Deck 7: Histology
Question
Question
Question
Question
Question
Question
Question
Question
Question
Question
Question
Question
Question
Question
Question
Question
Question
Question
Question
Question
Question
Question
Question
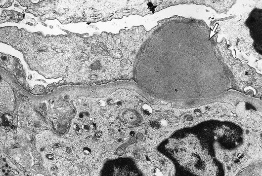
Question
Question
Question
Question
Question
Question
Question
Question
Question
Question
Question
Question
Question
Question
Question
Question
Question
Question
Question
Question
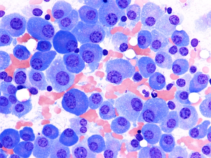
Question
Question
Question
Unlock Deck
Sign up to unlock the cards in this deck!
Unlock Deck
Unlock Deck
1/46
Play
Full screen (f)
Deck 7: Histology
1
A 44-year-old man comes to the office due to progressive shorten of breath with mild exertion and cough. He has had no chest pain, or leg swelling. The patient smokes 1-pack-daily. Temperature is 37.2 C (99 F), blood pressure is 115/75 mm Hg, pulse is 92/min, and respirations are 18/min. Oxygen saturation at rest is 88% on room air. Lung auscultation shows scattered crackles. other examination are normal. Chest x-ray reveals bilateral midalveolar and lower alveolar opacities. Transbronchial lung biopsy reveals lipoproteinaceous material that is positive on periodic acid-Schiff stain and fills up the terminal bronchioles and alveoli. Electron microscopy of the substance shows lamellar bodies. Impaired function of which of the following most likely caused excessive accumulation of the substance in this patient's alveoli?
A)Alveolar macrophages
B)Ciliated airway epithelium
C)Club cells
D)Fibroblasts
E)Type 1 pneumocytes
A)Alveolar macrophages
B)Ciliated airway epithelium
C)Club cells
D)Fibroblasts
E)Type 1 pneumocytes
Alveolar macrophages
2
A 30-year-old man comes to the physician for follow-up evaluation for episodic throbbing headaches, palpitations, and paroxysmal sweating. He was adopted shortly after birth and does not know his biological parents. Blood pressure is 160/90 mm Hg. He appears pale but physical examination is otherwise unremarkable. The patient is found to have a neoplastic mass producing excessive amounts of hormones that are causing her symptoms. Surgical resection of the abnormal tissue is performed with no operative complications. Microscopic examination of the tumor cells shows electron-dense, membrane-bound secretory granules. Immunohistochemistry is positive for synaptophysin, chromogranin, and neuron-specific enolase. The abnormal tissue most likely originated from which of the following?
A)Adrenal cortex
B)Adrenal medulla
C)Ovary
D)Parathyroid gland
E)Thyroid follicles
A)Adrenal cortex
B)Adrenal medulla
C)Ovary
D)Parathyroid gland
E)Thyroid follicles
Adrenal medulla
3
A 52-year-old man is brought to the emergency department by ambulance 40 minutes after a generalized tonic-clonic seizure. According to his son, who had called the ambulance, the patient has had headaches and mild nausea for the past 3 weeks. His father "has been acting really strange recently." The patient has no other history of serious illness. He does not smoke cigarettes, drink alcohol, or use illicit drugs. His only medication is a daily fish oil supplement. an intracranial mass detected on head CT scan. Biopsy of the mass reveals neoplastic cells that stain positive for synaptophysin and negative for glial fibrillary acidic protein. These neoplastic cells most likely originate from the same precursor tissue as which of the following?
A)Astrocytes
B)Oligodendroglia
C)Ependymal cells
D)Meningothelial cells
E)Neurons
A)Astrocytes
B)Oligodendroglia
C)Ependymal cells
D)Meningothelial cells
E)Neurons
Neurons
4
A 29-year-old African American woman is being evaluated for exertional dyspnea and dry cough. She has no significant medical history and takes no medications. The patient works part-time as a bird keeper at a zoo. She smokes 4 packs daily. CT-guided lung biopsy is performed; findings are shown in the image below.
This patient most likely has which of the following conditions?
A)Bronchopulmonary aspergillosis
B)Churg-Strauss syndrome
C)Desquamative interstitial pneumonia
D)Hodgkin lymphoma
E)Idiopathic pulmonary fibrosis
F)Progressive systemic sclerosis
G)Pulmonary alveolar proteinosis
H)Sarcoidosis
I)Small cell lung carcinoma
This patient most likely has which of the following conditions?A)Bronchopulmonary aspergillosis
B)Churg-Strauss syndrome
C)Desquamative interstitial pneumonia
D)Hodgkin lymphoma
E)Idiopathic pulmonary fibrosis
F)Progressive systemic sclerosis
G)Pulmonary alveolar proteinosis
H)Sarcoidosis
I)Small cell lung carcinoma
Unlock Deck
Unlock for access to all 46 flashcards in this deck.
Unlock Deck
k this deck
5
A 32-year-old hospitalized man is evaluated for new-onset shortness of breath and confusion. The patient was admitted for a displaced femoral neck fracture of the left hip acquired after a fall the day before. The surgery under general anesthesia with sevoflurane was uneventful. She appears cyanotic, drowsy, and is oriented only to person. Her temperature is 38.6°C (101.5°F), pulse is 135/minute, respirations are 36/min, and blood pressure is 155/95 mm Hg. Pulse oximetry on room air shows an oxygen saturation of 81%. There are several scattered petechiae on the anterior chest wall. An ECG shows sinus tachycardia. Which of the following histologic changes has most likely taken place in this patient's lung tissue?
