Solved

A 58-Year-Old Man with a History of Chronic Liver Disease

Question 292

Multiple Choice

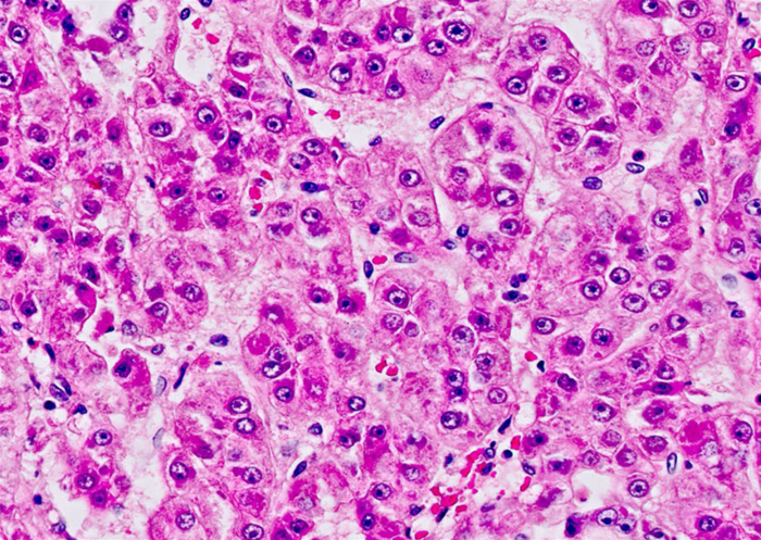
A 58-year-old man with a history of chronic liver disease secondary to hepatitis C infection comes to the office due to progressive fatigue and abdominal discomfort.  He has no other medical conditions, and a recent colonoscopy was normal.  Physical examination shows ascites and jaundice.  Ultrasonography of the abdomen reveals a solid mass within the liver parenchyma.  Surgical resection of the liver lesion is performed.  Microscopy reveals large cells with prominent nucleoli arranged in thickened plates as shown below. A 58-year-old man with a history of chronic liver disease secondary to hepatitis C infection comes to the office due to progressive fatigue and abdominal discomfort.  He has no other medical conditions, and a recent colonoscopy was normal.  Physical examination shows ascites and jaundice.  Ultrasonography of the abdomen reveals a solid mass within the liver parenchyma.  Surgical resection of the liver lesion is performed.  Microscopy reveals large cells with prominent nucleoli arranged in thickened plates as shown below.   Which of the following serum markers would be most useful for monitoring this patient for disease recurrence? A) 5-Hydroxyindoleacetic acid B) Alpha-fetoprotein C) CA 125 D) CA 19-9 E) Carcinoembryonic antigen F) Human chorionic gonadotropin Which of the following serum markers would be most useful for monitoring this patient for disease recurrence?


A) 5-Hydroxyindoleacetic acid
B) Alpha-fetoprotein
C) CA 125
D) CA 19-9
E) Carcinoembryonic antigen
F) Human chorionic gonadotropin

Correct Answer:

verifed

Verified

Unlock this answer now
Get Access to more Verified Answers free of charge

Related Questions

Unlock this Answer For Free Now!

View this answer and more for free by performing one of the following actions

qr-code

Scan the QR code to install the App and get 2 free unlocks

upload documents

Unlock quizzes for free by uploading documents