skin color and is determined by a sex-linked gene. You cross brown males to green females and see that in the F1 all the males are green and all the females are brown. Which is the heterogametic sex in your species of newt?
Unlock Deck
Unlock for access to all 87 flashcards in this deck.
Unlock Deck
k this deck
73
What is the apparent purpose for X inactivation in humans and other mammals?
A) It allows for the levels of expression of genes on the X chromosome to be similar in males and females.
B) It allows for the levels of expression of genes on the autosomes to be similar to the levels of genes on the X chromosome.
C) It suppresses the expression of genes on the Y chromosome in males.
D) It reduces the amount of nondisjunction during meiosis in females.
E) It enhances the level of pairing between the two X chromosomes during meiosis in females.
A) It allows for the levels of expression of genes on the X chromosome to be similar in males and females.
B) It allows for the levels of expression of genes on the autosomes to be similar to the levels of genes on the X chromosome.
C) It suppresses the expression of genes on the Y chromosome in males.
D) It reduces the amount of nondisjunction during meiosis in females.
E) It enhances the level of pairing between the two X chromosomes during meiosis in females.
Unlock Deck
Unlock for access to all 87 flashcards in this deck.
Unlock Deck
k this deck
74
The Lyon hypothesis helps us to understand which phenomenon in mammals?
A) X-linked inheritance
B) evolution of the Y chromosome
C) dosage compensation between males and females
D) development of male and female secondary sexual characteristics
E) sex determination
A) X-linked inheritance
B) evolution of the Y chromosome
C) dosage compensation between males and females
D) development of male and female secondary sexual characteristics
E) sex determination
Unlock Deck
Unlock for access to all 87 flashcards in this deck.
Unlock Deck
k this deck
75
Calvin Bridges crossed white-eyed females to red-eyed males and found rare red-eyed males and white-eyed females in the progeny. Explain how he used the Drosophila sex determination system and nondisjunction to demonstrate that the gene for red/white eye color is on the X chromosome.
Unlock Deck
Unlock for access to all 87 flashcards in this deck.
Unlock Deck
k this deck
76
This boy's parents' X chromosomes can be distinguished by polymorphism (DNA fingerprint) differences. One of his mother's X chromosomes has the polymorphism allele 7 and the other has the allele 14; his father's X has the allele 5. Assuming each parent contributed at least one sex chromosome, what polymorphism combinations are possible in the boy's X chromosomes? 

Unlock Deck
Unlock for access to all 87 flashcards in this deck.
Unlock Deck
k this deck
77
The boy in questions 61 and 62 has an X-linked recessive condition that is not seen in either parent. With this additional information, what can you conclude about the allelic composition of his parents and how he got this condition?
Unlock Deck
Unlock for access to all 87 flashcards in this deck.
Unlock Deck
k this deck
78
Red-green color blindness is an X-linked recessive condition. Juliet has a bit of difficulty passing the red-green color distinction test when she tries to get her driver's license. Her husband is not color blind, and neither is her son, Henry, nor her daughter, Roxanne. Roxanne has a son who is color blind. What is Juliet's genotype for the color-blindness allele? How would you explain her partial color blindness?
Unlock Deck
Unlock for access to all 87 flashcards in this deck.
Unlock Deck
k this deck
79
In which of the following individuals would you expect to find two Barr bodies in their somatic cells?
A) XX
B) XO
C) XXY
D) XXYY
E) XXX
A) XX
B) XO
C) XXY
D) XXYY
E) XXX
Unlock Deck
Unlock for access to all 87 flashcards in this deck.
Unlock Deck
k this deck
80
Women with Turner syndrome (XO) and normal women (XX) are clearly different phenotypically. In addition, the vast majority of XO conceptions abort before birth. However, both XO and XX women have one active X chromosome since the X in XO women remains active and one might expect that they would therefore have similar phenotypes. What is the MOST reasonable explanation for their different phenotypes?
A) XO women do not have a copy of the SRY gene.
B) Some genes remain active on the inactive X chromosome and XX women will have two copies of these genes expressed and XO women only one copy.
C) In XO women, the single X chromosome has no partner to pair with during mitosis so that each cell division is delayed by pairing problems with the single X not finding a pairing partner.
D) XO women are missing a copy of the Xist gene so that they are forced to develop partway along the male pathway during embryogenesis.
E) XO women have problems during development because mitosis is abnormal.
A) XO women do not have a copy of the SRY gene.
B) Some genes remain active on the inactive X chromosome and XX women will have two copies of these genes expressed and XO women only one copy.
C) In XO women, the single X chromosome has no partner to pair with during mitosis so that each cell division is delayed by pairing problems with the single X not finding a pairing partner.
D) XO women are missing a copy of the Xist gene so that they are forced to develop partway along the male pathway during embryogenesis.
E) XO women have problems during development because mitosis is abnormal.
Unlock Deck
Unlock for access to all 87 flashcards in this deck.
Unlock Deck
k this deck