A)Alveolar fluid rich in neutrophils
B)Fat microglobules in pulmonary arterioles
C)Prominent interstitial infiltration by mononuclear cells
D)Red thrombus lodged in the pulmonary artery
E)Scattered necrosis with alveolar hemorrhage
A)Alveolar fluid rich in neutrophils
B)Fat microglobules in pulmonary arterioles
C)Prominent interstitial infiltration by mononuclear cells
D)Red thrombus lodged in the pulmonary artery
E)Scattered necrosis with alveolar hemorrhage
Unlock Deck
Unlock for access to all 46 flashcards in this deck.
Unlock Deck
k this deck
6
An 18-year-old man is hospitalized due to trauma sustained during a motor vehicle collision. He subsequently develops worsening shortness of breath and confusion and dies despite appropriate management. Autopsy shows dilation of the bronchial tree, which extends almost to the pleural surface. Many of the small airways are filled with mucin plugs containing abundant inflammatory cells and debris. Which of the following is the most likely cause of this patient's autopsy findings?
A)Accumulation of proteinaceous material within the alveoli
B)Antigen-mediated aggregation of macrophages
C)Congenital deficiency of protease inhibitor
D)Impaired clearance of airway secretions
E)Increased pulmonary venous pressure
A)Accumulation of proteinaceous material within the alveoli
B)Antigen-mediated aggregation of macrophages
C)Congenital deficiency of protease inhibitor
D)Impaired clearance of airway secretions
E)Increased pulmonary venous pressure
Unlock Deck
Unlock for access to all 46 flashcards in this deck.
Unlock Deck
k this deck
7
The pancreas of a 22-year-old Caucasian male with recurrent pulmonary infections and finger clubbing shows extensive exocrine gland atrophy and fibrosis. The pancreatic ducts are lined with squamous epithelium with areas of keratinization. The finding of squamous metaplasia in the pancreatic ducts is most likely related to a deficiency of:
A)Riboflavin
B)Vitamin A
C)Vitamin D
D)Vitamin E
E)Vitamin K
F)Vitamin C
A)Riboflavin
B)Vitamin A
C)Vitamin D
D)Vitamin E
E)Vitamin K
F)Vitamin C
Unlock Deck
Unlock for access to all 46 flashcards in this deck.
Unlock Deck
k this deck
8
A 24-year-old woman comes to the office at 12 weeks gestation for prenatal counseling. She is 120 cm (3 ft 11 in) tall with short upper and lower extremities but normal torso length. Her husband is phenotypically normal and has no medical problems. The patient knows that there is a 50% chance of passing on her condition to the fetus. An abnormality involving which of the following cells is most likely responsible for this patient's features?
A)Chondrocytes
B)Hypothalamic neurosecretory cells
C)Osteoblasts
D)Osteoclasts
E)Pituitary somatotrophs
A)Chondrocytes
B)Hypothalamic neurosecretory cells
C)Osteoblasts
D)Osteoclasts
E)Pituitary somatotrophs
Unlock Deck
Unlock for access to all 46 flashcards in this deck.
Unlock Deck
k this deck
9
A 70-year-old man is brought to the emergency department due to left-sided weakness and slurred speech upon awakening 30 minutes ago. The patient was asymptomatic when he went to bed last night. Medical history includes type 2 diabetes mellitus, hypertension, and hyperlipidemia. He dies despite proper treatment. The brain autopsy reveals neurons with shrunken nuclei and eosinophilic cytoplasm lacking Nissl bodies. Which of the following is the most likely cause of these findings?
A)Accumulation of abnormal proteins
B)Age-related physiologic changes
C)Defective lysosomal autophagy
D)Irreversible ischemic injury
E)Transection injury of the nerve fiber
F)Transient neural compression
A)Accumulation of abnormal proteins
B)Age-related physiologic changes
C)Defective lysosomal autophagy
D)Irreversible ischemic injury
E)Transection injury of the nerve fiber
F)Transient neural compression
Unlock Deck
Unlock for access to all 46 flashcards in this deck.
Unlock Deck
k this deck
10
A 60-year-old man comes to the emergency department with right-side body weakness and slurred speech. His medical problems include type 2 diabetes mellitus, hypertension, and hyperlipidemia. He takes atorvastatin, metformin, lisinopril, and low-dose aspirin. The patient has smoked a pack of cigarettes daily for the past 40 years. His temperature is 36.7 C (98 F), blood pressure is 160/90 mm Hg, and pulse is 118/min. He is mildly dysarthric with a right lower facial droop and right-sided hemiparesis. Brain Imaging reveals an acute subcortical infarct in the left internal capsule. Which of the following is most likely to be seen in the affected brain area in the subsequent weeks?
A)Extracellular amyloid deposition
B)Fibroblast migration
C)Glial cell hyperplasia
D)Neuronal hypertrophy
E)Vascular hyalinization
A)Extracellular amyloid deposition
B)Fibroblast migration
C)Glial cell hyperplasia
D)Neuronal hypertrophy
E)Vascular hyalinization
Unlock Deck
Unlock for access to all 46 flashcards in this deck.
Unlock Deck
k this deck
11
A 65-year-old man presented to the office complaining of recurrent abdominal distension and diarrhea. He did notice weight changes or blood in the stool. The symptoms did not seem to be related to dairy products. Physical examination is unremarkable. The stool guiac test is positive. Upper endoscopy with biopsy shows hyperplasia of branched, tubular glands in the submucosa layer. The glands have alkaline secretions. Which of the following is the site of the biopsy?
A)Antrum of the stomach
B)First part of the duodenum
C)Fundus of the stomach
D)Mid-part of the jejunum
E)Terminal ileum
F)Transverse colon
A)Antrum of the stomach
B)First part of the duodenum
C)Fundus of the stomach
D)Mid-part of the jejunum
E)Terminal ileum
F)Transverse colon
Unlock Deck
Unlock for access to all 46 flashcards in this deck.
