Deck 39: Skeletal System
Question
Question
Question
Question
Question
Question
Question
Question
Question
Question
Question
Question
Question
Question
Question
Question
Question
Question
Question
Question
Unlock Deck
Sign up to unlock the cards in this deck!
Unlock Deck
Unlock Deck
1/20
Play
Full screen (f)
Deck 39: Skeletal System
1
Which of the following bones is used for the collection of red bone marrow in adults?
A) Pelvis
B) Sternum
C) Femur
D) a and b
E) b and c
A) Pelvis
B) Sternum
C) Femur
D) a and b
E) b and c
a and b
2
Infections of the _____________ in children and young adults can affect their height.
A) cartilage
B) periosteum
C) growth plate
D) bone marrow
A) cartilage
B) periosteum
C) growth plate
D) bone marrow
growth plate
3
An individual who steps on a nail and then develops osteomyelitis due to Staphylococcus aureus is described as having acquired the organism via
A) direct inoculation.
B) a sinus tract.
C) a contiguous source.
D) a hematogenous route.
A) direct inoculation.
B) a sinus tract.
C) a contiguous source.
D) a hematogenous route.
direct inoculation.
4
A 20-year-old intravenous drug user develops osteomyelitis of the elbow. In the emergency room, she confesses to licking the hypodermic needle to make it easier to insert into her skin. Which of the following organisms is most likely to be the cause of her osteomyelitis?
A) A member of the Enterobacteriaceae
B) A gram-positive cocci that is catalase positive and coagulase negative
C) An oxidase-positive, gram-negative rod that produces pyocyanin
D) An oxidase-positive, catalase-negative, gram-negative coccobacillus that pits the agar
A) A member of the Enterobacteriaceae
B) A gram-positive cocci that is catalase positive and coagulase negative
C) An oxidase-positive, gram-negative rod that produces pyocyanin
D) An oxidase-positive, catalase-negative, gram-negative coccobacillus that pits the agar
Unlock Deck
Unlock for access to all 20 flashcards in this deck.
Unlock Deck
k this deck
5
Which of the following individuals has the potential for disseminated disease resulting in septic arthritis?
A) 78-year-old female bitten multiple times on the hand by her cat
B) Sexually active 29-year-old male with urethritis
C) 62-year-old female who developed an infection after hip replacement
D) All of the above
A) 78-year-old female bitten multiple times on the hand by her cat
B) Sexually active 29-year-old male with urethritis
C) 62-year-old female who developed an infection after hip replacement
D) All of the above
Unlock Deck
Unlock for access to all 20 flashcards in this deck.
Unlock Deck
k this deck
6
Which of the following collection and transportation methods is most for culture of joint fluid?
A) blood culture broth.
B) an EDTA tube.
C) a sterile cup.
D) any of the above.
A) blood culture broth.
B) an EDTA tube.
C) a sterile cup.
D) any of the above.
Unlock Deck
Unlock for access to all 20 flashcards in this deck.
Unlock Deck
k this deck
7
The most sensitive specimen for the diagnosis of Brucella infection is
A) blood.
B) bone marrow.
C) cerebrospinal fluid.
D) all of the above.
A) blood.
B) bone marrow.
C) cerebrospinal fluid.
D) all of the above.
Unlock Deck
Unlock for access to all 20 flashcards in this deck.
Unlock Deck
k this deck
8
The diagnosis of osteomyelitis requires
A) fluid from the joint closest to the infection site.
B) bone biopsy.
C) discharge of the sinus tract.
D) b and c.
A) fluid from the joint closest to the infection site.
B) bone biopsy.
C) discharge of the sinus tract.
D) b and c.
Unlock Deck
Unlock for access to all 20 flashcards in this deck.
Unlock Deck
k this deck
9
A bone biopsy is received in the microbiology laboratory in a sterile cup with 10% formalin. You will
A) rinse the biopsy material with sterile distilled water prior to processing.
B) grind the piece of bone for processing.
C) reject the specimen.
D) a and b.
A) rinse the biopsy material with sterile distilled water prior to processing.
B) grind the piece of bone for processing.
C) reject the specimen.
D) a and b.
Unlock Deck
Unlock for access to all 20 flashcards in this deck.
Unlock Deck
k this deck
10
Which of the following media is most important when processing bone, joint fluid, and bone marrow?
A) Sheep blood agar
B) Chocolate agar
C) MacConkey agar
D) Thayer-Martin agar
A) Sheep blood agar
B) Chocolate agar
C) MacConkey agar
D) Thayer-Martin agar
Unlock Deck
Unlock for access to all 20 flashcards in this deck.
Unlock Deck
k this deck
11
The culture agar plates for the isolation of __________________ must be held a minimum of 30 days in humidified CO2.
A) Coccidioides immitis
B) Mycobacterium tuberculosis
C) Brucella spp.
D) Actinomyces spp.
A) Coccidioides immitis
B) Mycobacterium tuberculosis
C) Brucella spp.
D) Actinomyces spp.
Unlock Deck
Unlock for access to all 20 flashcards in this deck.
Unlock Deck
k this deck
12
A farmer has been losing weight and has developed a fever that seems to come and go over the last three months. On visiting his physician, samples are submitted to the
Laboratory. What types of specimens are appropriate for collection?
A) Bone biopsy and blood
B) Blood and bone marrow
C) Bone marrow and cerebrospinal fluid
D) Cerebrospinal fluid and bone biopsy
Laboratory. What types of specimens are appropriate for collection?
