Deck 11: Pathophysiology
Question
Question
Question
Question
Question
Question
Question
Question
Question
Question
Question
Question
Question
Question
Question
Question
Question
Question
Question
Question
Question
Question
Question
Question
Question
Question
Question
Question
Question
Question
Question
Question
Question
Question
Question
Question
Question
Question
Question
Question
Question
Question
Question
Question
Question
Question
Question
Question
Question
Question
Question
Question
Question
Question
Question
Question
Question
Question
Question
Question
Question
Question
Question
Question
Question
Question
Question
Question
Question
Question
Question
Question
Question
Question
Question
Question
Question
Question
Question
Question
Unlock Deck
Sign up to unlock the cards in this deck!
Unlock Deck
Unlock Deck
1/464
Play
Full screen (f)
Deck 11: Pathophysiology
1
A 56-year-old woman comes to the emergency department due to 3 days of fever, chills, and retrosternal chest pain. She has end-stage kidney disease related to previous uncontrolled hypertension and receives intermittent hemodialysis through a tunneled catheter. Temperature is 39 C (102.2 F), blood pressure is 108/64 mm Hg, and pulse is 120/min. The patient is ill-appearing. The lungs are clear to auscultation, but a pericardial friction rub is present. Echocardiography reveals a moderate-sized pericardial effusion. Pericardiocentesis yields turbid fluid with a large number of neutrophils. Microbiologic analysis of this patient's pericardial fluid is most likely to reveal which of the following pathogens?
A)Bacilli with acid-fast cell walls
B)Budding yeasts forming germ tubes
C)Gram-positive cocci growing in clusters
D)Lactose-fermenting gram-negative bacilli
E)Silver stain-positive motile spirochetes
F)Single-stranded RNA virus
A)Bacilli with acid-fast cell walls
B)Budding yeasts forming germ tubes
C)Gram-positive cocci growing in clusters
D)Lactose-fermenting gram-negative bacilli
E)Silver stain-positive motile spirochetes
F)Single-stranded RNA virus
C
This patient with fever and chest pain has a turbid pericardial effusion with a high number of neutrophils, indicating purulent pericarditis. Most cases are caused by bacteria or fungi and develop due to:
Staphylococcus aureus, a gram-positive cocci that grows in clusters, is the most frequently isolated organism. It is particularly likely in patients who have portals from the skin to the bloodstream (eg, tunneled dialysis catheter) or from the skin directly to the pericardium (eg, chest injury, recent cardiothoracic surgery). Streptococcus pneumoniae is the most common organism in patients with adjacent pneumonia.
Although Candida albicans, a budding yeast that forms germ tubes, is a leading cause of fungal pericarditis, it is seen primarily in persons with significant risk factors for candidemia such as parenteral feeding, prolonged corticosteroid use, or immunosuppression due to malignancy; S aureus is far more common in patients with end-stage renal disease who have vascular catheters (Choice B).
(Choice A) Mycobacterium tuberculosis, an acid-fast bacilli, can occasionally cause purulent pericarditis due to direct spread from the lung or a mediastinal/hilar lymph node, but S aureus is far more likely in someone with a hemodialysis catheter.
(Choice D) Lactose-fermenting gram-negative bacilli (eg, Escherichia coli, Klebsiella pneumoniae, Enterobacter) are uncommon causes of purulent pericarditis. Although Klebsiella pericarditis can occasionally occur due to adjacent anaerobic lung abscess, this patient with an indwelling catheter is far more likely to have S aureus infection.
(Choice E) Borrelia burgdorferi is a motile spirochete seen with silver stain. It can cause Lyme myopericarditis as a consequence of early disseminated disease, but most cases are mild and asymptomatic. In addition, an effusion caused by B burgdorferi infection would be lymphocyte (not neutrophil) predominant.
(Choice F) Although single-stranded RNA viruses such as Coxsackievirus can cause pericarditis, the pericardial fluid is usually lymphocyte (not neutrophil) predominant.
Educational objective:
Purulent pericarditis is usually caused by hematogenous dissemination from distant infection or direct extension from an adjacent infection or chest wall trauma. Although a variety of organisms cause purulent pericarditis, Staphylococcus aureus is the most common pathogen, particularly in the setting of a portal from the skin to the bloodstream (eg, catheter) or pericardium (eg, recent chest surgery, penetrating injury).
__________
References:
Diagnosis and management of pericardial effusion.
(http://www.ncbi.nlm.nih.gov/pubmed/21666814)
This patient with fever and chest pain has a turbid pericardial effusion with a high number of neutrophils, indicating purulent pericarditis. Most cases are caused by bacteria or fungi and develop due to:
Staphylococcus aureus, a gram-positive cocci that grows in clusters, is the most frequently isolated organism. It is particularly likely in patients who have portals from the skin to the bloodstream (eg, tunneled dialysis catheter) or from the skin directly to the pericardium (eg, chest injury, recent cardiothoracic surgery). Streptococcus pneumoniae is the most common organism in patients with adjacent pneumonia.
Although Candida albicans, a budding yeast that forms germ tubes, is a leading cause of fungal pericarditis, it is seen primarily in persons with significant risk factors for candidemia such as parenteral feeding, prolonged corticosteroid use, or immunosuppression due to malignancy; S aureus is far more common in patients with end-stage renal disease who have vascular catheters (Choice B).
(Choice A) Mycobacterium tuberculosis, an acid-fast bacilli, can occasionally cause purulent pericarditis due to direct spread from the lung or a mediastinal/hilar lymph node, but S aureus is far more likely in someone with a hemodialysis catheter.
(Choice D) Lactose-fermenting gram-negative bacilli (eg, Escherichia coli, Klebsiella pneumoniae, Enterobacter) are uncommon causes of purulent pericarditis. Although Klebsiella pericarditis can occasionally occur due to adjacent anaerobic lung abscess, this patient with an indwelling catheter is far more likely to have S aureus infection.
(Choice E) Borrelia burgdorferi is a motile spirochete seen with silver stain. It can cause Lyme myopericarditis as a consequence of early disseminated disease, but most cases are mild and asymptomatic. In addition, an effusion caused by B burgdorferi infection would be lymphocyte (not neutrophil) predominant.
(Choice F) Although single-stranded RNA viruses such as Coxsackievirus can cause pericarditis, the pericardial fluid is usually lymphocyte (not neutrophil) predominant.
Educational objective:
Purulent pericarditis is usually caused by hematogenous dissemination from distant infection or direct extension from an adjacent infection or chest wall trauma. Although a variety of organisms cause purulent pericarditis, Staphylococcus aureus is the most common pathogen, particularly in the setting of a portal from the skin to the bloodstream (eg, catheter) or pericardium (eg, recent chest surgery, penetrating injury).
__________
References:
Diagnosis and management of pericardial effusion.
(http://www.ncbi.nlm.nih.gov/pubmed/21666814)
2
An 8-year-old girl is brought to the emergency department due to "not feeling well." The patient was at an outdoor picnic and began experiencing nausea, vomiting, abdominal cramps, and watery diarrhea 30 minutes ago. She also reports feeling dizzy. The patient has no prior medical conditions and takes no medications. Temperature is 37 C (98.6 F), blood pressure is 60/30 mm Hg, pulse is 140/min, and respirations are 28/min. On physical examination, the patient appears pale and listless. There is faint bilateral wheezing. The abdomen is soft and nontender. Scattered wheals are present. Which of the following is most responsible for this patient's current condition?
A)Gram-negative bacterial endotoxin
B)Gram-positive bacterial exotoxin
C)Kallikrein-generated bradykinin
D)Mast cell-derived histamine
E)Vasoactive intestinal peptide
A)Gram-negative bacterial endotoxin
B)Gram-positive bacterial exotoxin
C)Kallikrein-generated bradykinin
D)Mast cell-derived histamine
E)Vasoactive intestinal peptide
D
This patient's sudden-onset gastrointestinal symptoms, hypotension and tachycardia, wheezing, and urticaria (eg, wheals) are consistent with anaphylaxis. While at a picnic outdoors, this patient was likely exposed to an allergen (eg, insect sting) that caused cross-linking of basophil-bound and mast cell-bound IgE antibodies, inducing cellular activation, degranulation, and release of histamine and other chemical mediators (eg, prostaglandin, leukotrienes).
Although multiple chemical mediators play a role in anaphylaxis, histamine is believed to cause the most significant, broad-ranging effects, including the following:
H1 and H2 receptor stimulation results in vasodilation (causing hypotension) and increased catecholamine secretion (causing tachycardia).
H1 receptor stimulation causes increased bronchial smooth muscle contraction (resulting in bronchoconstriction and wheezing) and increased vascular permeability (worsening hypotension and contributing to urticaria).
In addition, histamine can activate peripheral nociceptive receptors, causing pruritus or pain. To mitigate its widespread effects, an antihistamine is often given as adjunct treatment in anaphylaxis after mainstay treatment with intramuscular epinephrine.
(Choice A) Gram-negative bacterial endotoxins are the most potent mediators of gram-negative sepsis. Although sepsis can present with hypotension, tachycardia, and respiratory symptoms, children with sepsis typically have fever, and the onset of symptoms occurs over hours to days (vs minutes). In addition, wheals are not expected.
(Choice B) Gram-positive bacterial enterotoxin is the cause of staphylococcal food poisoning, which can cause vomiting, diarrhea, and abdominal cramps. However, symptoms typically occur 2-8 hours after ingestion (vs immediately) of contaminated food, and wheezing and wheals are not expected.
(Choice C) Kallikrein-generated bradykinin plays a role in bradykinin-mediated angioedema (eg, hereditary, ACE inhibitor-related), which can cause bowel wall edema and result in nausea, vomiting, or diarrhea. In contrast to mast cell-mediated angioedema, bradykinin-mediated angioedema does not typically cause bronchospasm, urticaria, or hypotension.
(Choice E) Vasoactive intestinal polypeptide is secreted by VIPomas, rare functioning neuroendocrine tumors most often located in the pancreas. VIPomas can cause watery diarrhea, nausea, and vomiting; however, acute-onset hypotension, wheezing, and wheals are not expected.
Educational objective:
Anaphylaxis is an IgE-mediated response to an allergen that results in the release of histamine by mast cells and basophils. Histamine causes widespread physiologic effects, including vasodilation and increased vascular permeability (eg, hypotension), increased catecholamine secretion (eg, tachycardia), and bronchoconstriction (eg, wheezing).
__________
References:
The pathophysiology of anaphylaxis.
(http://www.ncbi.nlm.nih.gov/pubmed/28780941)
Anaphylactic responses to histamine in mice utilize both histamine receptors 1 and 2.
(http://www.ncbi.nlm.nih.gov/pubmed/24112077)
This patient's sudden-onset gastrointestinal symptoms, hypotension and tachycardia, wheezing, and urticaria (eg, wheals) are consistent with anaphylaxis. While at a picnic outdoors, this patient was likely exposed to an allergen (eg, insect sting) that caused cross-linking of basophil-bound and mast cell-bound IgE antibodies, inducing cellular activation, degranulation, and release of histamine and other chemical mediators (eg, prostaglandin, leukotrienes).
Although multiple chemical mediators play a role in anaphylaxis, histamine is believed to cause the most significant, broad-ranging effects, including the following:
H1 and H2 receptor stimulation results in vasodilation (causing hypotension) and increased catecholamine secretion (causing tachycardia).
H1 receptor stimulation causes increased bronchial smooth muscle contraction (resulting in bronchoconstriction and wheezing) and increased vascular permeability (worsening hypotension and contributing to urticaria).
In addition, histamine can activate peripheral nociceptive receptors, causing pruritus or pain. To mitigate its widespread effects, an antihistamine is often given as adjunct treatment in anaphylaxis after mainstay treatment with intramuscular epinephrine.
(Choice A) Gram-negative bacterial endotoxins are the most potent mediators of gram-negative sepsis. Although sepsis can present with hypotension, tachycardia, and respiratory symptoms, children with sepsis typically have fever, and the onset of symptoms occurs over hours to days (vs minutes). In addition, wheals are not expected.
(Choice B) Gram-positive bacterial enterotoxin is the cause of staphylococcal food poisoning, which can cause vomiting, diarrhea, and abdominal cramps. However, symptoms typically occur 2-8 hours after ingestion (vs immediately) of contaminated food, and wheezing and wheals are not expected.
(Choice C) Kallikrein-generated bradykinin plays a role in bradykinin-mediated angioedema (eg, hereditary, ACE inhibitor-related), which can cause bowel wall edema and result in nausea, vomiting, or diarrhea. In contrast to mast cell-mediated angioedema, bradykinin-mediated angioedema does not typically cause bronchospasm, urticaria, or hypotension.
(Choice E) Vasoactive intestinal polypeptide is secreted by VIPomas, rare functioning neuroendocrine tumors most often located in the pancreas. VIPomas can cause watery diarrhea, nausea, and vomiting; however, acute-onset hypotension, wheezing, and wheals are not expected.
Educational objective:
Anaphylaxis is an IgE-mediated response to an allergen that results in the release of histamine by mast cells and basophils. Histamine causes widespread physiologic effects, including vasodilation and increased vascular permeability (eg, hypotension), increased catecholamine secretion (eg, tachycardia), and bronchoconstriction (eg, wheezing).
__________
References:
The pathophysiology of anaphylaxis.
(http://www.ncbi.nlm.nih.gov/pubmed/28780941)
Anaphylactic responses to histamine in mice utilize both histamine receptors 1 and 2.
(http://www.ncbi.nlm.nih.gov/pubmed/24112077)
3
A 58-year-old man comes to the emergency room due to headache. Medical history is significant for long-standing hypertension and medication nonadherence. Blood pressure on arrival is 231/135 mm Hg. Twenty minutes after intravenous hydralazine is administered, blood pressure is 145/95 mm Hg. Over the following 24 hours, serum creatinine increases from 1.1 to 1.6 mg/dL. Urine sediment demonstrates abundant granular casts. Which of the following processes best explains this patient's acute kidney injury?
A)Alteration of the blood pressure-flow relationship in renal arterioles
B)Drug-induced glomerular injury due to immune complex formation
C)Drug-induced renal interstitial inflammation
D)Drug-induced renal tubular injury due to crystal deposition
E)Prerenal azotemia due to a global reduction in cardiac output
A)Alteration of the blood pressure-flow relationship in renal arterioles
B)Drug-induced glomerular injury due to immune complex formation
C)Drug-induced renal interstitial inflammation
D)Drug-induced renal tubular injury due to crystal deposition
E)Prerenal azotemia due to a global reduction in cardiac output
A
This patient with chronic hypertension has hypertensive urgency. He received hydralazine, a fast-acting antihypertensive agent. After abrupt normalization of blood pressure (BP), he developed acute tubular necrosis (ATN) (granular casts). This sequence of events is consistent with normotensive ischemia (ie, inadequate renal perfusion despite a normal BP).
Blood flow autoregulation allows organs to receive the same perfusion (flow) across a wide range of pressure. In the kidneys, blood flow autoregulation involves 2 key mechanisms:
The autoregulation response protects organs from dangerous, persistent BP elevations. In chronic hypertension, there is baseline constriction of afferent glomerular arterioles. This causes the entire renal autoregulation curve to be shifted to the right: a hypertensive patient's kidneys receive less blood flow at any given BP relative to those of a healthy patient without hypertension. Quickly lowering the BP to normal (eg, 145/95 mm Hg) causes a steep drop in blood flow, leading to ischemic ATN; as a result, BP should be lowered gently, targeting above-normal values (eg, 25% reduction over several hours).
(Choice B) Drug-induced lupus, a rare adverse effect of hydralazine, causes acute kidney injury (AKI) due to immune complex-mediated glomerulonephritis. However, an active urine sediment (eg, red cells, white cells, casts) and other systemic signs of lupus (eg, rash, pleuritis) would be expected.
(Choice C) Drug-induced allergic interstitial nephritis is an eosinophilic AKI usually triggered by beta-lactam antibiotics and nonsteroidal anti-inflammatory drugs. It occurs after continual exposure (eg, several days), and eosinophiluria is usually present.
(Choice D) Some drugs (eg, acyclovir, indinavir) can precipitate in the urine, causing AKI due to crystalluria. Urine sediment may show tubular necrosis (eg, granular casts), but crystals are usually also seen.
(Choice E) Decreased cardiac output can cause prerenal AKI, which may evolve to ischemic ATN. However, treatment with hydralazine lowers the systemic vascular resistance, which reduces cardiac afterload. This will lead to an increase in overall cardiac output.
Educational objective:
In patients with long-standing hypertension, a chronic autoregulatory shift in the blood pressure-flow relationship occurs, affording less perfusion (flow) at any given pressure. Therefore, excessively rapid correction of blood pressure toward normal may induce relative ischemia.
This patient with chronic hypertension has hypertensive urgency. He received hydralazine, a fast-acting antihypertensive agent. After abrupt normalization of blood pressure (BP), he developed acute tubular necrosis (ATN) (granular casts). This sequence of events is consistent with normotensive ischemia (ie, inadequate renal perfusion despite a normal BP).
Blood flow autoregulation allows organs to receive the same perfusion (flow) across a wide range of pressure. In the kidneys, blood flow autoregulation involves 2 key mechanisms:
The autoregulation response protects organs from dangerous, persistent BP elevations. In chronic hypertension, there is baseline constriction of afferent glomerular arterioles. This causes the entire renal autoregulation curve to be shifted to the right: a hypertensive patient's kidneys receive less blood flow at any given BP relative to those of a healthy patient without hypertension. Quickly lowering the BP to normal (eg, 145/95 mm Hg) causes a steep drop in blood flow, leading to ischemic ATN; as a result, BP should be lowered gently, targeting above-normal values (eg, 25% reduction over several hours).
(Choice B) Drug-induced lupus, a rare adverse effect of hydralazine, causes acute kidney injury (AKI) due to immune complex-mediated glomerulonephritis. However, an active urine sediment (eg, red cells, white cells, casts) and other systemic signs of lupus (eg, rash, pleuritis) would be expected.
(Choice C) Drug-induced allergic interstitial nephritis is an eosinophilic AKI usually triggered by beta-lactam antibiotics and nonsteroidal anti-inflammatory drugs. It occurs after continual exposure (eg, several days), and eosinophiluria is usually present.
(Choice D) Some drugs (eg, acyclovir, indinavir) can precipitate in the urine, causing AKI due to crystalluria. Urine sediment may show tubular necrosis (eg, granular casts), but crystals are usually also seen.
(Choice E) Decreased cardiac output can cause prerenal AKI, which may evolve to ischemic ATN. However, treatment with hydralazine lowers the systemic vascular resistance, which reduces cardiac afterload. This will lead to an increase in overall cardiac output.
Educational objective:
In patients with long-standing hypertension, a chronic autoregulatory shift in the blood pressure-flow relationship occurs, affording less perfusion (flow) at any given pressure. Therefore, excessively rapid correction of blood pressure toward normal may induce relative ischemia.
4
A 68-year-old woman comes to the office due to a month-long history of worsening fatigue, shortness of breath, and dry cough. The patient has symptoms that worsen with exertion and when lying flat. She has had no chest pain, palpitations, or lightheadedness. The patient has a history of hypertension and breast cancer that is in remission after surgery and doxorubicin-based chemotherapy 15 years ago. She does not use tobacco, alcohol, or illicit drugs. Blood pressure is 110/62 mm Hg and pulse is 94/min. Physical examination shows crackles at the lung bases and bilateral pedal edema. Which of the following sets of findings are most likely present in this patient?


