Solved

A 4-Week-Old Male Infant with Hypoplastic Left Heart Syndrome Has

Question 300

Multiple Choice

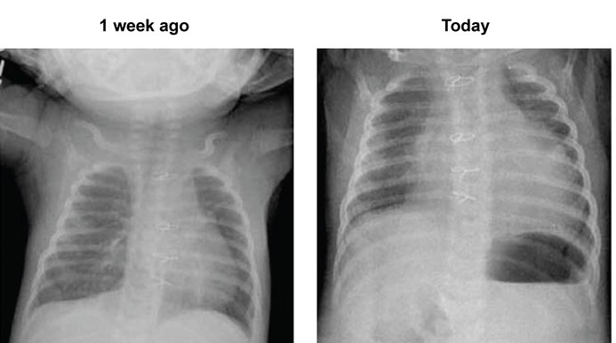
A 4-week-old male infant with hypoplastic left heart syndrome has had difficulty feeding and an episode of vomiting over the last 24 hours.  He was born at term via normal spontaneous vaginal delivery.  The patient underwent palliative heart surgery at age 1 week; the procedure involved cardiotomy and extensive intracardiac and aortic arch repair.  His postoperative course was uncomplicated, and he has remained in the hospital for weaning of oxygen and titration of cardiac medications.  Two additional palliative surgeries are planned.  Temperature is 38.3 C (101 F) , blood pressure is 80/40 mm Hg, pulse is 175/min, and respirations are 70/min.  Pulse oximetry is 80% on room air.  He is cyanotic and small for his age.  Cardiopulmonary examination is notable for distant heart sounds, tachycardia, and tachypnea.  Abdominal examination is normal.  Chest radiographs from a week ago and today are shown below. A 4-week-old male infant with hypoplastic left heart syndrome has had difficulty feeding and an episode of vomiting over the last 24 hours.  He was born at term via normal spontaneous vaginal delivery.  The patient underwent palliative heart surgery at age 1 week; the procedure involved cardiotomy and extensive intracardiac and aortic arch repair.  His postoperative course was uncomplicated, and he has remained in the hospital for weaning of oxygen and titration of cardiac medications.  Two additional palliative surgeries are planned.  Temperature is 38.3 C (101 F) , blood pressure is 80/40 mm Hg, pulse is 175/min, and respirations are 70/min.  Pulse oximetry is 80% on room air.  He is cyanotic and small for his age.  Cardiopulmonary examination is notable for distant heart sounds, tachycardia, and tachypnea.  Abdominal examination is normal.  Chest radiographs from a week ago and today are shown below.   Which of the following is the most likely cause of this patient's acute presentation? A) Congestive heart failure B) Endocarditis C) Mediastinitis D) Pericardial effusion E) Pulmonary embolism Which of the following is the most likely cause of this patient's acute presentation?


A) Congestive heart failure
B) Endocarditis
C) Mediastinitis
D) Pericardial effusion
E) Pulmonary embolism

Correct Answer:

verifed

Verified

Unlock this answer now
Get Access to more Verified Answers free of charge

Related Questions

Unlock this Answer For Free Now!

View this answer and more for free by performing one of the following actions

qr-code

Scan the QR code to install the App and get 2 free unlocks

upload documents

Unlock quizzes for free by uploading documents