Solved

A 12-Year-Old Boy Is Brought to the Clinic Because of Facial

Question 739

Multiple Choice

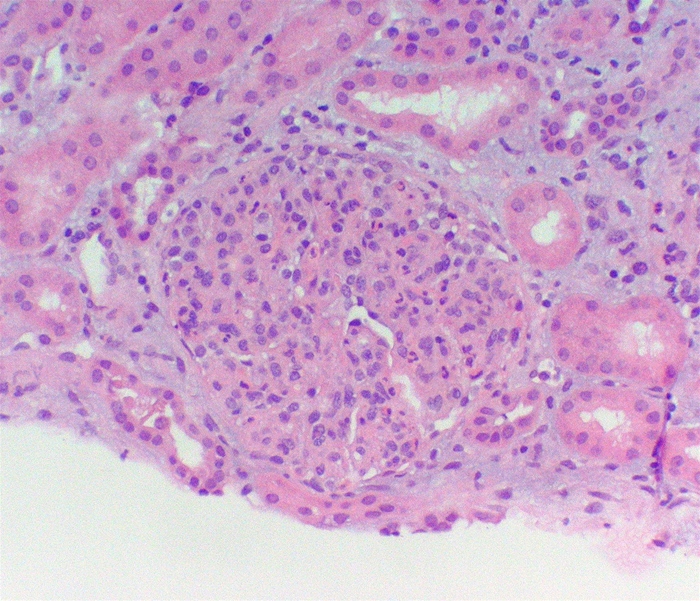
A 12-year-old boy is brought to the clinic because of facial puffiness.  Examination shows periorbital edema.  Urinalysis reveals: A 12-year-old boy is brought to the clinic because of facial puffiness.  Examination shows periorbital edema.  Urinalysis reveals:   A biopsy image representative of this patient's disease process is shown below.   Which of the following additional findings is most likely to be present in this patient? A) Antiglomerular basement membrane antibodies B) Antineutrophil cytoplasmic antibodies C) Decreased serum C3 level D) Decreased serum C4 level E) Increased eosinophil count A biopsy image representative of this patient's disease process is shown below. A 12-year-old boy is brought to the clinic because of facial puffiness.  Examination shows periorbital edema.  Urinalysis reveals:   A biopsy image representative of this patient's disease process is shown below.   Which of the following additional findings is most likely to be present in this patient? A) Antiglomerular basement membrane antibodies B) Antineutrophil cytoplasmic antibodies C) Decreased serum C3 level D) Decreased serum C4 level E) Increased eosinophil count Which of the following additional findings is most likely to be present in this patient?


A) Antiglomerular basement membrane antibodies
B) Antineutrophil cytoplasmic antibodies
C) Decreased serum C3 level
D) Decreased serum C4 level
E) Increased eosinophil count

Correct Answer:

verifed

Verified

Unlock this answer now
Get Access to more Verified Answers free of charge

Related Questions

Unlock this Answer For Free Now!

View this answer and more for free by performing one of the following actions

qr-code

Scan the QR code to install the App and get 2 free unlocks

upload documents

Unlock quizzes for free by uploading documents