Unlock Deck
k this deck
12
A 58-year-old homeless man is brought to the emergency department after being found unresponsive on a sidewalk. The patient has been hospitalized on several occasions for alcohol and illicit drug intoxication. He also has a history of hypertension but is not adherent with medical therapy. On arrival, the patient is obtunded, febrile, and hypotensive. Despite appropriate intervention, the patient dies. Autopsy reveals extensive atherosclerotic disease involving the coronary and internal carotid arteries. Histopathologic examination of the brain shows neurons with intensely eosinophilic cytoplasm and nuclear fragmentation. Based on these findings, this patient's cerebral injury most likely occurred approximately how long ago?
A)Less than an hour
B)12-24 hours
C)1-2 weeks
D)2 months
E)2 years
A)Less than an hour
B)12-24 hours
C)1-2 weeks
D)2 months
E)2 years
Unlock Deck
Unlock for access to all 46 flashcards in this deck.
Unlock Deck
k this deck
13
A 58-year-old man comes to the physician because of headaches and back pain for 5 months. He also noted that his favorite hat no longer fits him. He has hypertension, hypothyroidism, and benign prostate hyperplasia. His father had prostate cancer and osteoporosis. Current medications include calcium supplementation, metoprolol, and L-thyroxine. He does not smoke or drink alcohol. Vital signs are within normal limits. On examination, there is enlargement of the anterior head. An x-ray of the skull shows a thickened calvaria and osteoblastic and osteolytic lesions. The initial phase of this patient's disorder involves increased activity of which of the following cell types?
A)Chondrocytes
B)Endothelial cells
C)Fibroblasts
D)Osteoblasts
E)Osteoclasts
A)Chondrocytes
B)Endothelial cells
C)Fibroblasts
D)Osteoblasts
E)Osteoclasts
Unlock Deck
Unlock for access to all 46 flashcards in this deck.
Unlock Deck
k this deck
14
A 23-year-old woman comes to the physician for a routine health maintenance examination. She feels well. Menses have occurred at regular 30-day intervals and last for 5 days with normal flow. She has a history of gonorrhea that was treated at 20 years of age. She has smoked one pack of cigarettes daily for 3 years. She drinks one glass of wine daily. Her only medication is an oral contraceptive. Vital signs are within normal limits. Physical examination including pelvic examination shows no abnormalities. A Pap smear shows high-grade cervical intraepithelial neoplasia. Which of the following is the most likely finding on histopathology?
A)Atypical glandular elements invading the basement membrane
B)Cells with nuclear atypia only in the basal epithelial layer
C)Expansion of immature basal cells to the epithelial surface
D)Nests of atypical cells in the subepithelial stroma
E)Suprabasilar cells with perinuclear vacuolization only
A)Atypical glandular elements invading the basement membrane
B)Cells with nuclear atypia only in the basal epithelial layer
C)Expansion of immature basal cells to the epithelial surface
D)Nests of atypical cells in the subepithelial stroma
E)Suprabasilar cells with perinuclear vacuolization only
Unlock Deck
Unlock for access to all 46 flashcards in this deck.
Unlock Deck
k this deck
15
A 72-year-old man with a history of myocardial infarction is being autopsied. Light microscopy of a section of the left ventricle reveals the following findings:
This patient most likely sustained the myocardial infarction during which of the following time frames prior to his death?
A)Less than 4 hours
B)1 to 3 days
C)7 to 10 days
D)2 weeks to 2 months
E)More than 2 months
This patient most likely sustained the myocardial infarction during which of the following time frames prior to his death?A)Less than 4 hours
B)1 to 3 days
C)7 to 10 days
D)2 weeks to 2 months
E)More than 2 months
Unlock Deck
Unlock for access to all 46 flashcards in this deck.
Unlock Deck
k this deck
16
A 17-year-old kid arrives at the clinic with a facial lesion. Several weeks ago, the patient discovered a little spot of rough skin on his lower lip, which has gradually expanded. He says he feels no discomfort or itching. The patient suffered from eczema as a youngster but has no other chronic medical issues. The vital indicators are within normal ranges. The presentation depicts the results of the physical examination.
There are no other skin rashes, oral lesions, or enlarged lymph nodes. Which of the following histopathological findings are most likely present in this patient's skin lesion?
A)Acantholysis and multinucleated giant epithelial cells
B)Epidermal hyperplasia and cytoplasmic vacuolization
C)Subcorneal bacterial collection and neutrophilic infiltration
D)Subepidermal linear complement deposits and separation
There are no other skin rashes, oral lesions, or enlarged lymph nodes. Which of the following histopathological findings are most likely present in this patient's skin lesion?A)Acantholysis and multinucleated giant epithelial cells
B)Epidermal hyperplasia and cytoplasmic vacuolization
C)Subcorneal bacterial collection and neutrophilic infiltration
D)Subepidermal linear complement deposits and separation
Unlock Deck
Unlock for access to all 46 flashcards in this deck.
Unlock Deck
k this deck
17
A researcher is looking at the elements that influence adrenal hormone production and release. A donor cadaver's intact adrenal gland is acquired, and a histologic slice across the complete gland is shown below. Cells are collected from a specific region of the gland, indicated by the arrow, for further examination.
These cells are most likely to be directly activated by which of the following substances?
A)Acetylcholine
B)ACTH
C)Angiotensin II
D)Epinephrine
E)Norepinephrine
These cells are most likely to be directly activated by which of the following substances?A)Acetylcholine
B)ACTH
C)Angiotensin II
D)Epinephrine
E)Norepinephrine
Unlock Deck
Unlock for access to all 46 flashcards in this deck.
