Solved

A 63-Year-Old Man Comes to the Office Due to Several

Question 267

Multiple Choice

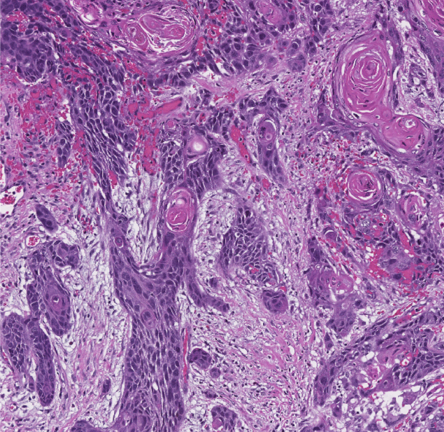
A 63-year-old man comes to the office due to several months of dysphagia, fatigue, occasional chest discomfort, and indigestion.  He has a history of hypertension and takes amlodipine.  The patient smokes 1 or 2 cigars daily.  His blood pressure is 140/80 mm Hg.  Physical examination is normal.  An endoscopic evaluation with esophageal biopsy is performed.  The histopathology of the specimen is shown in the image below. A 63-year-old man comes to the office due to several months of dysphagia, fatigue, occasional chest discomfort, and indigestion.  He has a history of hypertension and takes amlodipine.  The patient smokes 1 or 2 cigars daily.  His blood pressure is 140/80 mm Hg.  Physical examination is normal.  An endoscopic evaluation with esophageal biopsy is performed.  The histopathology of the specimen is shown in the image below.   Which of the following is the most likely cause of this patient's dysphagia? A) Benign tumor with slow growth B) Malignancy with probable poor prognosis C) Metaplasia with increased risk of adenocarcinoma D) Motor dysfunction with increased risk of carcinoma E) Reflux esophagitis with high risk of metaplasia Which of the following is the most likely cause of this patient's dysphagia?


A) Benign tumor with slow growth
B) Malignancy with probable poor prognosis
C) Metaplasia with increased risk of adenocarcinoma
D) Motor dysfunction with increased risk of carcinoma
E) Reflux esophagitis with high risk of metaplasia

Correct Answer:

verifed

Verified

Unlock this answer now
Get Access to more Verified Answers free of charge

Related Questions

Unlock this Answer For Free Now!

View this answer and more for free by performing one of the following actions

qr-code

Scan the QR code to install the App and get 2 free unlocks

upload documents

Unlock quizzes for free by uploading documents