Solved

A 24-Year-Old Man Is Evaluated for Episodic Anemia, Jaundice, and Dark

Question 120

Multiple Choice

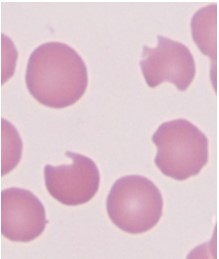
A 24-year-old man is evaluated for episodic anemia, jaundice, and dark urine.  These episodes typically occur after the use of certain drugs or following infection.  Additional history reveals that he has a brother who experiences similar episodes.  Peripheral blood smear reveals red blood cells with the findings shown below. A 24-year-old man is evaluated for episodic anemia, jaundice, and dark urine.  These episodes typically occur after the use of certain drugs or following infection.  Additional history reveals that he has a brother who experiences similar episodes.  Peripheral blood smear reveals red blood cells with the findings shown below.   Deficiency of which of the following enzymes would most likely result in a condition similar to this patient's presentation? A) Bisphosphoglycerate mutase B) Glutathione reductase C) Hexokinase D) Pyruvate kinase E) Transketolase Deficiency of which of the following enzymes would most likely result in a condition similar to this patient's presentation?


A) Bisphosphoglycerate mutase
B) Glutathione reductase
C) Hexokinase
D) Pyruvate kinase
E) Transketolase

Correct Answer:

verifed

Verified

Unlock this answer now
Get Access to more Verified Answers free of charge

Related Questions

Unlock this Answer For Free Now!

View this answer and more for free by performing one of the following actions

qr-code

Scan the QR code to install the App and get 2 free unlocks

upload documents

Unlock quizzes for free by uploading documents