Unlock Deck
Unlock for access to all 464 flashcards in this deck.
Unlock Deck
k this deck
5
A 1-year-old boy is brought to the office for a health maintenance visit. He has had no significant health issues and is growing well. The patient is up to date with recommended vaccinations and has had no prior vaccine-related adverse events. He has no known allergies. Physical examination shows no abnormalities. The patient receives the first dose of the subcutaneous measles-mumps-rubella vaccine. The next day, his mother calls the office because the patient has a temperature of 38 C (100.4 F) and has been irritable since the vaccination. The immunization site is mildly red, swollen, and tender; there is no other skin rash. Which of the following cells and effector mechanisms is most likely involved in pathogenesis of this patient's current condition?
A)CD4+ T cells and CD40 ligand
B)CD8+ T cells and perforins
C)Dendritic cells and MHC II
D)Macrophages and IL-6
E)Plasma cells and IgM
A)CD4+ T cells and CD40 ligand
B)CD8+ T cells and perforins
C)Dendritic cells and MHC II
D)Macrophages and IL-6
E)Plasma cells and IgM
Unlock Deck
Unlock for access to all 464 flashcards in this deck.
Unlock Deck
k this deck
6
A 5-year-old boy is undergoing a partial hepatectomy to treat a poorly draining liver abscess. He has a history of recurrent skin abscesses. Cultures from his liver abscess are growing Staphylococcus aureus, which is sensitive to the current antibiotic regimen, but the abscess has failed to improve. Genetic analysis reveals an inactivating mutation affecting a neutrophil oxidase enzyme. This patient most likely has an increased risk of infection with which of the following organisms?
A)Burkholderia cepacia
B)Enterococcus faecalis
C)Giardia lamblia
D)Herpes simplex virus type 1
E)Streptococcus pyogenes
A)Burkholderia cepacia
B)Enterococcus faecalis
C)Giardia lamblia
D)Herpes simplex virus type 1
E)Streptococcus pyogenes
Unlock Deck
Unlock for access to all 464 flashcards in this deck.
Unlock Deck
k this deck
7
A 4-year-old boy is evaluated due to 4 days of fever and leg pain. Medical history includes recurrent skin abscesses and lymphadenitis. A maternal uncle died of recurrent infections during childhood. The patient is at the 10th percentile for height and weight. Temperature is 38.3 C (100.9 F). Examination shows an ill-appearing patient with point tenderness over the right lower tibia. There are healed incisions over the thighs and neck from prior drainage sites. Imaging reveals evidence of tibial osteomyelitis. Blood and bone cultures grow Serratia marcescens. Evaluation of the patient's neutrophils by dihydrorhodamine flow cytometry shows an absence of fluorescence. This patient's condition is most likely due to impaired activity of which of the following enzymes?
A)Adenosine deaminase
B)Cytochrome c oxidase
C)Lysozyme
D)Myeloperoxidase
E)NADPH oxidase
A)Adenosine deaminase
B)Cytochrome c oxidase
C)Lysozyme
D)Myeloperoxidase
E)NADPH oxidase
Unlock Deck
Unlock for access to all 464 flashcards in this deck.
Unlock Deck
k this deck
8
A 5-month-old boy with chronic diarrhea and failure to thrive is found to have a low blood T-lymphocyte count and severely decreased serum immunoglobulin. After thorough evaluation, an experimental treatment is proposed to his parents. The therapy consists of infecting the patient's cells with a retroviral vector containing the gene for a protein that is deficient in this patient. Which of the following proteins is most likely coded by this gene?
A)Adenosine deaminase
B)Myeloperoxidase
C)NADPH oxidase
D)Reverse transcriptase
E)Xanthine oxidase
A)Adenosine deaminase
B)Myeloperoxidase
C)NADPH oxidase
D)Reverse transcriptase
E)Xanthine oxidase
Unlock Deck
Unlock for access to all 464 flashcards in this deck.
Unlock Deck
k this deck
9
A previously healthy 15-year-old girl is brought to the emergency department due to respiratory distress and continuous cough after eating at a buffet in a local restaurant. Blood pressure is 80/40 mm Hg, pulse is 130/min, and respirations are 32/min. She is in marked respiratory distress but is able to speak. Diffuse wheezing and erythematous skin rash are present. Which of the following hemodynamic changes are most likely present in this patient?


