Solved

A 65-Year-Old Woman Comes to the Office with Several Months

Question 1345

Multiple Choice

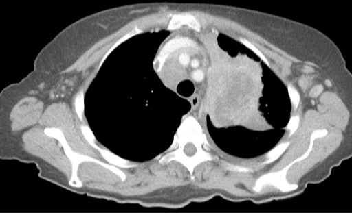
A 65-year-old woman comes to the office with several months of progressive cough and generalized weakness.  The patient has limited mobility and shortness of breath due to osteoarthritis and chronic obstructive pulmonary disease, respectively.  She also has difficulty standing from a chair, combing her hair, and putting dishes in overhead cabinets.  The patient's medical history includes hypertension and hyperlipidemia.  She quit smoking cigarettes 2 years ago but previously smoked 3 packs daily since age 20.  Blood pressure is 112/70 mm Hg, and pulse is 92/min.  BMI is 17 kg/m2.  Physical examination shows moderate weakness in the proximal muscles of her upper and lower limbs and loss of deep tendon reflexes.  CT scan of the chest is shown below. A 65-year-old woman comes to the office with several months of progressive cough and generalized weakness.  The patient has limited mobility and shortness of breath due to osteoarthritis and chronic obstructive pulmonary disease, respectively.  She also has difficulty standing from a chair, combing her hair, and putting dishes in overhead cabinets.  The patient's medical history includes hypertension and hyperlipidemia.  She quit smoking cigarettes 2 years ago but previously smoked 3 packs daily since age 20.  Blood pressure is 112/70 mm Hg, and pulse is 92/min.  BMI is 17 kg/m<sup>2</sup>.  Physical examination shows moderate weakness in the proximal muscles of her upper and lower limbs and loss of deep tendon reflexes.  CT scan of the chest is shown below.   Which of the following is the most likely cause of this patient's weakness? A) Acute inflammatory demyelinating polyneuropathy B) Autoantibodies against post-synaptic receptors C) Autoantibodies to voltage-gated calcium channels D) Immune-mediated muscle inflammation E) Multicentric central nervous system inflammation and demyelination F) Upper and lower motor neuron degeneration Which of the following is the most likely cause of this patient's weakness?


A) Acute inflammatory demyelinating polyneuropathy
B) Autoantibodies against post-synaptic receptors
C) Autoantibodies to voltage-gated calcium channels
D) Immune-mediated muscle inflammation
E) Multicentric central nervous system inflammation and demyelination
F) Upper and lower motor neuron degeneration

Correct Answer:

verifed

Verified

Unlock this answer now
Get Access to more Verified Answers free of charge

Related Questions

Unlock this Answer For Free Now!

View this answer and more for free by performing one of the following actions

qr-code

Scan the QR code to install the App and get 2 free unlocks

upload documents

Unlock quizzes for free by uploading documents