Deck 17: Radiologic Evaluation of the Hand and Wrist
Question
Question
Question
Question
Question
Question
Question
Question
Question
Question
Unlock Deck
Sign up to unlock the cards in this deck!
Unlock Deck
Unlock Deck
1/10
Play
Full screen (f)
Deck 17: Radiologic Evaluation of the Hand and Wrist
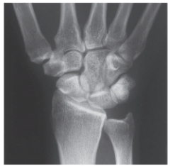
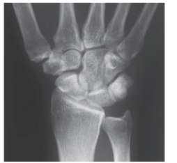
1

-Refer to the figure. Name the view.
A) Anteroposterior (AP) hand
B) AP wrist
C) Posteroanterior (PA) hand
D) PA wrist
PA wrist
2

-Refer to the figure. Assess the geography of the wrist. This patient has:
A) Negative ulnar variance
B) Positive ulnar variance
C) Neutral ulnar variance
Negative ulnar variance
3

-Carpal alignment is assessed by
A) Ulnar and radial deviation views
B) Clenched-fist functional view
C) Inscribing three arcs on PA view
D) Cineradiography
Inscribing three arcs on PA view
4

-Refer to the figure. Name the imaging modality and the plane.
A) MRI, coronal plane
B) MRI, sagittal plane
C) CT, coronal plane
D) CT, sagittal plane
Unlock Deck
Unlock for access to all 10 flashcards in this deck.
Unlock Deck
k this deck
5

-Refer to the figure. The arrow is pointing to a:
A) Tear of the triangular fibrocartilage complex
B) Fracture of the scaphoid
C) Avascular necrosis of the lunate
D) Fracture of the capitate
Unlock Deck
Unlock for access to all 10 flashcards in this deck.
Unlock Deck
k this deck
6

-Refer to the figure. The mechanism of injury that most likely produced the injury is:
A) Repetitive thumb abduction-adduction
B) A blow to the hand
C) Fall on an outstretched hand
D) Punching with a fisted hand
Unlock Deck
Unlock for access to all 10 flashcards in this deck.
Unlock Deck
k this deck
7

-Refer to the figure. Name the view.
A) Ulnar deviation
B) PA wrist
C) Radial deviation
D) Clenched fist
Unlock Deck
Unlock for access to all 10 flashcards in this deck.
Unlock Deck
k this deck
8

-Refer to the figure. The arrow indicates the capitate is moving into an interval between the scaphoid and the lunate. This sign is diagnostic for:
A) Dynamic instability
B) Tear of the triangular fibrocartilage complex
C) Avascular necrosis of the lunate
D) Fracture of the distal radius
Unlock Deck
Unlock for access to all 10 flashcards in this deck.
Unlock Deck
k this deck
9

-The eponym Colles' fracture refers to the commonly occurring fracture at the:
A) Proximal carpal row
B) Distal carpal row
C) Distal ulna
D) Distal radius
Unlock Deck
Unlock for access to all 10 flashcards in this deck.
Unlock Deck
k this deck
10

-The diagnosis of carpal tunnel syndrome is sometimes augmented by imaging. If a soft tissue mass or infection within the carpal tunnel is suspected, the patient will most likely be evaluated by:
A) Functional radiographs
B) Computed tomography
C) Magnetic resonance imaging
D) Bone scan
Unlock Deck
Unlock for access to all 10 flashcards in this deck.
Unlock Deck
k this deck