Unlock Deck
Unlock for access to all 464 flashcards in this deck.
Unlock Deck
k this deck
10
An infant is born with facial dysmorphia and a cleft palate. Further evaluation reveals a heart condition with a right-to-left shunt and the absence of a thymic shadow on x-ray. The infant experiences frequent and recurrent sinopulmonary infections. Examination of this patient's lymph nodes will most likely show poor development of which of the following structures?
A)Cortical follicles
B)Medullary sinuses
C)Medullary cords
D)Paracortex region
E)Subcapsular sinuses
A)Cortical follicles
B)Medullary sinuses
C)Medullary cords
D)Paracortex region
E)Subcapsular sinuses
Unlock Deck
Unlock for access to all 464 flashcards in this deck.
Unlock Deck
k this deck
11
A 2-year-old boy is brought to the clinic due to recurrent infections. Over the last year, the patient has had multiple skin and pulmonary infections requiring antibiotic therapy. Temperature is 37.2 C (99 F), pulse is 120/min, and respirations are 20/min. The patient has silvery hair. Eye examination shows horizontal nystagmus. The oropharynx is clear, and the neck is supple. Cardiopulmonary examination is unremarkable, and the abdomen is soft. The skin appears pale with scarring from previous infections. Peripheral blood smear is shown in the image below:
This patient most likely has which of the following disorders?
A)Ataxia telangiectasia
B)Chédiak-Higashi syndrome
C)Chronic granulomatous disease
D)Gaucher disease
E)Leukocyte adhesion deficiency
F)Wiskott-Aldrich syndrome
This patient most likely has which of the following disorders?A)Ataxia telangiectasia
B)Chédiak-Higashi syndrome
C)Chronic granulomatous disease
D)Gaucher disease
E)Leukocyte adhesion deficiency
F)Wiskott-Aldrich syndrome
Unlock Deck
Unlock for access to all 464 flashcards in this deck.
Unlock Deck
k this deck
12
A 34-year-old man is evaluated in the clinic due to easy bruising. The patient says that even minor trauma causes a bruise and that he sometimes has spontaneous bruising over his legs. He has also been experiencing generalized fatigue, poor appetite, and dull pain and stiffness in his lower back and joints at night. The patient has a history of Crohn disease that required a partial bowel resection a year ago. Three months ago, he was treated with oral antibiotics for a perianal fistula. His mother died of colon cancer when she was 56. Physical examination shows several large ecchymoses on his lower extremities. Which of the following is the most likely diagnosis?
A)Autoimmune hepatitis
B)Bile acid malabsorption
C)Factor VIII deficiency
D)Immune thrombocytopenic purpura
E)Leukocytoclastic vasculitis
A)Autoimmune hepatitis
B)Bile acid malabsorption
C)Factor VIII deficiency
D)Immune thrombocytopenic purpura
E)Leukocytoclastic vasculitis
Unlock Deck
Unlock for access to all 464 flashcards in this deck.
Unlock Deck
k this deck
13
A 32-year-old man is started on infliximab for treatment of refractory Crohn disease. Ten days later, he develops joint pain and a pruritic skin rash. Skin biopsy shows scattered areas of fibrinoid necrosis and neutrophil infiltration involving his small blood vessels. Which of the following findings is most likely to accompany this patient's condition?
A)Candida antigen anergy
B)Decreased serum C3 level
C)Increased serum IgE level
D)Low serum IgA level
E)Neutrophilia
F)Severe thrombocytopenia
A)Candida antigen anergy
B)Decreased serum C3 level
C)Increased serum IgE level
D)Low serum IgA level
E)Neutrophilia
F)Severe thrombocytopenia
Unlock Deck
Unlock for access to all 464 flashcards in this deck.
Unlock Deck
k this deck
14
A 75-year-old man is brought to the emergency department by paramedics following a high-speed motor vehicle accident. Several attempts are made to resuscitate him but are unsuccessful. The patient had no significant past medical history and took no medications. He was known to be in good health and tolerant of moderate levels of physical activity. Electrocardiogram findings at his last office visit showed no abnormalities. At autopsy, heavy calcifications of the aortic valve are seen. Which of the following most likely preceded the aortic valve changes observed in this patient?
A)Cell necrosis
B)Extracellular amyloid deposition
C)Hypercalcemia
D)Intracellular hemosiderin accumulation
E)Pathologic cell hypertrophy
A)Cell necrosis
B)Extracellular amyloid deposition
C)Hypercalcemia
D)Intracellular hemosiderin accumulation
E)Pathologic cell hypertrophy
Unlock Deck
Unlock for access to all 464 flashcards in this deck.
Unlock Deck
k this deck
15
A 55-year-old man comes to the office for follow-up. The patient was diagnosed with hypertension 3 weeks ago, and an ECG performed at that time showed features of left ventricular hypertrophy. He was subsequently referred for echocardiography. The patient feels well and has had no shortness of breath, fatigue, or leg swelling. He has no other medical conditions, takes no medications, and does not use tobacco, alcohol, or illicit drugs. Blood pressure is 155/90 mm Hg and pulse is 80/min. BMI is 35 kg/m2. Physical examination shows normal jugular venous pressure. There are no lung crackles, heart gallops, or lower extremity edema. Echocardiography reveals a left ventricular ejection fraction of 30%. Which of the following patterns of chemical mediators is most likely present in this patient?


Unlock Deck
Unlock for access to all 464 flashcards in this deck.
Unlock Deck
k this deck
16
A group of researchers is studying population-based screening interventions to reduce mortality from abdominal aortic aneurysm. This disorder develops primarily in elderly patients and is often asymptomatic until an acute rupture event, which is frequently fatal. Screening of high-risk patients for abdominal aortic aneurysm is found to reduce mortality. Which of the following risk factor combinations would likely define the highest-risk group for screening purposes?
A)Diabetes, smoking
B)Female, hyperlipidemia
C)Female, hypertension
D)Hyperlipidemia, hypertension
E)Male, diabetes
F)Male, smoking
A)Diabetes, smoking
B)Female, hyperlipidemia
C)Female, hypertension
D)Hyperlipidemia, hypertension
E)Male, diabetes
F)Male, smoking
Unlock Deck
Unlock for access to all 464 flashcards in this deck.
Unlock Deck
k this deck
17
A 25-year-old woman is brought to the emergency department 40 minutes after being stung by several wasps. She reports throat tightness and dizziness. She has no chronic medical conditions and takes no medication. Blood pressure is 80/40 mm Hg, pulse is 120/min, and respirations are 32/min. Examination shows diffuse erythematous plaques over the trunk and 1+ pitting edema of the ankles. Which of the following is the most likely cause of this patient's hypotension?
A)Chemical mediator-induced decreased myocardial contractility
B)Chemical mediator-induced increased vascular permeability
C)Impaired endogenous sympathetic nerve activity
D)Toxin-mediated decreased myocardial contractility
E)Toxin-mediated increased capillary permeability
A)Chemical mediator-induced decreased myocardial contractility
B)Chemical mediator-induced increased vascular permeability
C)Impaired endogenous sympathetic nerve activity
D)Toxin-mediated decreased myocardial contractility
E)Toxin-mediated increased capillary permeability
Unlock Deck
Unlock for access to all 464 flashcards in this deck.
Unlock Deck
k this deck
18
A 7-month-old boy is brought to the physician by his parents due to irritability and white patches in his mouth. His past medical history is significant for 3 episodes of otitis media and 2 episodes of bronchiolitis that have required hospitalization. He also has a history of chronic loose stools. The child is small for his age and ill-appearing. Head and neck examination shows white patches consistent with oral candidiasis but is otherwise normal. Auscultation of the lungs shows expiratory wheezing. Cardiac examination is within normal limits. Laboratory results are as follows:
Serum protein electrophoresis shows a very low gamma globulin level. Chest x-ray reveals an absent thymic shadow. Which of the following is the most likely diagnosis?
A)Common variable immunodeficiency
B)DiGeorge syndrome
C)Severe combined immunodeficiency
D)Wiskott-Aldrich syndrome
E)X-linked agammaglobulinemia
Serum protein electrophoresis shows a very low gamma globulin level. Chest x-ray reveals an absent thymic shadow. Which of the following is the most likely diagnosis?A)Common variable immunodeficiency
B)DiGeorge syndrome
C)Severe combined immunodeficiency
D)Wiskott-Aldrich syndrome
E)X-linked agammaglobulinemia
Unlock Deck
Unlock for access to all 464 flashcards in this deck.
Unlock Deck
k this deck
19
A 23-year-old woman comes to the office due to sharp, right-sided chest pain, fatigue, and fever for the past week. The chest pain is worsened with deep breathing. She has had no associated expectoration or shortness of breath. For the past 6 months, the patient also has had intermittent joint pains, predominantly in the knees and hands. She is sexually active with one male partner and uses an intrauterine device for contraception. Temperature is 38.3 C (100.9 F), blood pressure is 120/70 mm Hg, pulse is 89/min, and respirations are 18/min. BMI is 24 kg/m2. Examination shows mild erythema over the cheeks and a scratching sound over the right lower lung with breathing. Heart sounds are normal. There is no joint swelling. Which of the following tests is most useful in confirming the diagnosis?
A)Anti-double-stranded DNA antibodies
B)Antistreptolysin O titers
C)Nucleic acid amplification test of cervical swab
D)Rheumatoid factor assay
E)Serologic test for syphilis
A)Anti-double-stranded DNA antibodies
B)Antistreptolysin O titers
C)Nucleic acid amplification test of cervical swab
D)Rheumatoid factor assay
E)Serologic test for syphilis
Unlock Deck
Unlock for access to all 464 flashcards in this deck.
Unlock Deck
k this deck
20
A 32-year-old man comes to the emergency department with chest pain that started earlier in the day. The pain is midline and sharp and increases with deep breaths but decreases when the patient leans forward. He had a mild respiratory illness a week ago. Other medical history is unremarkable. The patient is a lifetime nonsmoker and has no family history of early-onset heart attack, sudden death, or cardiomyopathy. Blood pressure is 120/70 mm Hg and pulse is 110/min and regular. Which of the following physical examination findings is most expected in this patient?
A)Friction rub
B)Kussmaul sign
C)Pericardial knock
D)Pulsus paradoxus
E)S3
A)Friction rub
B)Kussmaul sign
C)Pericardial knock
D)Pulsus paradoxus
E)S3
Unlock Deck
Unlock for access to all 464 flashcards in this deck.
Unlock Deck
k this deck
21
A 72-year-old man comes to the office due to palpitations and mild fatigue for the last 3 weeks. He has otherwise been feeling well. The patient walks 2 miles around his neighborhood twice per week with no chest pain or shortness of breath. Medical history is remarkable for benign prostatic hyperplasia, for which he takes terazosin. He drinks 1-2 cups of coffee every day and a glass of wine once or twice per month. Temperature is 37 C (98.6 F), blood pressure is 128/68 mm Hg, and pulse is 78/min and irregular. Physical examination reveals a 2/6 early-peaking systolic murmur at the right upper sternal border. Carotid pulses are prompt and full bilaterally. The lungs are clear to auscultation. There is no peripheral edema. ECG is shown in the exhibit.
Which of the following is most likely the strongest risk factor for this patient's presentation?
A)Advanced age
B)Alcohol use
C)Aortic stenosis
D)Coffee consumption
E)Terazosin use
Which of the following is most likely the strongest risk factor for this patient's presentation?A)Advanced age
B)Alcohol use
C)Aortic stenosis
D)Coffee consumption
E)Terazosin use
Unlock Deck
Unlock for access to all 464 flashcards in this deck.
Unlock Deck
k this deck
22
A 52-year-old man comes to the office due to a 2-week history of progressive fatigue and exertional dyspnea. The patient is a postal delivery worker and reports that he gets short of breath after walking a few blocks. He has not had chest pain or palpitations. The patient does not use tobacco, alcohol, or illicit drugs. Cardiac auscultation reveals a murmur that is best heard when the patient sits up and leans forward. He brings to the office the report from a recent cardiac catheterization (graph shown below). This patient's murmur would most likely be loudest at which of the following time points on the graph? 
A)A
B)B
C)C
D)D
E)E

