Solved

A 38-Year-Old Man Dies Suddenly at His Workplace and Cannot

Question 83

Multiple Choice

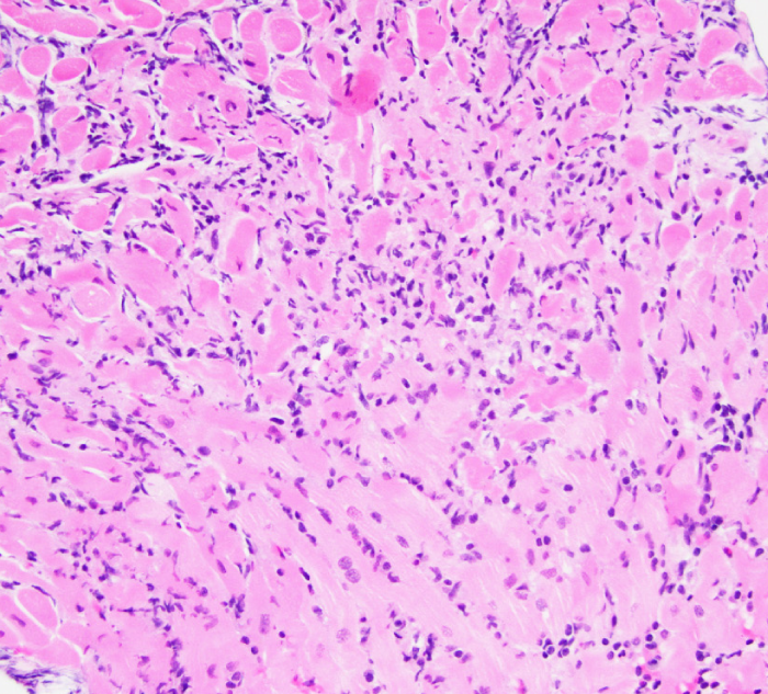
A 38-year-old man dies suddenly at his workplace and cannot be resuscitated.  He had experienced chest discomfort, shortness of breath, and fatigue in the week preceding the event.  The man was overweight but otherwise had no significant medical history.  He had no established primary care physician.  He did not use alcohol, tobacco, or illicit drugs.  Both parents are alive and healthy; a maternal uncle reportedly died of a heart attack at age 50.  Autopsy was performed and myocardial findings are shown in the slide below. A 38-year-old man dies suddenly at his workplace and cannot be resuscitated.  He had experienced chest discomfort, shortness of breath, and fatigue in the week preceding the event.  The man was overweight but otherwise had no significant medical history.  He had no established primary care physician.  He did not use alcohol, tobacco, or illicit drugs.  Both parents are alive and healthy; a maternal uncle reportedly died of a heart attack at age 50.  Autopsy was performed and myocardial findings are shown in the slide below.   Which of the following is the most likely diagnosis? A) Acute myocarditis B) Cardiac amyloidosis C) Congenital long QT syndrome D) Early-onset coronary artery disease E) Hypertrophic cardiomyopathy Which of the following is the most likely diagnosis?


A) Acute myocarditis
B) Cardiac amyloidosis
C) Congenital long QT syndrome
D) Early-onset coronary artery disease
E) Hypertrophic cardiomyopathy

Correct Answer:

verifed

Verified

Unlock this answer now
Get Access to more Verified Answers free of charge

Related Questions

Unlock this Answer For Free Now!

View this answer and more for free by performing one of the following actions

qr-code

Scan the QR code to install the App and get 2 free unlocks

upload documents

Unlock quizzes for free by uploading documents