Solved

A 15-Year-Old Boy Is Brought to the Office Due to Fever

Question 329

Multiple Choice

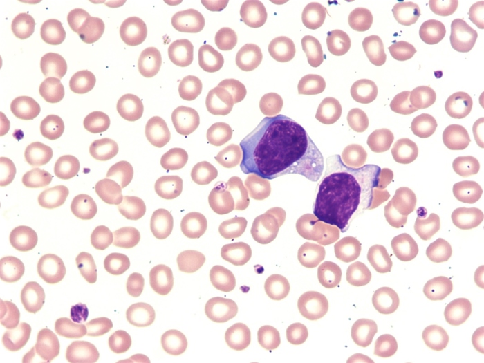
A 15-year-old boy is brought to the office due to fever.  He has had fever, chills, fatigue, and myalgias for the past 10 days.  He has lost some weight, which was attributed to poor appetite.  Three weeks ago, the patient and his family returned from a trip to the Dominican Republic; he has not traveled anywhere else.  There are no sick contacts at home.  The patient has no significant medical history and takes no medications.  Temperature is 38.3 C (101 F) , blood pressure is 110/60 mm Hg, and pulse is 108/min.  Physical examination shows a tired-looking boy in no acute distress.  The tympanic membranes are not erythematous; mucous membranes are moist; and tonsils are enlarged and erythematous with white exudate.  S1 and S2 are normal without murmurs.  The lungs are clear to auscultation bilaterally.  Lymphadenopathy is present in the anterior cervical, posterior cervical, axillary, and inguinal chains.  The abdomen is soft and nontender.  Laboratory results are as follows: A 15-year-old boy is brought to the office due to fever.  He has had fever, chills, fatigue, and myalgias for the past 10 days.  He has lost some weight, which was attributed to poor appetite.  Three weeks ago, the patient and his family returned from a trip to the Dominican Republic; he has not traveled anywhere else.  There are no sick contacts at home.  The patient has no significant medical history and takes no medications.  Temperature is 38.3 C (101 F) , blood pressure is 110/60 mm Hg, and pulse is 108/min.  Physical examination shows a tired-looking boy in no acute distress.  The tympanic membranes are not erythematous; mucous membranes are moist; and tonsils are enlarged and erythematous with white exudate.  S1 and S2 are normal without murmurs.  The lungs are clear to auscultation bilaterally.  Lymphadenopathy is present in the anterior cervical, posterior cervical, axillary, and inguinal chains.  The abdomen is soft and nontender.  Laboratory results are as follows:   The peripheral blood smear is shown in the image:   What is the most likely reason for these findings? A) Hematologic malignancy B) Lymphoproliferative malignancy C) Parasitic infection D) Systemic bacterial infection E) Systemic viral infection The peripheral blood smear is shown in the image:
A 15-year-old boy is brought to the office due to fever.  He has had fever, chills, fatigue, and myalgias for the past 10 days.  He has lost some weight, which was attributed to poor appetite.  Three weeks ago, the patient and his family returned from a trip to the Dominican Republic; he has not traveled anywhere else.  There are no sick contacts at home.  The patient has no significant medical history and takes no medications.  Temperature is 38.3 C (101 F) , blood pressure is 110/60 mm Hg, and pulse is 108/min.  Physical examination shows a tired-looking boy in no acute distress.  The tympanic membranes are not erythematous; mucous membranes are moist; and tonsils are enlarged and erythematous with white exudate.  S1 and S2 are normal without murmurs.  The lungs are clear to auscultation bilaterally.  Lymphadenopathy is present in the anterior cervical, posterior cervical, axillary, and inguinal chains.  The abdomen is soft and nontender.  Laboratory results are as follows:   The peripheral blood smear is shown in the image:   What is the most likely reason for these findings? A) Hematologic malignancy B) Lymphoproliferative malignancy C) Parasitic infection D) Systemic bacterial infection E) Systemic viral infection What is the most likely reason for these findings?


A) Hematologic malignancy
B) Lymphoproliferative malignancy
C) Parasitic infection
D) Systemic bacterial infection
E) Systemic viral infection

Correct Answer:

verifed

Verified

Unlock this answer now
Get Access to more Verified Answers free of charge

Related Questions

Unlock this Answer For Free Now!

View this answer and more for free by performing one of the following actions

qr-code

Scan the QR code to install the App and get 2 free unlocks

upload documents

Unlock quizzes for free by uploading documents