A)A
B)B
C)C
D)D
E)E
Unlock Deck
Unlock for access to all 464 flashcards in this deck.
Unlock Deck
k this deck
23
A 34-year-old man comes to the emergency department with fatigue and lightheadedness. The patient had an upper respiratory infection last week, and since then his energy level has been low with shortness of breath on mild exertion. Otherwise, his medical history is insignificant. He is a lifetime nonsmoker. The patient's temperature is 37 C (98.6 F), blood pressure is 80/60 mm Hg, and pulse is 120/min and regular. His pulse becomes undetectable to palpation during inspiration. The lungs are clear to auscultation, but the jugular veins are distended. Which of the following is the most likely diagnosis?
A)Acute myocardial infarction
B)Acute viral myocarditis
C)Cardiac tamponade
D)Constrictive pericarditis
E)Septic shock
F)Tension pneumothorax
A)Acute myocardial infarction
B)Acute viral myocarditis
C)Cardiac tamponade
D)Constrictive pericarditis
E)Septic shock
F)Tension pneumothorax
Unlock Deck
Unlock for access to all 464 flashcards in this deck.
Unlock Deck
k this deck
24
A 73-year-old man is evaluated for exertional dyspnea. His exercise tolerance has decreased over the last year, and he can barely walk 2-3 blocks without stopping. The patient also reports occasional episodes of lightheadedness and palpitations. He has had no chest pain or syncope. He was diagnosed with hypertension in the past but does not take any medications. Physical examination reveals a cardiac murmur. The patient is referred to a cardiologist for further evaluation. Cardiac catheterization is performed, and the findings are shown in the image below. Which of the following points most likely corresponds to the peak murmur intensity in this patient? 
A)A
B)B
C)C
D)D
E)E

A)A
B)B
C)C
D)D
E)E
Unlock Deck
Unlock for access to all 464 flashcards in this deck.
Unlock Deck
k this deck
25
A 36-year-old woman, gravida 2 para 1, at 30 weeks gestation comes to the office for a prenatal visit. The patient has noticed some ankle swelling at the end of the day that is relieved with elevating her legs, but she has no other concerns. The pregnancy has been uncomplicated, and her only medications are a prenatal vitamin and iron supplement. The patient has no chronic medical conditions. She does not use tobacco or alcohol. Blood pressure is 118/78 mm Hg and pulse is 72/min. BMI is 30 kg/m2. Fetal heart tones are normal. There is trace bilateral pedal edema to the shins. Physical examination is otherwise unremarkable. Urinalysis shows no protein. Compared to a nonpregnant state, which of the following cardiac changes are most likely to be found in this patient?


Unlock Deck
Unlock for access to all 464 flashcards in this deck.
Unlock Deck
k this deck
26
A 44-year-old man with a history of intravenous drug use came to the emergency department due to fever and chills. Multiple blood culture sets were positive for Staphylococcus aureus, and the patient was diagnosed with infective endocarditis. He was successfully treated with a long course of antibiotics. Six months later, he returns to the clinic for a follow-up evaluation. The patient has no symptoms and reports good exercise tolerance. He is afebrile, blood pressure is 140/62 mm Hg, pulse is 82/min, and respirations are 16/min. Chest auscultation reveals a decrescendo diastolic murmur over the third intercostal space along the left sternal border. Echocardiogram shows severe aortic regurgitation, likely as a sequela to the prior infection. Which of the following changes is most responsible for maintaining cardiac output in the setting of this valvular abnormality?
A)Concentric left ventricular hypertrophy
B)Decrease in left ventricular preload
C)Increase in aortic elasticity
D)Increase in left ventricular afterload
E)Increase in left ventricular stroke volume
F)Sustained increase in heart rate
A)Concentric left ventricular hypertrophy
B)Decrease in left ventricular preload
C)Increase in aortic elasticity
D)Increase in left ventricular afterload
E)Increase in left ventricular stroke volume
F)Sustained increase in heart rate
Unlock Deck
Unlock for access to all 464 flashcards in this deck.
Unlock Deck
k this deck
27
A 52-year-old man comes to the physician because of increasing fatigue over the last 2 weeks. He has also been experiencing exertional dyspnea and occasional headaches. Cardiac auscultation findings at the left sternal border are shown below. Which of the following is most consistent with this patient's auscultatory findings?
A)Aortic regurgitation
B)Hypertrophic cardiomyopathy
C)Mitral valve prolapse
D)Papillary muscle dysfunction
E)Tricuspid regurgitation
A)Aortic regurgitation
B)Hypertrophic cardiomyopathy
C)Mitral valve prolapse
D)Papillary muscle dysfunction
E)Tricuspid regurgitation
Unlock Deck
Unlock for access to all 464 flashcards in this deck.
Unlock Deck
k this deck
28
A 24-year-old man comes to the office for an exercise evaluation. He is an avid long-distance runner. One of his team members recently died suddenly in his sleep, which made the patient worried about his health. He has no medical history, takes no medications, and does not use illicit drugs. His maternal grandfather had a heart attack at age 40 and underwent coronary artery bypass surgery. Blood pressure is 122/70 mm Hg and pulse is 49/min. Transthoracic echocardiogram shows the following:
The right ventricular cavity is slightly enlarged and there are no valvular lesions. Which of the following best explains this patient's echocardiogram findings?
A)Anabolic steroid abuse
B)Cardiac adaptation
C)Hypertrophic cardiomyopathy
D)Premature coronary artery disease
E)Subclinical viral myocarditis
The right ventricular cavity is slightly enlarged and there are no valvular lesions. Which of the following best explains this patient's echocardiogram findings?A)Anabolic steroid abuse
B)Cardiac adaptation
C)Hypertrophic cardiomyopathy
D)Premature coronary artery disease
E)Subclinical viral myocarditis
Unlock Deck
Unlock for access to all 464 flashcards in this deck.
Unlock Deck
k this deck
29
A 68-year-old man comes to the office due to increased abdominal distension. The patient was discharged from the hospital last week after an acute pulmonary embolism. He also has a history of emphysema caused by extensive tobacco use. The patient has no other medical conditions and does not use alcohol or illicit drugs. Temperature is 37.6 C (99.7 F), blood pressure is 112/78 mm Hg, pulse is 85/min, and respirations are 18/min. BMI is 27 kg/m2. Examination shows increased jugular venous pressure and lower extremity edema. The abdomen is distended, and a fluid wave is present. This patient's ascites most likely developed due to which of the following changes in portal capillary exchange parameters?


Unlock Deck
Unlock for access to all 464 flashcards in this deck.
Unlock Deck
k this deck
30
A 20-year-old man comes to the office due to occasional palpitations. He describes them as "skipped beats." He has no chest pain or shortness of breath. Medical history is unremarkable. On physical examination, he has wide, fixed splitting of the second heart sound (S2). No murmurs are heard. Chest x-ray reveals enlargement of the right heart contour. Echocardiogram is consistent with a congenital heart defect. Repair of this patient's congenital disease is aimed at preventing irreversible changes to which of the following?
A)Coronary vessels
B)Left atrium
C)Left ventricle
D)Pulmonary vessels
E)Right atrium
A)Coronary vessels
B)Left atrium
C)Left ventricle
D)Pulmonary vessels
E)Right atrium
Unlock Deck
Unlock for access to all 464 flashcards in this deck.
Unlock Deck
k this deck
31
A 52-year-old woman comes to the emergency department due to increasing dyspnea and chest tightness over the past 2 weeks. She has a history of stage 4 chronic kidney disease due to chronic glomerulonephritis. Temperature is 36.6 C (97.8 F), blood pressure is 106/82 mm Hg, and pulse is 98/min. Systolic blood pressure decreases by 12 mm Hg during inspiration. Physical examination shows distant heart sounds and clear lungs. Echocardiography in this patient is most likely to reveal which of the following findings?
A)Apical wall motion abnormality
B)Dilation of all cardiac chambers
C)Engorged inferior vena cava
D)Severe tricuspid regurgitation
E)Systolic anterior motion of the mitral valve
A)Apical wall motion abnormality
B)Dilation of all cardiac chambers
C)Engorged inferior vena cava
D)Severe tricuspid regurgitation
E)Systolic anterior motion of the mitral valve
Unlock Deck
Unlock for access to all 464 flashcards in this deck.
Unlock Deck
k this deck
32
A 34-year-old man comes to the office due to heart palpitations that are particularly prominent at night. With moderate exertion he also experiences head-pounding accompanied by involuntary head-bobbing. The patient recently emigrated from Southeast Asia and remembers being diagnosed with a heart murmur years before, but he cannot recall the type of murmur and has never received any treatment. He has no other medical conditions and takes no medications. He does not use tobacco, alcohol, or illicit drugs. The patient's father has coronary artery disease and his mother has type 2 diabetes mellitus. Based on this patient's history, which of the following findings is most likely to be present on further evaluation?
A)Impaired left ventricular contractility
B)Left ventricular outflow obstruction
C)Restricted left ventricular filling
D)Systolic and diastolic hypertension
E)Widening of the pulse pressure
A)Impaired left ventricular contractility
B)Left ventricular outflow obstruction
C)Restricted left ventricular filling
D)Systolic and diastolic hypertension
E)Widening of the pulse pressure
Unlock Deck
Unlock for access to all 464 flashcards in this deck.
Unlock Deck
k this deck
33
A 64-year-old man comes to the emergency department due to worsening dizziness and shortness of breath for the past several days. The patient was diagnosed with advanced stage lung cancer 6 months ago and is receiving palliative care. The patient has no other medical history. Blood pressure is 85/45 mm Hg, pulse is 122/min and regular, and respirations are 22/min. Pulse oximetry is 94% on room air. There are undulations in blood pressure at different phases of respiration. On physical examination, the point of maximal impulse is not palpable, and heart sounds are distant. Chest x-ray reveals diffuse pulmonary metastatic disease and new enlargement of the cardiac silhouette. Which of the following hemodynamic changes are most likely present in this patient due to his current cardiac condition?


