Solved

A 16-Year-Old Previously Healthy Boy Is Brought to the Office

Question 394

Multiple Choice

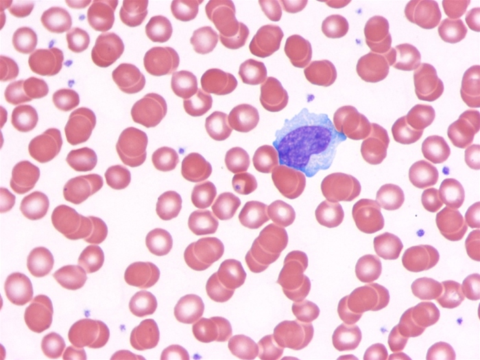
A 16-year-old previously healthy boy is brought to the office due to fever, malaise, and sore throat.  The patient says that he gets tired even by simply getting out of bed.  Physical examination shows palatal petechiae, cervical lymphadenopathy, and splenomegaly.  His peripheral blood smear is shown in the image below. A 16-year-old previously healthy boy is brought to the office due to fever, malaise, and sore throat.  The patient says that he gets tired even by simply getting out of bed.  Physical examination shows palatal petechiae, cervical lymphadenopathy, and splenomegaly.  His peripheral blood smear is shown in the image below.   Horse erythrocytes agglutinate when exposed to the patient's serum.  The agent causing this patient's disease is most strongly associated with which of the following malignancies? A) Acute myeloid leukemia B) Cervical carcinoma C) Hepatocellular carcinoma D) Kaposi sarcoma E) Mucosa-associated lymphoid tissue tumor F) Multiple myeloma G) Nasopharyngeal carcinoma Horse erythrocytes agglutinate when exposed to the patient's serum.  The agent causing this patient's disease is most strongly associated with which of the following malignancies?


A) Acute myeloid leukemia
B) Cervical carcinoma
C) Hepatocellular carcinoma
D) Kaposi sarcoma
E) Mucosa-associated lymphoid tissue tumor
F) Multiple myeloma
G) Nasopharyngeal carcinoma

Correct Answer:

verifed

Verified

Unlock this answer now
Get Access to more Verified Answers free of charge

Related Questions

Unlock this Answer For Free Now!

View this answer and more for free by performing one of the following actions

qr-code

Scan the QR code to install the App and get 2 free unlocks

upload documents

Unlock quizzes for free by uploading documents