Solved

A 28-Year-Old Previously Healthy Man Comes to the Office Due

Question 389

Multiple Choice

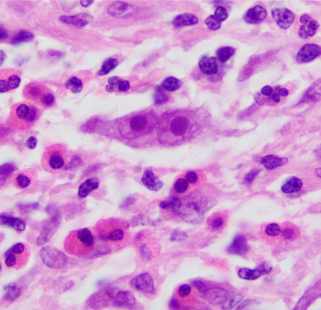
A 28-year-old previously healthy man comes to the office due to episodic fevers, night sweats, and weight loss for several months.  He emigrated from Kenya with his family at age 14.  He does not use tobacco, alcohol, or illicit drugs.  The patient works as a driving instructor and volunteers at a homeless shelter.  His temperature is 37.2 C (99 F) .  Physical examination is normal with the exception of cervical lymphadenopathy.  A lymph node biopsy is performed, and histopathologic findings are shown in the image below. A 28-year-old previously healthy man comes to the office due to episodic fevers, night sweats, and weight loss for several months.  He emigrated from Kenya with his family at age 14.  He does not use tobacco, alcohol, or illicit drugs.  The patient works as a driving instructor and volunteers at a homeless shelter.  His temperature is 37.2 C (99 F) .  Physical examination is normal with the exception of cervical lymphadenopathy.  A lymph node biopsy is performed, and histopathologic findings are shown in the image below.   Which of the following is the most likely diagnosis? A) Burkitt lymphoma B) Follicular lymphoma C) Hodgkin lymphoma D) Large B-cell lymphoma E) Multiple myeloma F) Tuberculosis Which of the following is the most likely diagnosis?


A) Burkitt lymphoma
B) Follicular lymphoma
C) Hodgkin lymphoma
D) Large B-cell lymphoma
E) Multiple myeloma
F) Tuberculosis

Correct Answer:

verifed

Verified

Unlock this answer now
Get Access to more Verified Answers free of charge

Related Questions

Unlock this Answer For Free Now!

View this answer and more for free by performing one of the following actions

qr-code

Scan the QR code to install the App and get 2 free unlocks

upload documents

Unlock quizzes for free by uploading documents