Unlock Deck
Unlock for access to all 464 flashcards in this deck.
Unlock Deck
k this deck
34
A 72-year-old man with long-standing dyspnea was seen in the clinic after experiencing an episode of syncope. Physical examination showed weak and slowly rising arterial pulses. Cardiac auscultation showed a harsh midsystolic murmur best heard at the second right intercostal space with decreased intensity of the second heart sound. Electrocardiogram and echocardiogram confirmed the diagnosis of severe aortic stenosis. Two months later, the patient comes to the emergency department with palpitations and increased shortness of breath. His blood pressure is 90/60 mm Hg and his heart rate is 130/min with an irregularly irregular rhythm. Electrocardiogram shows new-onset atrial fibrillation without significant ST-segment or T-wave changes. Chest x-ray shows bilateral pulmonary edema. Which of the following hemodynamic changes is most likely associated with this patient's current presentation?
A)Insidious right ventricular failure
B)Sudden decrease in left ventricular preload
C)Sudden decrease in left ventricular systolic function
D)Sudden increase in left ventricular afterload
E)Sudden increase in left ventricular filling
A)Insidious right ventricular failure
B)Sudden decrease in left ventricular preload
C)Sudden decrease in left ventricular systolic function
D)Sudden increase in left ventricular afterload
E)Sudden increase in left ventricular filling
Unlock Deck
Unlock for access to all 464 flashcards in this deck.
Unlock Deck
k this deck
35
A 54-year-old man comes to the office due to light-headedness when walking his dog in the morning. He has had no chest pain, shortness of breath, weakness, or headaches. Cardiac auscultation findings at the right sternal border are heard in the exhibit.

Which of the following is the most likely cause of this patient's symptoms?
A)Bicuspid aortic valve
B)Infective endocarditis
C)Marfan syndrome
D)Mitral valve prolapse
E)Ventricular septal defect

