Solved

A 48-Year-Old Man Comes to the Physician with a 6-Month

Question 299

Multiple Choice

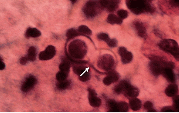
A 48-year-old man comes to the physician with a 6-month history of cough and fatigue.  He also has experienced malaise and weight loss.  He does not recall any sick contacts.  The patient is a carpenter.  He smokes 1 pack of cigarettes daily.  Temperature is 37.1 C (98.8 F) .  Examination shows left lower lobe crackles.  HIV testing is negative.  Chest x-ray reveals a pulmonary infiltrate in the lower lobe of the left lung.  Results from sputum potassium hydroxide preparation are shown below. A 48-year-old man comes to the physician with a 6-month history of cough and fatigue.  He also has experienced malaise and weight loss.  He does not recall any sick contacts.  The patient is a carpenter.  He smokes 1 pack of cigarettes daily.  Temperature is 37.1 C (98.8 F) .  Examination shows left lower lobe crackles.  HIV testing is negative.  Chest x-ray reveals a pulmonary infiltrate in the lower lobe of the left lung.  Results from sputum potassium hydroxide preparation are shown below.   Which of the following is the most likely cause of this patient's condition? A) Aspergillus fumigatus B) Blastomyces dermatitidis C) Candida albicans D) Coccidioides immitis E) Cryptococcus neoformans F) Histoplasma capsulatum G) Rhizopus species Which of the following is the most likely cause of this patient's condition?


A) Aspergillus fumigatus
B) Blastomyces dermatitidis
C) Candida albicans
D) Coccidioides immitis
E) Cryptococcus neoformans
F) Histoplasma capsulatum
G) Rhizopus species

Correct Answer:

verifed

Verified

Unlock this answer now
Get Access to more Verified Answers free of charge

Related Questions

Unlock this Answer For Free Now!

View this answer and more for free by performing one of the following actions

qr-code

Scan the QR code to install the App and get 2 free unlocks

upload documents

Unlock quizzes for free by uploading documents