
Microbiology: A Systems Approach 4th Edition by Marjorie Kelly Cowan
Edition 4ISBN: 978-0073402437
Microbiology: A Systems Approach 4th Edition by Marjorie Kelly Cowan
Edition 4ISBN: 978-0073402437 Exercise 4
From chapter 14, figure 14.19. Imagine that the WBCs shown in this illustration are unable to control the microorganisms. Could the change that has occurred in the vessel wall help the organism spread to other locations If so, how
Diapedesis
(a) View of a venule depicts white blood cells squeezing themselves between spaces in the blood vessel wall via diapedesis. This process, shown in cross section, indicates how the pool of leukocytes adheres to the endothelial wall. From this site, they are poised to migrate out of the vessel into the tissue space.
b. If the organisms are able to survive phagocytosis, how could that impact the progress of this disease Explain your answer
chemotaxis of leukocytes.
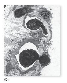
(b) This photograph captures neutrophils in the process of diapedesis.

Diapedesis
(a) View of a venule depicts white blood cells squeezing themselves between spaces in the blood vessel wall via diapedesis. This process, shown in cross section, indicates how the pool of leukocytes adheres to the endothelial wall. From this site, they are poised to migrate out of the vessel into the tissue space.
b. If the organisms are able to survive phagocytosis, how could that impact the progress of this disease Explain your answer
chemotaxis of leukocytes.
(b) This photograph captures neutrophils in the process of diapedesis.

Explanation
a) If the white blood cells could not co...
Microbiology: A Systems Approach 4th Edition by Marjorie Kelly Cowan
Why don’t you like this exercise?
Other Minimum 8 character and maximum 255 character
Character 255