Which of the following is the most likely cause of this patient's symptoms?
A)Bicuspid aortic valve
B)Infective endocarditis
C)Marfan syndrome
D)Mitral valve prolapse
E)Ventricular septal defect
Unlock Deck
Unlock for access to all 464 flashcards in this deck.
Unlock Deck
k this deck
36
An 81-year-old woman undergoes transcatheter aortic valve implantation through femoral access. She was diagnosed with severe calcific aortic stenosis 2 months ago after she began having shortness of breath with mild exertion. The vascular access is gained without complication, and the transcatheter valve is deployed under fluoroscopic guidance. The following hemodynamic changes are observed:
Which of the following complications should be suspected in this patient?
A)Aortic regurgitation
B)Mitral stenosis
C)Prosthetic valve thrombosis
D)Retroperitoneal bleeding
E)Ventricular septal perforation
Which of the following complications should be suspected in this patient?A)Aortic regurgitation
B)Mitral stenosis
C)Prosthetic valve thrombosis
D)Retroperitoneal bleeding
E)Ventricular septal perforation
Unlock Deck
Unlock for access to all 464 flashcards in this deck.
Unlock Deck
k this deck
37
A 72-year-old man comes to the office due to palpitations, fatigue, and dyspnea for the past 2 weeks. The patient experienced an episode of atrial fibrillation 4 years ago during hospitalization for pneumonia; the episode spontaneously resolved 2 days later. Since then, he has had 3 episodes of symptomatic atrial fibrillation that self-terminated within a week. Other medical history includes hypertension, type 2 diabetes mellitus, and chronic heart failure. Blood pressure is 130/84 mm Hg and pulse is 110/min. The lungs are clear to auscultation. Cardiac examination demonstrates tachycardia with irregularly irregular heartbeats. ECG confirms atrial fibrillation. The patient's ventricular rate is controlled with beta blocker therapy, but the arrhythmia fails to resolve as in previous episodes. Which of the following factors is most likely involved in the progression of this patient's arrhythmia?
A)Abnormal atrioventricular nodal pathway
B)Atrial structural remodeling
C)Cardiac autonomic neuropathy
D)Conduction system fibrosis
E)Enhanced sinoatrial node automaticity
A)Abnormal atrioventricular nodal pathway
B)Atrial structural remodeling
C)Cardiac autonomic neuropathy
D)Conduction system fibrosis
E)Enhanced sinoatrial node automaticity
Unlock Deck
Unlock for access to all 464 flashcards in this deck.
Unlock Deck
k this deck
38
A 72-year-old man comes to the emergency department due to sudden-onset, severe abdominal pain accompanied by nausea. He has a history of coronary artery disease and recently underwent cardiac angiography. The patient is a current smoker with a 30-pack-year history. After initial evaluation, he undergoes emergency laparotomy. A segment of small intestine is resected. On microscopic examination, there are several large-caliber vessels with needle-shaped cholesterol clefts in their lumens, as shown in the image below.
Given these findings, the patient is at highest risk for which of the following complications?
A)Kidney injury
B)Myelosuppression
C)Nephrolithiasis
D)Pulmonary infarction
E)Septic arthritis
Given these findings, the patient is at highest risk for which of the following complications?A)Kidney injury
B)Myelosuppression
C)Nephrolithiasis
D)Pulmonary infarction
E)Septic arthritis
Unlock Deck
Unlock for access to all 464 flashcards in this deck.
Unlock Deck
k this deck
39
A 62-year-old man comes to the office due to chest pain over the last 6 months. He describes pressure-like pain in the substernal area when walking fast or climbing stairs that gradually subsides when he stops. The patient does not smoke cigarettes or use illicit drugs. He has no family history of heart disease or sudden death. Physical examination shows a mid-systolic murmur at the upper sternum and slow-rising carotid pulses. After initial evaluation, cardiac catheterization is performed and reveals 30% stenosis of the mid-left anterior descending artery. A 50 mm Hg pressure gradient is seen when a catheter is passed across the aortic valve. Which of the following is the most important contributor to this patient's presenting symptoms?
A)Decrease in coronary blood supply due to lipid-rich plaque
B)Decrease in coronary blood supply due to vasospasm
C)Decrease in left ventricular compliance
D)Increase in left ventricular stroke volume
E)Increase in left ventricular wall stress
A)Decrease in coronary blood supply due to lipid-rich plaque
B)Decrease in coronary blood supply due to vasospasm
C)Decrease in left ventricular compliance
D)Increase in left ventricular stroke volume
E)Increase in left ventricular wall stress
Unlock Deck
Unlock for access to all 464 flashcards in this deck.
Unlock Deck
k this deck
40
A 2-month-old boy is found unresponsive in his crib. He had previously been well and had a normal physical examination at his 2-month visit approximately 1 week earlier. An autopsy is performed to determine the cause of death. The pathologist concludes that the infant likely died of sudden infant death syndrome. The autopsy also shows an incidental finding of bicuspid aortic valve. If this patient had survived, he would have been at greatest risk for which of the following events?
A)Aortic dissection in his 30s
B)Aortic stenosis in his 50s
C)Atrial fibrillation in his 40s
D)Endocarditis in his 20s
E)Severe aortic stenosis in infancy
F)Ventricular arrhythmia in childhood
A)Aortic dissection in his 30s
B)Aortic stenosis in his 50s
C)Atrial fibrillation in his 40s
D)Endocarditis in his 20s
E)Severe aortic stenosis in infancy
F)Ventricular arrhythmia in childhood
Unlock Deck
Unlock for access to all 464 flashcards in this deck.
Unlock Deck
k this deck
41
A 65-year-old man with a long history of hypertension and type 2 diabetes mellitus comes to the office for a routine checkup. The patient is a former smoker with a 15-pack-year history. He jogs 3 miles per day. BMI is 28.5 kg/m2. Family history is unremarkable. Auscultation findings over the cardiac apex are given below. The auscultation findings are best explained by which of the following?
A)Aortic root dilation
B)Atrial septal defect
C)Left ventricular hypertrophy
D)Mitral valve prolapse
E)Pericardial effusion
A)Aortic root dilation
B)Atrial septal defect
C)Left ventricular hypertrophy
D)Mitral valve prolapse
E)Pericardial effusion
Unlock Deck
Unlock for access to all 464 flashcards in this deck.
Unlock Deck
k this deck
42
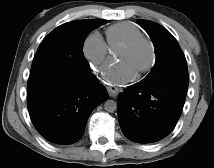
The patient is admitted to the hospital for further workup and treatment. After initial evaluation, a CT scan of the chest is obtained, an image of which is shown on the slide below.
Which of the following is the most likely diagnosis? A)Aortic dissection B)Constrictive pericarditis C)Hypertrophic cardiomyopathy D)Ischemic heart disease E)Viral myocarditis
Which of the following is the most likely diagnosis? A)Aortic dissection B)Constrictive pericarditis C)Hypertrophic cardiomyopathy D)Ischemic heart disease E)Viral myocarditis Unlock Deck
Unlock for access to all 464 flashcards in this deck.
Unlock Deck
k this deck
43
A 64-year-old man comes to the emergency department due to chest discomfort and shortness of breath. Medical history includes hypertension, type 2 diabetes mellitus, and severe osteoarthritis of the left knee. The patient is an active smoker with a 20-pack-year smoking history. He undergoes dobutamine infusion with simultaneous cardiac imaging. The following is seen:Before infusion: normal left ventricular contractility, ejection fraction 60%During infusion: decreased apical contractility, ejection fraction 45%Five minutes after infusion: normal left ventricular contractility, ejection fraction 60%Which of the following best explains the observed findings?
A)Coronary artery occlusion due to plaque thrombosis
B)Coronary artery vasospasm
C)Focal myocardial fibrosis
D)Normal myocardial contractile response
E)Supply-demand mismatch due to fixed coronary stenosis
A)Coronary artery occlusion due to plaque thrombosis
B)Coronary artery vasospasm
C)Focal myocardial fibrosis
D)Normal myocardial contractile response
E)Supply-demand mismatch due to fixed coronary stenosis
Unlock Deck
Unlock for access to all 464 flashcards in this deck.
Unlock Deck
k this deck
44
A 72-year-old man comes to the office due to progressive shortness of breath. Over the past year, the patient has been unable to perform many of his usual outdoor activities, including afternoon walks and working in the yard. During the last several weeks, he has frequently become easily fatigued and short of breath, and at night he needs several pillows to sleep comfortably. He has also had ankle swelling. The patient has had no chest pain, syncope, abdominal pain, or cough. He is a lifetime nonsmoker. Bibasilar crackles are heard on physical examination. Echocardiography reveals no valvular disease and a nondilated left ventricle with an ejection fraction of 55%. Which of the following is most strongly associated with this patient's current condition?
A)Glomerular hyperfiltration
B)Increased left ventricular afterload
C)Increased left ventricular compliance
D)Left ventricular thrombus formation
E)Right-to-left intracardiac shunting
A)Glomerular hyperfiltration
B)Increased left ventricular afterload
C)Increased left ventricular compliance
D)Left ventricular thrombus formation
E)Right-to-left intracardiac shunting
Unlock Deck
Unlock for access to all 464 flashcards in this deck.
Unlock Deck
k this deck
45
A 35-year-old man comes to the office with progressive fatigue, dyspnea on exertion, and lower extremity edema over the last 2 weeks. Preceding these symptoms, he had an episode of fever, runny nose, and myalgias that resolved after several days. The patient has no other medical history, takes no medications, and has no significant family history. He occasionally drinks alcohol and does not use tobacco. Blood pressure is 112/74 mm Hg, and pulse is 98/min and regular. Physical examination reveals jugular venous distension, bibasilar crackles on lung auscultation, and 2+ pitting edema involving the lower extremities. Which of the following echocardiographic findings is most likely to be seen in this patient?
A)Concentric left ventricle thickening with abnormal diastolic relaxation
B)Dilated ventricles with abnormal systolic ventricular function
C)High systolic pressure gradient across the aortic valve
D)Regional wall motion abnormality
E)Systolic anterior motion of the mitral valve
A)Concentric left ventricle thickening with abnormal diastolic relaxation
B)Dilated ventricles with abnormal systolic ventricular function
C)High systolic pressure gradient across the aortic valve
D)Regional wall motion abnormality
E)Systolic anterior motion of the mitral valve
Unlock Deck
Unlock for access to all 464 flashcards in this deck.
Unlock Deck
k this deck
46
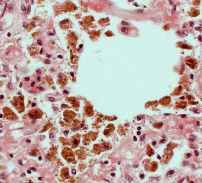
A 75-year-old man is found unresponsive in his home. Emergency medical services are called by the neighbor, but the patient is pronounced dead at the scene. The patient had a history of hypertension, type 2 diabetes mellitus, and coronary artery disease, as well as a 25-pack-year smoking history. He worked at a coal mine in the remote past and retired as an auto mechanic 15 years ago. Autopsy is performed; a section of lung tissue stained with hematoxylin and eosin is shown below.
Which of the following is the most likely cause of this patient's abnormal histopathology findings?
A)Chronic inflammation triggered by crystalline silica
B)Decreased left ventricular systolic function
C)Excessive deposition of extracellular collagen
D)Hyperreactivity of airways to extrinsic allergens
E)Malignant transformation of bronchial epithelial cells
F)Neutrophil elastase-mediated alveolar septal destruction
Which of the following is the most likely cause of this patient's abnormal histopathology findings?A)Chronic inflammation triggered by crystalline silica
B)Decreased left ventricular systolic function
C)Excessive deposition of extracellular collagen
D)Hyperreactivity of airways to extrinsic allergens
E)Malignant transformation of bronchial epithelial cells
F)Neutrophil elastase-mediated alveolar septal destruction
Unlock Deck
Unlock for access to all 464 flashcards in this deck.
Unlock Deck
k this deck
47
A 67-year-old man has recurrent witnessed episodes of loss of consciousness while shaving. The episodes are characterized by a feeling of faintness followed by loss of consciousness, and each episode resolves after less than a minute. Blood pressure is 130/80 mm Hg and pulse is 80/min and regular; there are no significant changes in blood pressure or heart rate with supine and standing positions. Cardiac auscultation is normal with no murmurs or extra sounds. There are no neck bruits and the lungs are clear to auscultation. Which of the following factors is most likely contributing to this patient's symptomatic episodes?
A)Activation of atrioventricular nodal reentrant circuit
B)Decreased systemic vascular resistance
C)Increased pulmonary vascular resistance
D)Intermittent complete heart block
E)Polymorphic ventricular tachycardia
A)Activation of atrioventricular nodal reentrant circuit
B)Decreased systemic vascular resistance
C)Increased pulmonary vascular resistance
D)Intermittent complete heart block
E)Polymorphic ventricular tachycardia
Unlock Deck
Unlock for access to all 464 flashcards in this deck.
Unlock Deck
k this deck
48
A 63-year-old man comes to the office due to exertional dyspnea that has been progressively worsening over the last 3 weeks. He sleeps in a recliner with his head elevated because he gets short of breath when lying flat in bed. Medical history includes gout, dyslipidemia, and hypertension. Blood pressure is 154/89 mm Hg and pulse is 85/min. Physical examination shows distended jugular veins in the semi-recumbent position. An apical heave is present on cardiac examination. There is pitting edema in the bilateral lower extremities. Levels of which of the following substances will be higher in the pulmonary vein compared to the pulmonary artery in this patient?
A)Aldosterone
B)Angiotensin I
C)Angiotensin II
D)Angiotensinase
E)Angiotensinogen
F)Arginine vasopressin
G)Prostaglandin E1
H)Renin
A)Aldosterone
B)Angiotensin I
C)Angiotensin II
D)Angiotensinase
E)Angiotensinogen
F)Arginine vasopressin
G)Prostaglandin E1
H)Renin
Unlock Deck
Unlock for access to all 464 flashcards in this deck.
Unlock Deck
k this deck
49
A 62-year-old man with a long history of hypertension comes to the clinic for a routine physical examination. Blood pressure is 150/90 mm Hg and pulse is 74/min and regular. Cardiac auscultation reveals a low-frequency, presystolic sound that immediately precedes S1 and is best heard during expiration when the patient is lying on his left side. Chest x-ray reveals extensive calcification around the mitral and aortic valves. Which of the following is the most likely explanation for the additional heart sound?
A)Increased flow velocity through the aortic valve
B)Increased stiffness of the left ventricular wall
C)Rapid passive filling of the ventricles
D)Restricted motion of the aortic valve cusps
E)Systolic anterior motion of the mitral valve
A)Increased flow velocity through the aortic valve
B)Increased stiffness of the left ventricular wall
C)Rapid passive filling of the ventricles
D)Restricted motion of the aortic valve cusps
E)Systolic anterior motion of the mitral valve
Unlock Deck
Unlock for access to all 464 flashcards in this deck.
Unlock Deck
k this deck
50
Cardiac catheterization is performed on a 7-year-old boy. The image below shows the pattern of oxygen saturation in the patient's cardiac chambers and outflow tracts (structural abnormalities are not shown).
This patient most likely has which of the following findings on physical examination?
A)Bifid carotid pulse with brisk upstroke
B)Continuous murmur over the upper precordium
C)Decreased femoral-to-brachial blood pressure ratio
D)Fixed splitting of S2 on cardiac auscultation
E)Holosystolic murmur over the left sternal border
F)Mucosal cyanosis and fingernail clubbing
This patient most likely has which of the following findings on physical examination?A)Bifid carotid pulse with brisk upstroke
B)Continuous murmur over the upper precordium
C)Decreased femoral-to-brachial blood pressure ratio
D)Fixed splitting of S2 on cardiac auscultation
E)Holosystolic murmur over the left sternal border
F)Mucosal cyanosis and fingernail clubbing
Unlock Deck
Unlock for access to all 464 flashcards in this deck.
Unlock Deck
k this deck
51
A 46-year-old man with a 30-pack-year smoking history develops right leg pain and swelling after returning from an overseas trip. He is diagnosed with a lower extremity deep venous thrombosis and is started on intravenous heparin. Shortly after being hospitalized, he develops right-sided weakness and facial droop. CT scan of the head reveals a left middle cerebral artery stroke. Which of the following physical examination findings is most likely to be present in this patient?
A)Diastolic decrescendo-type murmur that decreases following amyl nitrite inhalation
B)Ejection-type systolic murmur that increases on standing
C)Presystolic murmur that disappears with atrial fibrillation
D)Midsystolic click that occurs earlier with inspiration
E)Wide splitting of S2 that does not change with respiration
A)Diastolic decrescendo-type murmur that decreases following amyl nitrite inhalation
B)Ejection-type systolic murmur that increases on standing
C)Presystolic murmur that disappears with atrial fibrillation
D)Midsystolic click that occurs earlier with inspiration
E)Wide splitting of S2 that does not change with respiration
Unlock Deck
Unlock for access to all 464 flashcards in this deck.
Unlock Deck
k this deck
52
A 34-year-old woman is being evaluated for fatigue and progressive exertional dyspnea. She goes mountain biking with friends a few times a month and recently noticed that she has to stop and rest more frequently when traveling uphill. The patient has no significant medical history and takes no medications. She occasionally drinks alcohol but does not use tobacco or illicit drugs. Her father died of a myocardial infarction at age 72. Lung auscultation is normal. An echocardiogram shows an enlarged coronary sinus. Which of the following is the most likely cause of the observed finding in this patient?
A)Aortic dissection
B)Coronary artery disease
C)Hypertrophic cardiomyopathy
D)Pericardial effusion
E)Pulmonary hypertension
A)Aortic dissection
B)Coronary artery disease
C)Hypertrophic cardiomyopathy
D)Pericardial effusion
E)Pulmonary hypertension
Unlock Deck
Unlock for access to all 464 flashcards in this deck.
Unlock Deck
k this deck
53
A 72-year-old man comes to the clinic due to episodic lightheadedness. The episodes typically occur in the morning when the patient adjusts his shirt collar or tightens his tie and he briefly feels like he is going to pass out. The patient had a thyroidectomy 5 years ago for a large benign tumor. He also has hypertension and takes amlodipine. Blood pressure is 135/78 mm Hg and pulse is 78/min. Physical examination reveals no heart murmurs or carotid bruits. ECG shows normal sinus rhythm. The patient is given an ambulatory ECG monitoring device. During symptomatic episodes, the device is most likely to show which of the following?
A)Atrial fibrillation
B)Mobitz type II second-degree heart block
C)Paroxysmal supraventricular tachycardia
D)Sinus pause
E)Ventricular tachycardia
A)Atrial fibrillation
B)Mobitz type II second-degree heart block
C)Paroxysmal supraventricular tachycardia
D)Sinus pause
E)Ventricular tachycardia
Unlock Deck
Unlock for access to all 464 flashcards in this deck.
Unlock Deck
k this deck
54
A 71-year-old man comes to the office due to a 2-month history of progressive exertional dyspnea. The patient is unable to walk half a block without resting and can no longer climb stairs without stopping every few steps. He also has had difficulty sleeping due to repeatedly waking up at night feeling like he is suffocating. Physical examination shows bilateral lower extremity edema and distended neck veins. Cardiac auscultation findings over the apex are given below. This patient's auscultatory findings most likely reflect which of the following?
A)Aortic valve sclerosis
B)Bulging of the interventricular septum
C)Dynamic left ventricular outflow obstruction
D)Elevated pulmonary arterial pressure
E)Increased left ventricular end-systolic volume
A)Aortic valve sclerosis
B)Bulging of the interventricular septum
C)Dynamic left ventricular outflow obstruction
D)Elevated pulmonary arterial pressure
E)Increased left ventricular end-systolic volume
Unlock Deck
Unlock for access to all 464 flashcards in this deck.
Unlock Deck
k this deck
55
A 63-year-old man comes to the emergency department due to increasing dyspnea. He was unable to mow his lawn the previous day due to shortness of breath. The patient has a history of hypertension and a 20-pack-year smoking history. He is retired and traveled to Hawaii 2 months ago. Blood pressure is 160/86 mm Hg, pulse is 94/min, and respirations are 24/min; oxygen saturation is 94% on room air. Physical examination reveals bilateral lung crackles and occasional wheezes. Laboratory testing reveals elevated brain natriuretic peptide levels. Which of the following is the primary trigger for the release of this substance in this patient?
A)Activation of alveolar juxtacapillary receptors
B)Decrease in renal perfusion pressure
C)Decrease in vena cava blood return
D)Focal myocardial necrosis
E)Increase in ventricular wall stress
F)Stretching of aortic baroreceptors
A)Activation of alveolar juxtacapillary receptors
B)Decrease in renal perfusion pressure
C)Decrease in vena cava blood return
D)Focal myocardial necrosis
E)Increase in ventricular wall stress
F)Stretching of aortic baroreceptors
Unlock Deck
Unlock for access to all 464 flashcards in this deck.
Unlock Deck
k this deck
56
A 53-year-old woman comes to the office due to aching pain in her legs. She is a hair stylist and has cut down on her work hours due to the discomfort. The patient has a history of migraine and untreated chronic hepatitis C. She smokes a pack of cigarettes daily but does not use alcohol or illicit drugs. Physical examination findings are shown in the image below.
An abnormality of which of the following is the most likely cause of this patient's symptoms?
A)Arterial intima
B)Capillary permeability
C)Lymphoid capillaries
D)Plasma oncotic pressure
E)Vasa vasorum
F)Venous valves
An abnormality of which of the following is the most likely cause of this patient's symptoms?A)Arterial intima
B)Capillary permeability
C)Lymphoid capillaries
D)Plasma oncotic pressure
E)Vasa vasorum
F)Venous valves
Unlock Deck
Unlock for access to all 464 flashcards in this deck.
Unlock Deck
k this deck
57
A 34-year-old Russian immigrant comes to the physician with a 2-month history of exertional dyspnea and progressive lower extremity swelling. He also reports abdominal distension and decreased appetite. The patient has gained 4.5 kg (10 lbs) over the last 2 months. Past medical history is significant for hypertension and recurrent lung infections requiring prolonged antibiotic therapy. He has no history of coronary artery disease. The patient has smoked a pack of cigarettes daily for the past 15 years. He undergoes noninvasive cardiac testing followed by cardiac catheterization. A jugular venous pressure tracing is shown on the slide below.
The waveform indicated by the arrow most likely corresponds to which of the following?
A)Atrial contraction
B)Carotid pulse upstroke
C)Isovolumetric ventricular contraction
D)Tricuspid valve closure
E)Tricuspid valve opening
The waveform indicated by the arrow most likely corresponds to which of the following?A)Atrial contraction
B)Carotid pulse upstroke
C)Isovolumetric ventricular contraction
D)Tricuspid valve closure
E)Tricuspid valve opening
Unlock Deck
Unlock for access to all 464 flashcards in this deck.
Unlock Deck
k this deck
58
A 53-year-old man comes to the office with progressive exertional dyspnea. He has smoked 2 packs of cigarettes per day for the last 35 years. Physical examination shows increased anteroposterior diameter of his chest. Auscultation reveals decreased breath sounds and scattered wheezes throughout his lungs. Examination of his extremities is unremarkable. Echocardiography reveals moderate dilation of the right ventricle and increased central venous pressure. The absence of peripheral edema in this patient is best explained by which of the following compensatory mechanisms?
A)Decreased capillary permeability
B)Decreased circulating aldosterone levels
C)Decreased interstitial fluid pressure
D)Increased plasma oncotic pressure
E)Increased tissue lymphatic drainage
A)Decreased capillary permeability
B)Decreased circulating aldosterone levels
C)Decreased interstitial fluid pressure
D)Increased plasma oncotic pressure
E)Increased tissue lymphatic drainage
Unlock Deck
Unlock for access to all 464 flashcards in this deck.
Unlock Deck
k this deck
59
Atherosclerotic lesions of the coronary arteries can limit blood flow to the myocardial regions supplied by the affected vessels. In some patients, certain medications can cause a redistribution of blood flow away from the ischemic areas, exacerbating existing myocardial ischemia. Which of the following drug effects is most likely to produce this phenomenon?
A)Coronary arteriolar dilation
B)Decreased myocardial contractility
C)Epicardial vessel dilation
D)Negative chronotropic effect
E)Systemic venous dilation
A)Coronary arteriolar dilation
B)Decreased myocardial contractility
C)Epicardial vessel dilation
D)Negative chronotropic effect
E)Systemic venous dilation
Unlock Deck
Unlock for access to all 464 flashcards in this deck.
Unlock Deck
k this deck
60
A 67-year-old man is brought to the emergency department due to progressive shortness of breath. He has had decreasing exercise tolerance for several months, and over the last week he could barely walk to the bathroom without becoming short of breath. The patient has been sleeping in a semirecumbent position recently. Medical history includes type 2 diabetes mellitus, hyperlipidemia, and a myocardial infarction 3 years ago. He takes no medications. The patient does not drink alcohol or use tobacco products. BMI is 30 kg/m2. Oxygen saturation is 92% on room air. The apical impulse is palpated in the 6th intercostal space along the anterior axillary line. There is 3+ bilateral pitting edema in the legs. Which of the following is most likely increased in this patient?
A)Arteriolar resistance
B)Lung compliance
C)Mixed venous O2 content
D)Renal perfusion
E)Stroke volume
A)Arteriolar resistance
B)Lung compliance
C)Mixed venous O2 content
D)Renal perfusion
E)Stroke volume
Unlock Deck
Unlock for access to all 464 flashcards in this deck.
Unlock Deck
k this deck
61
A 54-year-old woman comes to the office due to exertional dyspnea and fatigue. The patient gets short of breath while walking to a store 2 blocks away from her home. She also has trouble breathing at night and sleeps with 2 or 3 pillows to prop her up. She has had occasional palpitations but no chest pain. The patient takes no medications on a regular basis, and does not use tobacco, alcohol, or illicit drugs. After initial evaluation, she is scheduled for a left heart catheterization, the findings of which are shown below.
Which of the following is the most likely diagnosis?
A)Aortic regurgitation
B)Aortic stenosis
C)Mitral regurgitation
D)Mitral stenosis
E)Tricuspid regurgitation
Which of the following is the most likely diagnosis?A)Aortic regurgitation
B)Aortic stenosis
C)Mitral regurgitation
D)Mitral stenosis
E)Tricuspid regurgitation
Unlock Deck
Unlock for access to all 464 flashcards in this deck.
Unlock Deck
k this deck
62
A 33-year-old woman who recently immigrated to the United States is brought to the emergency department with severe shortness of breath and hemoptysis. Physical examination reveals a diastolic murmur. Chest x-ray shows severe pulmonary vascular congestion and edema. She is admitted to the hospital, treated with diuretics, and begins to feel better. However, during her hospitalization, she develops right-sided hemiparesis. Which of the following additional findings in this patient would be most suggestive of combined disease involving the mitral and aortic valves rather than exclusive mitral involvement?
A)Increased left ventricular diastolic pressure
B)Increased pulmonary artery pressure
C)Increased pulmonary capillary wedge pressure
D)Reduced pulmonary vascular compliance
E)Right ventricular dilation
F)Tricuspid regurgitation
A)Increased left ventricular diastolic pressure
B)Increased pulmonary artery pressure
C)Increased pulmonary capillary wedge pressure
D)Reduced pulmonary vascular compliance
E)Right ventricular dilation
F)Tricuspid regurgitation
Unlock Deck
Unlock for access to all 464 flashcards in this deck.
Unlock Deck
k this deck
63
A 19-year-old man comes to the office due to difficulty seeing and blurred vision, which have worsened slowly over the past year. He is a second-year college student pursuing a degree in biochemistry. His grades are excellent, but he is concerned about the effect his poor vision has had on his classes this semester. The patient is also an avid swimmer. He weighs 71 kg (156.5 lb) and is 195 cm (6 ft 5 in) tall. Physical examination shows the findings seen in the exhibits.