Unlock Deck
k this deck
18
A 14-month-old kid is brought to the office because she has had diarrhea for the past two months. Her parents note that she gets 3-5 loose, nonbloody bowel motions per day, with some vomiting. She was solely breastfed until she was 9 months old and has since enjoyed a diversified diet that includes whole milk, fruits, vegetables, bread, and meats. However, the girl has been less interested in food in recent weeks. There is no history of travel or interaction with people who have comparable symptoms. The patient seems well on physical examination, but has dropped 1.1 kg (2.5 lb) in the previous two months. The display depicts the results of a duodenal biopsy after laboratory assessment.
Which of the following would most likely improve this patient's symptoms?
A)Acid reduction therapy
B)Anti-inflammatory medications
C)Antibiotic therapy
D)Enzyme supplementation
E)Modified dairy diet
F)Modified grain diet
Which of the following would most likely improve this patient's symptoms?A)Acid reduction therapy
B)Anti-inflammatory medications
C)Antibiotic therapy
D)Enzyme supplementation
E)Modified dairy diet
F)Modified grain diet
Unlock Deck
Unlock for access to all 46 flashcards in this deck.
Unlock Deck
k this deck
19
A 62-year-old man arrives at the office for a jaundice evaluation. Medical history is important in the case of uncontrolled type 2 diabetes and morbid obesity. He does not smoke, drink, or use illegal drugs. There is no history of liver illness in the family. The vital indicators are within normal ranges. The average BMI is 47 kg/m2. There is mild scleral icterus. Normal heart and lung sounds The abdomen is not painful or swollen. There is some bilateral lower extremities edema. Transaminases are shown to be increased in laboratory tests. A liver biopsy is performed, and trichrome staining reveals:
Which of the following cells is directly responsible for the histologic finding indicated by the arrow?
A)Cholangiocytes
B)Hepatocytes
C)Kupffer cells
D)Sinusoidal endothelial cells
E)Stellate (Ito) cells
Which of the following cells is directly responsible for the histologic finding indicated by the arrow?A)Cholangiocytes
B)Hepatocytes
C)Kupffer cells
D)Sinusoidal endothelial cells
E)Stellate (Ito) cells
Unlock Deck
Unlock for access to all 46 flashcards in this deck.
Unlock Deck
k this deck
20
A 3-year-old girl is brought to her pediatrician for a well child checkup. She has met all of the appropriate developmental milestones. Her height corresponds to the 60th percentile. Osteoblasts near the growth plates of her long bones secrete matrix material, and when they become trapped in the ossified matrix, they become known as osteocytes. These osteocytes remain connected to each other by:
A)Tight junctions
B)Hemidesmosomes
C)Intermediate junctions
D)Gap junctions
E)Desmosomes
A)Tight junctions
B)Hemidesmosomes
C)Intermediate junctions
D)Gap junctions
E)Desmosomes
Unlock Deck
Unlock for access to all 46 flashcards in this deck.
Unlock Deck
k this deck
21
A 20-year-old woman arrives at the office with blisters around her lips and a minor burning sensation. She reports regular recurrences of similar lesions, which disappear spontaneously within a few days. She has no medical issues and is not on any drugs. The results of the physical examination are depicted in the figure below.
The causal organism of this patient's disease is found to be dormant in the neuronal cell bodies of sensory ganglia. When the virus is reactivated, it travels to the skin through the nerve axon. Which of the following proteins is most likely involved in the disease recurrence transport process?
A)Dynein
B)Kinesin
C)Lamin
D)Selectin
E)Spectrin
F)Vimentin
The causal organism of this patient's disease is found to be dormant in the neuronal cell bodies of sensory ganglia. When the virus is reactivated, it travels to the skin through the nerve axon. Which of the following proteins is most likely involved in the disease recurrence transport process?A)Dynein
B)Kinesin
C)Lamin
D)Selectin
E)Spectrin
F)Vimentin
Unlock Deck
Unlock for access to all 46 flashcards in this deck.
Unlock Deck
k this deck
22
A 43-year-old man arrives to the office complaining of shortness of breath and exhaustion. His weariness has been so severe over the previous two weeks that he has "little energy, even to get out of bed." The patient has no chills but has recently gained weight and had ankle edema. He has no previous medical issues and does not use any drugs. The blood pressure is 168/94 mm Hg, and the pulse rate is 95 beats per minute. The patient has bilateral pitting edema of the lower extremities that is localized to the ankles. Urinalysis showed 2+ protein, 5-7 white blood cell count/hpf, and 75-100 red blood cell count/hpf. He had a kidney biopsy, and the results of immunofluorescent microscopy are displayed in the figure below.
Which of the following would be the most likely finding on light microscopy in this patient?
A)Amyloid deposition
B)Crescent formation
C)Diffuse capillary wall thickening
D)Nodular glomerulosclerosis
E)Normal glomeruli
Which of the following would be the most likely finding on light microscopy in this patient?A)Amyloid deposition
B)Crescent formation
C)Diffuse capillary wall thickening
D)Nodular glomerulosclerosis
E)Normal glomeruli
Unlock Deck
Unlock for access to all 46 flashcards in this deck.
Unlock Deck
k this deck
23
Due to severe face puffiness, an 8-year-old child is brought to the doctor. His mother adds that he has been easily exhausted and has had black urine for the previous 24 hours. The patient had a skin infection three weeks ago and has no chronic medical issues. The temperature is 36.1 degrees Celsius (97 degrees Fahrenheit), and the blood pressure is 140/94 mm Hg. Periorbital edema and moderate pitting edema around the ankles are seen on physical examination. The rest of the test reveals no abnormalities. The picture below depicts a representative kidney biopsy sample.
