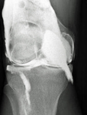
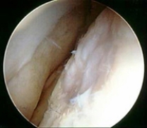
Which of the following imaging techniques illustrated in the pictures would be the most efficient to discover if there is a loose body within a joint?
A) 
B) 
C) 
D) 
E) 
Correct Answer:
Verified
Q11: In a neurologic examination that requires the
Q12: What is the main purpose of maintaining
Q13: Which of the following questions would be
Q14: Which of the following measurements would fall
Q15: Which of the following imaging techniques illustrated
Q17: Which of the following imaging techniques illustrated
Q18: Which of the following diagnostic tests would
Q19: Identify a true statement about contractile tissues.
A)
Q20: Which of the following is a function
Q21: Which of the following statements is true
Unlock this Answer For Free Now!
View this answer and more for free by performing one of the following actions
Scan the QR code to install the App and get 2 free unlocks
Unlock quizzes for free by uploading documents