This patient is most likely to die from which of the following conditions?
A)Aortic disease
B)Liver disease
C)Myocardial infarction
D)Overwhelming infection
E)Renal failure


This patient is most likely to die from which of the following conditions?
A)Aortic disease
B)Liver disease
C)Myocardial infarction
D)Overwhelming infection
E)Renal failure
Unlock Deck
Unlock for access to all 464 flashcards in this deck.
Unlock Deck
k this deck
64
A 29-year-old man is brought to the emergency department by his friend due to retrosternal chest pain for the past hour. The patient is agitated and restless. Temperature is 38.1 C (100.6 F), blood pressure is 180/106 mm Hg in the right arm and 182/104 mm Hg in the left arm, pulse is 110/min, and respirations are 20/min. Physical examination shows bilaterally dilated pupils, normal heart and lung sounds, and a nontender abdomen. ECG shows sinus tachycardia with ST-segment depression in the precordial leads. Chest x-ray reveals no parenchymal opacities or pleural effusion and a normal mediastinum and cardiac silhouette. Cardiac enzymes are normal. Sublingual nitroglycerin and benzodiazepine therapy relieve the symptoms. Which of the following is the most likely cause of this patient's chest pain?
A)Acute pericarditis
B)Aortic dissection
C)Coronary artery thrombosis
D)Coronary artery vasoconstriction
E)Pulmonary infarction
A)Acute pericarditis
B)Aortic dissection
C)Coronary artery thrombosis
D)Coronary artery vasoconstriction
E)Pulmonary infarction
Unlock Deck
Unlock for access to all 464 flashcards in this deck.
Unlock Deck
k this deck
65
Cellular physiologists are investigating the mechanisms of contraction cessation in cardiomyocytes in response to ischemic injury. In an animal experiment, the left anterior descending coronary artery is ligated at time 0, and changes in ATP levels within the affected myocardial cells are recorded. At which point on the graph does the affected portion of the myocardium stop contracting? 
A)A
B)B
C)C
D)D
E)E

A)A
B)B
C)C
D)D
E)E
Unlock Deck
Unlock for access to all 464 flashcards in this deck.
Unlock Deck
k this deck
66
A 22-year-old man comes to the office for an exercise evaluation. He is an avid long-distance runner. One of his team members was disqualified recently due to health issues, which made him worried about his health. He has no medical history and does not take any medications or illicit drugs. His maternal grandfather died suddenly at age 40. Blood pressure is 125/75 mm Hg and pulse is 55/min. Transthoracic echocardiogram results are as follows:
The right ventricle appears normal and there are no valvular lesions. Which of the following best explains this patient's echocardiogram findings?
A)Anabolic steroid abuse
B)Cardiac adaptation
C)Hypertrophic cardiomyopathy
D)Premature coronary artery disease
E)Subclinical viral myocarditis
The right ventricle appears normal and there are no valvular lesions. Which of the following best explains this patient's echocardiogram findings?A)Anabolic steroid abuse
B)Cardiac adaptation
C)Hypertrophic cardiomyopathy
D)Premature coronary artery disease
E)Subclinical viral myocarditis
Unlock Deck
Unlock for access to all 464 flashcards in this deck.
Unlock Deck
k this deck
67
A 78-year-old woman comes to the emergency department due to a 3-day history of intermittent but progressive substernal chest pain. Medical history includes hypertension and hyperlipidemia, but the patient has had poor adherence with her medication and outpatient follow-up. She has a 30 pack-year smoking history. On admission, ECG reveals normal sinus rhythm with ST-segment elevation and pathologic Q waves in leads I, aVL, and V2 to V5. The patient refuses percutaneous coronary intervention and is treated medically. On the fifth day of hospitalization, she experiences severe dyspnea, sweating, and hypotension. Physical examination shows raised jugular venous pressure, no heart murmurs, and clear lungs. She rapidly loses consciousness and becomes pulseless, and the subsequent resuscitation attempt is ineffective. Which of the following most likely contributed to this patient's death?
A)Blood accumulation in the pericardial space
B)Complete rupture of the papillary muscle
C)Rapid reperfusion of the ischemic myocardium
D)Rupture of the interventricular septum
E)True aneurysm of the ventricular wall
A)Blood accumulation in the pericardial space
B)Complete rupture of the papillary muscle
C)Rapid reperfusion of the ischemic myocardium
D)Rupture of the interventricular septum
E)True aneurysm of the ventricular wall
Unlock Deck
Unlock for access to all 464 flashcards in this deck.
Unlock Deck
k this deck
68
A 46-year-old woman comes to the emergency department due to progressive dyspnea over the last 2 days. The patient's exercise tolerance has decreased dramatically and she had to sleep in a sitting position last night. She has no history of cardiovascular disease. The patient does not use tobacco or alcohol. Family history is unremarkable. Blood pressure is 110/65 mm Hg and pulse is 105/min and regular. The apical impulse is hyperdynamic. Cardiac auscultation reveals a diminished S1 and an apical holosystolic murmur radiating to the axilla. Diffuse pulmonary crackles are heard bilaterally. There is no peripheral edema. ECG shows sinus tachycardia but is otherwise unremarkable. Which of the following would most likely increase the ratio of forward flow volume to regurgitant flow volume in this patient?
A)Decreasing heart rate
B)Decreasing systemic vascular resistance
C)Decreasing venous return to the left ventricle
D)Increasing left ventricular contractility
E)Increasing venous return to the left ventricle
A)Decreasing heart rate
B)Decreasing systemic vascular resistance
C)Decreasing venous return to the left ventricle
D)Increasing left ventricular contractility
E)Increasing venous return to the left ventricle
Unlock Deck
Unlock for access to all 464 flashcards in this deck.
Unlock Deck
k this deck
69
A 42-year-old man comes to the emergency department due to acute-onset shortness of breath. He has no medical conditions and does not use alcohol, tobacco, or illicit drugs. The patient works as a box handler at a warehouse and has excellent exercise tolerance. Family history is insignificant. Blood pressure is 98/60 mm Hg and pulse is 112/min and regular. A short systolic murmur is heard at the apex. Bilateral crackles are present on lung auscultation. Bedside echocardiography reveals a flail posterior mitral leaflet due to chordal rupture and severe mitral regurgitation. Which of the following best reflects this patient's left ventricular hemodynamics compared to the normal heart?
A)Afterload decrease, preload decrease, ejection fraction decrease
B)Afterload decrease, preload increase, ejection fraction increase
C)Afterload increase, preload decrease, ejection fraction decrease
D)Afterload increase, preload decrease, ejection fraction increase
E)Afterload increase, preload increase, ejection fraction increase
A)Afterload decrease, preload decrease, ejection fraction decrease
B)Afterload decrease, preload increase, ejection fraction increase
C)Afterload increase, preload decrease, ejection fraction decrease
D)Afterload increase, preload decrease, ejection fraction increase
E)Afterload increase, preload increase, ejection fraction increase
Unlock Deck
Unlock for access to all 464 flashcards in this deck.
Unlock Deck
k this deck
70
A 23-year-old woman comes to the office due to exertional dyspnea. She occasionally has a dry cough but has had no chest pain, palpitations, or syncope. The patient emigrated from Cambodia 3 years ago. She had bilateral knee swelling as a child. Cardiac auscultation findings over the cardiac apex are given below. Which of the following is the most likely cause of this patient's symptoms?
A)Ascending aortic aneurysm
B)Atrial septal defect
C)Bicuspid aortic valve
D)Mitral regurgitation
E)Mitral stenosis
A)Ascending aortic aneurysm
B)Atrial septal defect
C)Bicuspid aortic valve
D)Mitral regurgitation
E)Mitral stenosis
Unlock Deck
Unlock for access to all 464 flashcards in this deck.
Unlock Deck
k this deck
71
A 32-year-old woman comes to the office due to progressive exertional dyspnea and easy fatigability. She immigrated to the United States from India several years ago and reports a history of rheumatic fever during her childhood. Cardiac auscultation reveals a diastolic high-frequency sound and a rumbling diastolic murmur heard best in the left fifth intercostal space at the midclavicular line. Cardiac catheterization is performed for hemodynamic evaluation, and the results are represented below. Timing of the high-frequency sound heard during cardiac auscultation of this patient best corresponds to which of the following letters? 
A)A
B)B
C)C
D)D
E)E