The fluorescent areas on the slide most likely indicate the presence of which of the following substances?
A)Albumin
B)C1q
C)C3
D)Fibrin
E)IgE
F)M protein
The fluorescent areas on the slide most likely indicate the presence of which of the following substances?A)Albumin
B)C1q
C)C3
D)Fibrin
E)IgE
F)M protein
Unlock Deck
Unlock for access to all 46 flashcards in this deck.
Unlock Deck
k this deck
24
A 9-year-old child is brought to the office after experiencing facial and ocular puffiness for two days. About three weeks ago, the patient had antibiotic treatment for a rash on her leg. The temperature is 37.2 degrees Celsius (99 degrees Fahrenheit), and the blood pressure is 150/90 mm Hg. There is widespread edema but no rash on physical examination. Proteinuria and hematuria are shown by urinalysis. The following electron microscope picture represents this patient's illness process:
The area marked by the white arrow most likely represents which of the following?
A)Albumin leakage
B)Eosinophil enzymes
C)Fibrin deposition
D)Hyaline accumulation
E)Immune complex deposits
F)Lipid droplet
G)Neutrophil enzymes
The area marked by the white arrow most likely represents which of the following?A)Albumin leakage
B)Eosinophil enzymes
C)Fibrin deposition
D)Hyaline accumulation
E)Immune complex deposits
F)Lipid droplet
G)Neutrophil enzymes
Unlock Deck
Unlock for access to all 46 flashcards in this deck.
Unlock Deck
k this deck
25
A scientist is studying the structure of the sarcomere using skeletal muscle from an experimental animal. He creates monoclonal antibodies against a specific skeletal muscle protein and discovers that these antibodies prevent actin from attaching to structural support components within the sarcomere. The picture below depicts electron microscopy of a sarcomere.
Which of the following labeled regions do these antibodies most likely bind?
A)A
B)B
C)C
D)D
E)E
F)F
Which of the following labeled regions do these antibodies most likely bind?A)A
B)B
C)C
D)D
E)E
F)F
Unlock Deck
Unlock for access to all 46 flashcards in this deck.
Unlock Deck
k this deck
26
A 6mm punch biopsy of normal appearing epidermis reveals stellar cells that contain intracytoplasmic granules having the shape of a tennis racquet. These cells demonstrate some myeloid surface markers and can interact closely with T lymphocytes. The cells described above are best referred to as which of the following?
A)Kupffer cells
B)Langerhans cells
C)Merkel cells
D)Melanocytes
E)Macrophages
F)Epithelioid cells
A)Kupffer cells
B)Langerhans cells
C)Merkel cells
D)Melanocytes
E)Macrophages
F)Epithelioid cells
Unlock Deck
Unlock for access to all 46 flashcards in this deck.
Unlock Deck
k this deck
27
A 24-year-old woman arrives at the clinic with a pruritic rash on her arms and legs that has been present on and off for the majority of her life. As seen in the exhibit, erythematous patches and papules are found on the posterior left leg.
A similar rash is present on the right leg and bilateral antecubital fossae. Which of the following cytokines primarily initiated her current exacerbation?
A)IL-4 and IL-13
B)IL-8 and C3b
C)IL-12 and IFN-gamma
D)IL-17 and IL-23
E)TNF-alpha and IL-1
A similar rash is present on the right leg and bilateral antecubital fossae. Which of the following cytokines primarily initiated her current exacerbation?A)IL-4 and IL-13
B)IL-8 and C3b
C)IL-12 and IFN-gamma
D)IL-17 and IL-23
E)TNF-alpha and IL-1
Unlock Deck
Unlock for access to all 46 flashcards in this deck.
Unlock Deck
k this deck
28
A 43-year-old woman, gravida 3 para 3, comes to the office due to heavy and painful menstrual bleeding over the past 4 months. The patient's last menstrual period was 3 weeks ago. Menarche was at age 11, and menstrual periods last for 3-5 days and occur every 30 days. She is sexually active with her husband and does not have pain with intercourse. The patient had a bilateral tubal ligation 3 years ago after the birth of her last child. She takes no medications and has no allergies. BMI is 24 kg/m2. Vital signs are normal. On bimanual examination, the uterus is uniformly enlarged and tender. Urine beta-hCG is negative. Which of the following is the most likely cause of this patient's symptoms?
A)Benign myometrial smooth muscle cell proliferation
B)Blastocyst implantation in the fallopian tube
C)Endometrial glands and stroma within the myometrium
D)Localized overgrowth of endometrium into the uterine cavity
E)Unregulated endometrial proliferation with increased gland-to-stroma ratio
A)Benign myometrial smooth muscle cell proliferation
B)Blastocyst implantation in the fallopian tube
C)Endometrial glands and stroma within the myometrium
D)Localized overgrowth of endometrium into the uterine cavity
E)Unregulated endometrial proliferation with increased gland-to-stroma ratio
Unlock Deck
Unlock for access to all 46 flashcards in this deck.
Unlock Deck
k this deck
29
A 34-year-old woman comes to the office with bleeding from the right nipple. The patient has noticed blood staining her bra on several occasions over the past week but has no fever or breast pain. She has no chronic medical conditions and does not take any medications. Breast examination shows no palpable masses or skin changes. A thin, blood-tinged discharge can be expressed from the right nipple. There are no enlarged axillary lymph nodes. Which of the following is the most likely histopathologic finding in this patient's right breast?