A) Bone biopsy and blood
B) Blood and bone marrow
C) Bone marrow and cerebrospinal fluid
D) Cerebrospinal fluid and bone biopsy
Unlock Deck
Unlock for access to all 20 flashcards in this deck.
Unlock Deck
k this deck
13
A 68-year-old female is hospitalized after a complete knee replacement. The joint becomes hot and red two days after surgery. An aspirate of the joint is sent to the laboratory. Which of the following organisms would be considered a significant isolate from this body site?
A) Catalase-positive, coagulase-negative, gram-positive cocci
B) Catalase-positive, coagulase-positive, gram-positive cocci
C) Catalase-positive, indole-positive, anaerobic, non-sporeforming, gram-positive rod
D) a and b
E) All of the above
A) Catalase-positive, coagulase-negative, gram-positive cocci
B) Catalase-positive, coagulase-positive, gram-positive cocci
C) Catalase-positive, indole-positive, anaerobic, non-sporeforming, gram-positive rod
D) a and b
E) All of the above
Unlock Deck
Unlock for access to all 20 flashcards in this deck.
Unlock Deck
k this deck
14
Which of the following fastidious oral organisms is associated with septic arthritis and osteomyelitis in children under the age of 2 with a recent history of an upper respiratory tract infection?
A) Kingella kingae
B) Eikenella corrodens
C) Capnocytophaga spp.
D) Haemophilus spp.
A) Kingella kingae
B) Eikenella corrodens
C) Capnocytophaga spp.
D) Haemophilus spp.
Unlock Deck
Unlock for access to all 20 flashcards in this deck.
Unlock Deck
k this deck
15
A sterile arthritis may occur after
A) a compound fracture.
B) replacement of a joint with a prosthetic device.
C) periodontal disease.
D) a tick bite.
A) a compound fracture.
B) replacement of a joint with a prosthetic device.
C) periodontal disease.
D) a tick bite.
Unlock Deck
Unlock for access to all 20 flashcards in this deck.
Unlock Deck
k this deck
16
A 17-year-old male develops septic arthritis in his left knee. His physician aspirates synovial fluid and sends it to the microbiology laboratory. A direct Gram stain of the fluid is demonstrated in the image provided.
Source: CDC/Joe Millar
Which of the following tests is necessary for definitive identification of this
Organism?
A) coagulase test.
B) streptococcal serotyping.
C) rapid carbohydrate fermentation test.
D) spot indole test.
Source: CDC/Joe MillarWhich of the following tests is necessary for definitive identification of this
Organism?
A) coagulase test.
B) streptococcal serotyping.
C) rapid carbohydrate fermentation test.
D) spot indole test.
Unlock Deck
Unlock for access to all 20 flashcards in this deck.
Unlock Deck
k this deck
17
A 28-year-old male received a compound fracture of his right arm after a motorcycle accident. Three days after the arm has been set, purulent material is observed from under his bandages. An aerobic and anaerobic culture of the wound site is sent to the microbiology department. A direct Gram stain of the wound is demonstrated in the image provided.
Source: CDC and Don Stalons
If the organism proved to be catalase negative, you observed the colony on
A) sheep blood and reducible blood agars.
B) sheep blood only.
C) reducible blood agar only.
D) sheep blood and phenylethyl alcohol agars.
Source: CDC and Don StalonsIf the organism proved to be catalase negative, you observed the colony on
A) sheep blood and reducible blood agars.
B) sheep blood only.
C) reducible blood agar only.
D) sheep blood and phenylethyl alcohol agars.
Unlock Deck
Unlock for access to all 20 flashcards in this deck.
Unlock Deck
k this deck
18
A 7-year-old male hits his left leg shin on the metal edge of a stair step of his school bus. Two days after, his shin is swollen, hot, and red. His mom notices a trickle of pus from an opening. A visit to his pediatrician involves an x-ray of the injured site. It shows a lesion on his left tibia. If the responsible organism possesses protein A and can produce clumping factor, it should be screened for resistance to
A) high level aminoglycosides.
B) cefoxitin.
C) quinupristin-dalfopristin.
D) meropenem.
A) high level aminoglycosides.
B) cefoxitin.
C) quinupristin-dalfopristin.
D) meropenem.
Unlock Deck
Unlock for access to all 20 flashcards in this deck.
Unlock Deck
k this deck
19
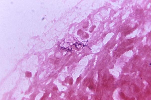
A 28-year-old male has had his wisdom teeth removed. Two weeks after the procedure, he develops swelling along the right jaw line in the area where his wisdom teeth were removed. His physician aspirates a pocket of pus within the jaw. The direct Gram stain of the aspirate is demonstrated in the image provided.
Source: CDC
This organism is known for the production of
A) double beta hemolysis.
B) dental caries.
C) a Medusa head colony.
D) sulfur granules.
Source: CDCThis organism is known for the production of
A) double beta hemolysis.
B) dental caries.
C) a Medusa head colony.
D) sulfur granules.
Unlock Deck
Unlock for access to all 20 flashcards in this deck.
Unlock Deck
k this deck
20
A child with sickle cell anemia is prone to osteomyelitis caused by
A) Mycobacterium tuberculosis.
B) Salmonella spp.
C) Candida albicans.
D) Aspergillus spp.
A) Mycobacterium tuberculosis.
B) Salmonella spp.
C) Candida albicans.
D) Aspergillus spp.
Unlock Deck
Unlock for access to all 20 flashcards in this deck.
Unlock Deck
k this deck

