Solved

A 65-Year-Old Man with a Long History of Smoking Comes

Question 632

Multiple Choice

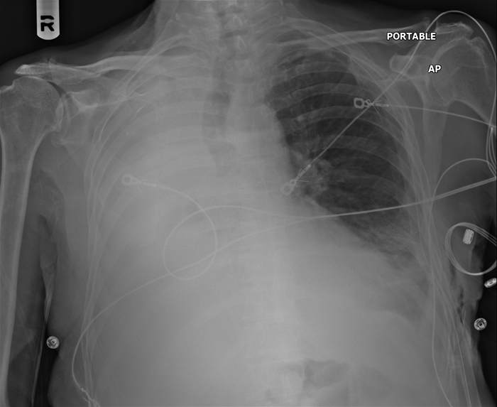
A 65-year-old man with a long history of smoking comes to the emergency department with shortness of breath and a chronic mild cough.  His symptoms progressed gradually over the last week and today have become suddenly worse.  The patient has hypertension that is controlled with hydrochlorothiazide.  On examination, his temperature is 36.7 C (98 F) , blood pressure is 135/85 mm Hg, pulse is 94/min, and respirations are 24/min.  Pulse oximetry shows 86% on room air.  He has decreased breath sounds over the right chest.  His chest x-ray is shown in the image below. A 65-year-old man with a long history of smoking comes to the emergency department with shortness of breath and a chronic mild cough.  His symptoms progressed gradually over the last week and today have become suddenly worse.  The patient has hypertension that is controlled with hydrochlorothiazide.  On examination, his temperature is 36.7 C (98 F) , blood pressure is 135/85 mm Hg, pulse is 94/min, and respirations are 24/min.  Pulse oximetry shows 86% on room air.  He has decreased breath sounds over the right chest.  His chest x-ray is shown in the image below.   Which of the following is the most likely cause of this patient's radiographic findings? A) Fluid in the alveolar spaces B) Interstitial lung disease C) Pleural space disease D) Pulmonary vascular disease E) Right mainstem bronchus obstruction Which of the following is the most likely cause of this patient's radiographic findings?


A) Fluid in the alveolar spaces
B) Interstitial lung disease
C) Pleural space disease
D) Pulmonary vascular disease
E) Right mainstem bronchus obstruction

Correct Answer:

verifed

Verified

Unlock this answer now
Get Access to more Verified Answers free of charge

Related Questions

Unlock this Answer For Free Now!

View this answer and more for free by performing one of the following actions

qr-code

Scan the QR code to install the App and get 2 free unlocks

upload documents

Unlock quizzes for free by uploading documents