A)Atypical cells infiltrating the nipple skin
B)Cysts lined by metaplastic apocrine cells
C)Epithelial cells lining fibrovascular cores
D)Necrotic adipocytes with inflammation
E)Stromal proliferation compressing the ducts to slits
A)Atypical cells infiltrating the nipple skin
B)Cysts lined by metaplastic apocrine cells
C)Epithelial cells lining fibrovascular cores
D)Necrotic adipocytes with inflammation
E)Stromal proliferation compressing the ducts to slits
Unlock Deck
Unlock for access to all 46 flashcards in this deck.
Unlock Deck
k this deck
30
A feverish eight-year-old boy is taken to the physician with a runny nose and lethargy. The pediatrician finds that the youngster has a viral infection and does not require any special treatment after evaluating him. The mother inquires as to why an antibiotic is not required, and the doctor explains the distinctions between bacterial and viral illnesses. The immune system is made up of both cellular and humoral components that can create an efficient response to a variety of viral and bacterial diseases. The picture below depicts a portion of a normal lymph node.
The structures indicated by the arrows are most likely to contain cells undergoing which of the following processes?
A)Isotype switching
B)Negative selection
C)Tolerance development
D)VDJ recombination
E)VJ recombination
The structures indicated by the arrows are most likely to contain cells undergoing which of the following processes?A)Isotype switching
B)Negative selection
C)Tolerance development
D)VDJ recombination
E)VJ recombination
Unlock Deck
Unlock for access to all 46 flashcards in this deck.
Unlock Deck
k this deck
31
A 22-year-old woman, gravida 2 para 1, at 39 weeks gestation comes to the labor and delivery unit with regular painful contractions. The patient's first pregnancy was uncomplicated and resulted in a full-term, spontaneous vaginal delivery 3 years ago, and her current pregnancy has been uncomplicated. She takes a prenatal vitamin daily and has no chronic medical conditions. In response to rising estrogen levels, the patient's myometrial cells increase the expression of genes that encode the oxytocin receptor and connexin 43. These molecular changes most likely result in increased formation of which of the following?
A)Adherens junctions
B)Desmosomes
C)Fenestrae
D)Gap junctions
E)Hemidesmosomes
F)Tight junctions
A)Adherens junctions
B)Desmosomes
C)Fenestrae
D)Gap junctions
E)Hemidesmosomes
F)Tight junctions
Unlock Deck
Unlock for access to all 46 flashcards in this deck.
Unlock Deck
k this deck
32
A 34-year-old electric company employee visits the doctor with a skin rash on his right leg. He hasn't tried any new meals or used any different detergents, soaps, or lotions. When pressed further, the patient recalls working on a repair project in an unmaintained, forested region. As a youngster, he experienced atopic dermatitis but no other severe ailments. On inspection, he seems uneasy and is continually clawing his leg. His lungs are both clean, and his heart sounds are normal. The findings of his right leg examination are shown in the figure below.
Which of the following cells is most responsible for causing the tissue damage seen in this patient?
A)Basophils
B)Eosinophils
C)Mast cells
D)Neutrophils
E)Plasma cells
F)T lymphocytes
Which of the following cells is most responsible for causing the tissue damage seen in this patient?A)Basophils
B)Eosinophils
C)Mast cells
D)Neutrophils
E)Plasma cells
F)T lymphocytes
Unlock Deck
Unlock for access to all 46 flashcards in this deck.
Unlock Deck
k this deck
33
A 35-year-old woman, gravida 1, para 0, at 12 weeks gestation comes to the office for evaluation of genital warts. She first noticed the warts last week and is concerned that it has persisted. The patient has occasional mild pruritus but no pain. She is currently sexually active with her boyfriend and engages in oral and vaginal intercourse. Examination shows several verrucous, skin-colored lesions over the labia majora. The patient asks whether the lesion could affect her future child. The virus involved in this patient's condition also has an affinity to infect which of the following structures?
A)Alveoli
B)False vocal cords
C)Paranasal sinuses
D)Trachea
E)True vocal cords
A)Alveoli
B)False vocal cords
C)Paranasal sinuses
D)Trachea
E)True vocal cords
Unlock Deck
Unlock for access to all 46 flashcards in this deck.
Unlock Deck
k this deck
34
After the patient recovers from his severe sickness, a 48-hour injection of Candida antigen into his skin showed no evidence of inflammation. The identical test on his mother results in 12 mm of skin induration in 48 hours. Which of the following cells is directly engaged in the mother's effector response?
A)B lymphocytes and CD4 T lymphocytes
B)B lymphocytes and CD8 T lymphocytes
C)CD4 T lymphocytes and fibroblasts
D)CD4 T lymphocytes and macrophages
E)CD8 T lymphocytes and eosinophils
A)B lymphocytes and CD4 T lymphocytes
B)B lymphocytes and CD8 T lymphocytes
C)CD4 T lymphocytes and fibroblasts
D)CD4 T lymphocytes and macrophages
E)CD8 T lymphocytes and eosinophils
Unlock Deck
Unlock for access to all 46 flashcards in this deck.
Unlock Deck
k this deck
35
In an experiment, laboratory animals are subjected to a toxic insult that specifically targets the protein kinesin. Which of the following is most likely to be absent from tissues on histological examination as a result?
A)Nissl substance in pyramidal neurons
B)Secretory vesicles in nerve terminals
C)T-tubules in skeletal muscle cells
D)Desmosomes in epithelial lining cells
E)Microvilli in intestinal epithelial cells
A)Nissl substance in pyramidal neurons
B)Secretory vesicles in nerve terminals
C)T-tubules in skeletal muscle cells
D)Desmosomes in epithelial lining cells
E)Microvilli in intestinal epithelial cells
Unlock Deck
Unlock for access to all 46 flashcards in this deck.