A)A
B)B
C)C
D)D
E)E
Unlock Deck
Unlock for access to all 464 flashcards in this deck.
Unlock Deck
k this deck
72
A 25-year-old man with an insignificant medical history was playing soccer when he suddenly collapsed. Despite all attempts to save his life, he died. Autopsy is performed. Gross examination of the heart reveals a weight of 580 g (normal: <350). The cut surface of the heart is shown in the image.
If this patient had a preparticipation sports screening, cardiac auscultation would have likely revealed a murmur that increases in intensity after which of the following?
A)Passive leg raising
B)Phenylephrine infusion
C)Squatting
D)Sudden standing
E)Sustained hand grip
If this patient had a preparticipation sports screening, cardiac auscultation would have likely revealed a murmur that increases in intensity after which of the following?A)Passive leg raising
B)Phenylephrine infusion
C)Squatting
D)Sudden standing
E)Sustained hand grip
Unlock Deck
Unlock for access to all 464 flashcards in this deck.
Unlock Deck
k this deck
73
A 52-year-old man comes to the office with concerns about a "heart problem." Three years ago, the patient was told during a routine physical examination that he had a heart murmur. Currently, he has no specific complaints, but he mentions that he has become tired more easily in the past year. He has no chest pain or lower extremity swelling or significant medical history. The patient was healthy as a child and received all his childhood vaccinations. Blood pressure is 145/90 mm Hg and pulse is 80/min and regular. Physical examination reveals a holosystolic murmur best heard at the apex of the heart that radiates to the axilla. The lungs are clear on auscultation and abdominal examination is unremarkable. Which of the following is the best indicator of the severity of this patient's valve disease?
A)Presence of audible S3
B)Presence of audible S4
C)Presence of mid-systolic click
D)S2-to-opening snap time interval
E)Splitting of S2 accentuated by inspiration
A)Presence of audible S3
B)Presence of audible S4
C)Presence of mid-systolic click
D)S2-to-opening snap time interval
E)Splitting of S2 accentuated by inspiration
Unlock Deck
Unlock for access to all 464 flashcards in this deck.
Unlock Deck
k this deck
74
A 52-year-old woman comes to the office due to fatigue for the last 2 weeks. The patient was previously healthy, but over the past 3 months, she has had significant weight loss without changing her diet. She also reports increased sweating, hand tremor, and decreased sleep. Examination shows diffuse, nontender enlargement of the thyroid gland. The eyeballs are protuberant. The remainder of the examination is notable for 1+ pitting edema in the ankles. Which of the following parameters is most likely to be decreased in this patient?
A)Cardiac contractility
B)Myocardial oxygen consumption
C)Pulmonary artery pressure
D)Pulse pressure
E)Systemic vascular resistance
F)Systolic blood pressure
A)Cardiac contractility
B)Myocardial oxygen consumption
C)Pulmonary artery pressure
D)Pulse pressure
E)Systemic vascular resistance
F)Systolic blood pressure
Unlock Deck
Unlock for access to all 464 flashcards in this deck.
Unlock Deck
k this deck
75
A 63-year-old man comes to the emergency department due to progressive dyspnea and fatigue. Over the last week, he has not been able to lie flat due to difficulty breathing and has had to sleep in a sitting position. He had an anterior myocardial infarction 6 months ago and has not been compliant with his medication regimen since that time. Medical history is also significant for hypertension. The patient is an ex-smoker with a 30-pack-year history. He does not drink alcohol. His father died of a heart attack at age 60. Blood pressure is 170/100 mm Hg, and pulse is 100/min and regular. Oxygen saturation is 90% on room air. He is afebrile. Auscultation reveals crackles at the lung bases, an S3 gallop, and a II/VI holosystolic murmur over the apex. The patient is admitted to the hospital, and after treatment with diuretics and vasodilators his condition improves significantly. Three days later there are no appreciable gallops or murmurs on cardiac examination. Which of the following best explains the murmur heard at the time of the initial examination?
A)Heavily calcified mitral annulus
B)Increased flow velocity through the aortic valve
C)Ruptured chordae tendineae
D)Secondary mitral regurgitation
E)Thickened and deformed mitral valve cusps
A)Heavily calcified mitral annulus
B)Increased flow velocity through the aortic valve
C)Ruptured chordae tendineae
D)Secondary mitral regurgitation
E)Thickened and deformed mitral valve cusps
Unlock Deck
Unlock for access to all 464 flashcards in this deck.
Unlock Deck
k this deck
76
A 12-month-old boy is brought to the pediatrician by his parents for an upper respiratory infection. Temperature is 38.3 C (101 F), blood pressure is 92/45 mm Hg, pulse is 110/min, and respirations are 25/min. Physical examination shows erythema and swelling of the nasal mucosa and nasal discharge. Cardiac auscultation findings at the left sternal border are given below. Pulses are equal in all 4 extremities. The remainder of the examination is unremarkable. Which of the following is the most likely diagnosis?
A)Aortic coarctation
B)Ascending aortic aneurysm
C)Atrial septal defect
D)Mitral valve prolapse
E)Patent ductus arteriosus
A)Aortic coarctation
B)Ascending aortic aneurysm
C)Atrial septal defect
D)Mitral valve prolapse
E)Patent ductus arteriosus
Unlock Deck
Unlock for access to all 464 flashcards in this deck.
Unlock Deck
k this deck
77
A 66-year-old man with diabetes mellitus is brought to the hospital due to sudden-onset chest pain and nausea. Blood pressure is 70/60 mm Hg and pulse is 60/min. Lungs are clear on auscultation. ECG shows ST-segment elevation in leads II, III, and aVF. Chest x-ray is unremarkable. The patient is diagnosed with an inferior wall myocardial infarction. Emergent cardiac catheterization reveals complete occlusion of the proximal right coronary artery. He is persistently hypotensive in the cardiac catheterization laboratory. Which of the following hemodynamic findings is most likely to be observed in this patient?


Unlock Deck
Unlock for access to all 464 flashcards in this deck.
Unlock Deck
k this deck
78
A 62-year-old woman with no significant medical history is brought to the emergency department due to fatigue and substernal chest pain that began 6 hours ago. On arrival, ECG is consistent with ST-segment elevation myocardial infarction. Coronary angiography shows right-dominant coronary circulation and a thrombotic occlusion of the proximal right coronary artery, which supplies blood to the patient's right ventricle and the inferior and posterior portions of the left ventricle. A drug-eluting stent is placed, and she is discharged 2 days later without complication. After 6 weeks, the patient follows up in the clinic and undergoes echocardiography that shows left ventricular contractile dysfunction with normal right ventricular function. Which of the following characteristics of the right ventricle compared to the left ventricle best explains these echocardiography findings?
A)Higher resting oxygen extraction
B)Less dependence on collateral circulation
C)Less ischemic preconditioning
D)More active fibroblast proliferation
E)Perfusion during both systole and diastole
A)Higher resting oxygen extraction
B)Less dependence on collateral circulation
C)Less ischemic preconditioning
D)More active fibroblast proliferation
E)Perfusion during both systole and diastole
Unlock Deck
Unlock for access to all 464 flashcards in this deck.
Unlock Deck
k this deck
79
A 45-year-old woman who recently immigrated to the United States is hospitalized with exertional dyspnea and fatigue. She has no significant past medical history and takes no medications. The patient's blood pressure is 110/80 mm Hg and heart rate is 90/min and regular. After cardiopulmonary examination, the physician suspects mitral stenosis. Which of the following is the most useful measure for assessing the degree of mitral stenosis?
A)A2-to-opening snap time interval
B)Audible S3
C)Audible S4
D)Diastolic murmur intensity
E)Presystolic accentuation of the murmur
A)A2-to-opening snap time interval
B)Audible S3
C)Audible S4
D)Diastolic murmur intensity
E)Presystolic accentuation of the murmur
Unlock Deck
Unlock for access to all 464 flashcards in this deck.
Unlock Deck
k this deck
80
A 64-year-old woman who was discharged from the hospital 4 days ago comes to the emergency department due to chest tightness and severe shortness of breath. During evaluation, the patient becomes unresponsive and goes into cardiac arrest. Despite appropriate lifesaving measures, there is no return of spontaneous circulation and she is pronounced dead. Autopsy examination is performed, and the myocardial findings are shown in the image below.
Which of the following most likely predisposed this patient to the observed cardiac findings?
A)Coronary atherosclerosis
B)Prolonged alcohol consumption
C)Recent viral infection
D)Recurrent bacterial pharyngitis
E)Repeated blood transfusions
Which of the following most likely predisposed this patient to the observed cardiac findings?A)Coronary atherosclerosis
B)Prolonged alcohol consumption
C)Recent viral infection
D)Recurrent bacterial pharyngitis
E)Repeated blood transfusions
Unlock Deck
Unlock for access to all 464 flashcards in this deck.
Unlock Deck
k this deck

