Solved

A 10-Minute-Old Neonate Is Evaluated in the Delivery Room for Low

Question 658

Multiple Choice

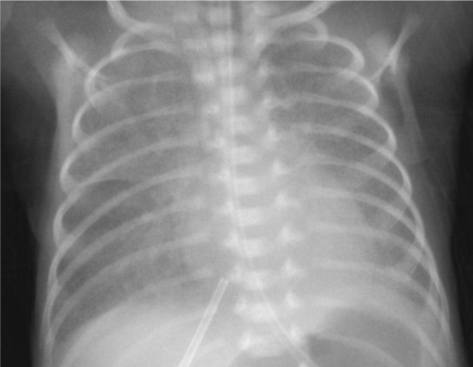
A 10-minute-old neonate is evaluated in the delivery room for low oxygen saturation and difficulty breathing.  The patient was born at 36 weeks gestation to a 37-year-old mother whose pregnancy was complicated by poorly controlled type 2 diabetes mellitus.  Membranes were ruptured 3 hours prior to delivery, and the fluid was clear.  Apgar scores were 5 and 7 at 1 and 5 minutes, respectively.  Temperature is 36.9 C (98.4 F) , pulse is 166/min, and respirations are 70/min.  Examination shows cyanosis of the lips and mucous membranes.  The patient is grunting and has intercostal and subcostal retractions.  Cardiac examination shows a 1/6 systolic ejection murmur at the left upper sternal border.  Breath sounds are decreased bilaterally.  The abdomen is soft with no organomegaly.  Pulses are 2+ in all extremities.  Pulse oximetry on room air is 64% in the right hand and foot.  An orogastric tube is placed, and the patient is started on continuous positive airway pressure with supplemental oxygen.  Pulse oximetry improves to 82%.  Chest radiograph is shown in the image below: A 10-minute-old neonate is evaluated in the delivery room for low oxygen saturation and difficulty breathing.  The patient was born at 36 weeks gestation to a 37-year-old mother whose pregnancy was complicated by poorly controlled type 2 diabetes mellitus.  Membranes were ruptured 3 hours prior to delivery, and the fluid was clear.  Apgar scores were 5 and 7 at 1 and 5 minutes, respectively.  Temperature is 36.9 C (98.4 F) , pulse is 166/min, and respirations are 70/min.  Examination shows cyanosis of the lips and mucous membranes.  The patient is grunting and has intercostal and subcostal retractions.  Cardiac examination shows a 1/6 systolic ejection murmur at the left upper sternal border.  Breath sounds are decreased bilaterally.  The abdomen is soft with no organomegaly.  Pulses are 2+ in all extremities.  Pulse oximetry on room air is 64% in the right hand and foot.  An orogastric tube is placed, and the patient is started on continuous positive airway pressure with supplemental oxygen.  Pulse oximetry improves to 82%.  Chest radiograph is shown in the image below:   Blood cultures are obtained, and intravenous antibiotics are started.  Which of the following is the most appropriate pharmacotherapy for this patient? A) Corticosteroids B) Indomethacin C) Nitric oxide D) Prostaglandin E) Surfactant Blood cultures are obtained, and intravenous antibiotics are started.  Which of the following is the most appropriate pharmacotherapy for this patient?


A) Corticosteroids
B) Indomethacin
C) Nitric oxide
D) Prostaglandin
E) Surfactant

Correct Answer:

verifed

Verified

Unlock this answer now
Get Access to more Verified Answers free of charge

Related Questions

Unlock this Answer For Free Now!

View this answer and more for free by performing one of the following actions

qr-code

Scan the QR code to install the App and get 2 free unlocks

upload documents

Unlock quizzes for free by uploading documents