Unlock Deck
k this deck
36
A 68-year-old man with a history of Parkinson disease is hospitalized for pneumonia and sepsis. The patient is treated with intravenous (IV) fluids and antibiotics. He is also started on an infusion of IV dopamine for hemodynamic support. Although the manifestations of Parkinson disease are attributed to dopaminergic neuron degeneration in the substantia nigra, IV dopamine does not improve this patient's Parkinson symptoms. Which of the following cell structures accounts for this lack of responsiveness?
A)Desmosomes
B)Fenestrae
C)Gap junctions
D)Hemidesmosomes
E)Intermediate junctions
F)Tight junctions
A)Desmosomes
B)Fenestrae
C)Gap junctions
D)Hemidesmosomes
E)Intermediate junctions
F)Tight junctions
Unlock Deck
Unlock for access to all 46 flashcards in this deck.
Unlock Deck
k this deck
37
A 29-year-old woman, gravida 2 para 2, comes to the emergency department with severe abdominal pain in the left lower quadrant and vaginal bleeding. She is saturating a pad every 3-4 hours. Her last menstrual period was 7 weeks ago. Past surgical history is significant for 2 cesarean deliveries and permanent sterilization via a bilateral tubal ligation. A urine pregnancy test is positive, and an ultrasound shows a 2-cm mass in the left adnexa adjacent to the ovary and a thickened endometrial stripe. If a uterine curettage is performed, which of the following findings would be expected in this patient?
A)Atypical endometrial cells, disorganized glands, and multiple mitoses
B)Dilated, coiled endometrial glands and edematous stroma
C)Enlarged chorionic villi and avascular edematous stroma
D)Inflammatory infiltration of endometrial glands
E)Straight, short endometrial glands and compact stroma
A)Atypical endometrial cells, disorganized glands, and multiple mitoses
B)Dilated, coiled endometrial glands and edematous stroma
C)Enlarged chorionic villi and avascular edematous stroma
D)Inflammatory infiltration of endometrial glands
E)Straight, short endometrial glands and compact stroma
Unlock Deck
Unlock for access to all 46 flashcards in this deck.
Unlock Deck
k this deck
38
A 64-year-old man is brought to the emergency department due to worsening shortness of breath. The patient is able to speak in short sentences only and becomes hypoxemic with minimal exertion. His medical history includes hypertension and dyslipidemia. He smoked a pack of cigarettes a day for 40 years and worked for 25 years as a nickel miner. His father died of chronic respiratory failure. While in the emergency department, he rapidly develops respiratory failure and is intubated. Despite appropriate treatment, he dies several days later in the intensive care unit. Autopsy is performed, and examination of the bronchi reveals thickened bronchial walls, inflammatory infiltrates, mucous gland enlargement, and patchy squamous metaplasia of the bronchial mucosa. Which of the following factors was likely the greatest contributor to this patient's pathological findings?
A)Allergic
B)Behavioral
C)Genetic
D)Infectious
E)Neoplastic
F)Occupational
A)Allergic
B)Behavioral
C)Genetic
D)Infectious
E)Neoplastic
F)Occupational
Unlock Deck
Unlock for access to all 46 flashcards in this deck.
Unlock Deck
k this deck
39
A 4-month-old girl is brought to the clinic because she has been suffering from a rash on her cheeks for the previous two weeks. The rash has not spread, and the patient may be observed scratching her face often. There have been no changes in bath soaps or detergents, and there are no animals or plants in the house. Vaccinations are current. The patient is nursed exclusively, and her height and weight are in the 50th percentiles. Vital indicators are typical. The exhibit depicts a skin inspection.
The remainder of the examination is unremarkable. . Which of the following conditions is this patient at increased risk for developing?
A)Coronary artery aneurysm
B)Disabling arthritis
C)Food allergy
D)Proximal muscle weakness
E)Transient anemia
The remainder of the examination is unremarkable. . Which of the following conditions is this patient at increased risk for developing?A)Coronary artery aneurysm
B)Disabling arthritis
C)Food allergy
D)Proximal muscle weakness
E)Transient anemia
Unlock Deck
Unlock for access to all 46 flashcards in this deck.
Unlock Deck
k this deck
40
Physicians involved in regenerative medicine research conduct a series of animal experiments to determine pulmonary tissue regeneration capacity. During one of the experiments, lung alveoli are exposed to NO2 and massive necrosis of the epithelial lining ensues. Histologic examination of the injured tissues a month later shows partial recovery of the alveolar epithelial lining. This regenerated tissue is most likely derived from which of the following cell types?
A)Alveolar macrophages
B)Ciliated epithelium
C)Club cells
D)Goblet cells
E)Type I pneumocytes
F)Type II pneumocytes
A)Alveolar macrophages
B)Ciliated epithelium
C)Club cells
D)Goblet cells
E)Type I pneumocytes
F)Type II pneumocytes
Unlock Deck
Unlock for access to all 46 flashcards in this deck.
Unlock Deck
k this deck
41
Fourth-year medical students are recruited for a research study assessing their ability to interpret biopsy samples obtained during routine clinical practice. As part of the study, they are given samples of normal respiratory mucosa and asked to identify the cell types present after staining with hematoxylin and eosin. The students observe that the respiratory epithelium changes in composition as the airways continue distally from the trachea to the alveolar ducts. Which of the following features is last to disappear?
A)Cartilage
B)Cilia
C)Goblet cells
D)Mucous glands
E)Serous glands
A)Cartilage
B)Cilia
C)Goblet cells
D)Mucous glands
E)Serous glands
Unlock Deck
Unlock for access to all 46 flashcards in this deck.
Unlock Deck
k this deck
42
A 50-year-old lady visits the office to have a mole on her back evaluated. The mole has been there for some years, but her daughter is concerned that it has recently expanded in size. The patient has no significant medical issues, however he was sunburned frequently as a youngster. The picture below depicts a dermoscopic inspection of the lesion.
