Solved

Refer to the Figure Showing a Plant Periderm

Question 68

Multiple Choice

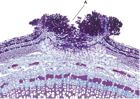
Refer to the figure showing a plant periderm. Refer to the figure showing a plant periderm.   The periderm, which is the outer layer of the secondary plant body, provides protection for interior tissues by keeping water in and pathogens out.What function is provided by structure A in the figure? A)  Location for mycorrhizal colonization B)  Uptake of water C)  Production of chemicals that deter herbivores D)  Gas exchange with the environment E)  Capture of wind-blown pollen The periderm, which is the outer layer of the secondary plant body, provides protection for interior tissues by keeping water in and pathogens out.What function is provided by structure A in the figure?


A) Location for mycorrhizal colonization
B) Uptake of water
C) Production of chemicals that deter herbivores
D) Gas exchange with the environment
E) Capture of wind-blown pollen

Correct Answer:

verifed

Verified

Unlock this answer now
Get Access to more Verified Answers free of charge

Related Questions

Unlock this Answer For Free Now!

View this answer and more for free by performing one of the following actions

qr-code

Scan the QR code to install the App and get 2 free unlocks

upload documents

Unlock quizzes for free by uploading documents