The lesion has multiple color variations, including dark brown, pink, red, and whitish areas. Excisional biopsy of the lesion is performed. The whitish areas (arrows) seen on histologic examination most likely represent which of the following underlying processes?
A)Intense inflammation
B)Melanocyte regression
C)Proliferating, neoplastic melanocytes
D)Proliferating, nonneoplastic melanocytes
E)Vessel ectasia
The lesion has multiple color variations, including dark brown, pink, red, and whitish areas. Excisional biopsy of the lesion is performed. The whitish areas (arrows) seen on histologic examination most likely represent which of the following underlying processes?A)Intense inflammation
B)Melanocyte regression
C)Proliferating, neoplastic melanocytes
D)Proliferating, nonneoplastic melanocytes
E)Vessel ectasia
Unlock Deck
Unlock for access to all 46 flashcards in this deck.
Unlock Deck
k this deck
43
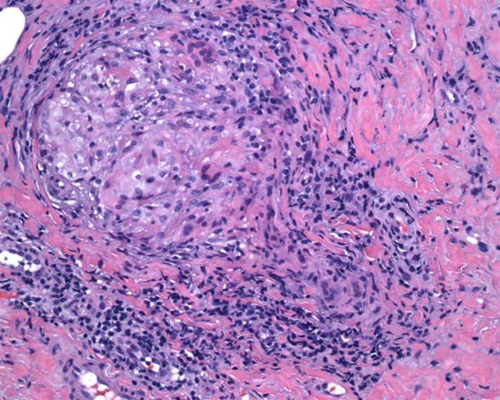
A 19-year-old man arrives to the office complaining of a painful subcutaneous forearm nodule. He had stitches done two weeks previously after suffering a cut on his left forearm while playing soccer. The lesion is biopsied, and the results are presented below:
Which of the following is most likely responsible for this patient's condition?
A)Excess granulation tissue formation
B)Malignant transformation
C)Normal wound remodeling
D)Persistent neutrophil activity
E)Reaction to a foreign body
Which of the following is most likely responsible for this patient's condition?A)Excess granulation tissue formation
B)Malignant transformation
C)Normal wound remodeling
D)Persistent neutrophil activity
E)Reaction to a foreign body
Unlock Deck
Unlock for access to all 46 flashcards in this deck.
Unlock Deck
k this deck
44
A 68-year-old woman arrives at the clinic after suffering from recurrent bacterial sinusitis, pneumonia, and urinary tract infections for several months. There are no preexisting medical issues or a history of serious illnesses in infancy for the patient. She does not smoke, drink, or use illegal drugs. The temperature is 36.6 C (97.9 F), the blood pressure is 130/76 mm Hg, and the pulse rate is 72 beats per minute. The lungs are clear to auscultation, the heart sounds are normal, and the belly is soft and nontender with no hepatosplenomegaly on physical examination. Laboratory results show normocytic normochromic anemia. As demonstrated here, a bone marrow aspirate has an increased number of cells.
Which of the following is the most likely cause of this patient's increased susceptibility to infections?
A)Aberrant lysosomal transport and fusion in leukocytes
B)Decreased production of functional immunoglobulins
C)Defective adhesion and transmigration of leukocytes
D)Impaired formation of membrane attack complex
E)Impaired phagocytic ability to generate superoxide
Which of the following is the most likely cause of this patient's increased susceptibility to infections?A)Aberrant lysosomal transport and fusion in leukocytes
B)Decreased production of functional immunoglobulins
C)Defective adhesion and transmigration of leukocytes
D)Impaired formation of membrane attack complex
E)Impaired phagocytic ability to generate superoxide
Unlock Deck
Unlock for access to all 46 flashcards in this deck.
Unlock Deck
k this deck
45
A 22-year-old woman arrives to the clinic after suffering from severe weariness for two weeks, which has prevented her from attending college classes. Fever and a sore throat preceded the weariness, but these have since subsided. The patient is a Turkish exchange student with no past medical issues. She does not smoke, drink, or use illegal drugs. The vital indicators are within normal ranges. There are no abnormalities found during an oropharyngeal examination. Bilaterally, there are numerous swollen lymph nodes posterior to the sternocleidomastoid muscle. The cardiopulmonary test is unremarkable. 1 cm below the left costal border, the spleen is palpable. There are no skin rashes or other signs of lymphadenopathy. As indicated in the display, peripheral blood examination reveals an increase in the number of aberrant white blood cells.
The observed cytoplasmic granules of these cells are most likely to contain which of the following substances?
A)Elastase
B)Immunoglobulins
C)Major basic protein
D)Perforin
E)Ribosomes
F)Viral capsid
The observed cytoplasmic granules of these cells are most likely to contain which of the following substances?A)Elastase
B)Immunoglobulins
C)Major basic protein
D)Perforin
E)Ribosomes
F)Viral capsid
Unlock Deck
Unlock for access to all 46 flashcards in this deck.
Unlock Deck
k this deck
46
An 8-year-old boy is evaluated in the office for walking difficulties. Running, jumping, and walking up stairs are all difficult for the patient. There is no family history of neurological disorders. A physical examination reveals bilateral weakness of lower extremity muscles. The image below shows electron microscopy of a calf muscle biopsy sample.
Which of the following labeled regions contains only thick filaments and no thin filaments?
A)A
B)B
C)C
D)D
E)E
Which of the following labeled regions contains only thick filaments and no thin filaments?A)A
B)B
C)C
D)D
E)E
Unlock Deck
Unlock for access to all 46 flashcards in this deck.
Unlock Deck
k this deck

