Solved

A 64-Year-Old Man Is Evaluated for Worsening Cough and Shortness

Question 635

Multiple Choice

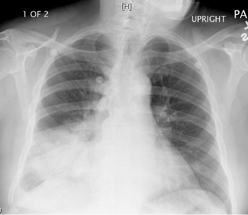
A 64-year-old man is evaluated for worsening cough and shortness of breath.  The patient has a history of hypertension and type 2 diabetes mellitus.  He smokes a pack of cigarettes daily and drinks alcohol occasionally.  Temperature is 38 C (100.4 F) , blood pressure is 140/82 mm Hg, and pulse is 92/min.  Lung auscultation reveals abnormal breath sounds.  Chest x-ray is shown below. A 64-year-old man is evaluated for worsening cough and shortness of breath.  The patient has a history of hypertension and type 2 diabetes mellitus.  He smokes a pack of cigarettes daily and drinks alcohol occasionally.  Temperature is 38 C (100.4 F) , blood pressure is 140/82 mm Hg, and pulse is 92/min.  Lung auscultation reveals abnormal breath sounds.  Chest x-ray is shown below.   Which of the following is the most likely cause of the observed pulmonary findings in this patient? A) Elevated pulmonary capillary hydrostatic pressure B) Exaggerated reactivity and inflammation of the airways C) Excessive fibroblast proliferation and extracellular matrix deposition D) Leakage of protein-rich fluid in the alveolar airspaces E) Mucous gland hyperplasia and inflammation in the large airways Which of the following is the most likely cause of the observed pulmonary findings in this patient?


A) Elevated pulmonary capillary hydrostatic pressure
B) Exaggerated reactivity and inflammation of the airways
C) Excessive fibroblast proliferation and extracellular matrix deposition
D) Leakage of protein-rich fluid in the alveolar airspaces
E) Mucous gland hyperplasia and inflammation in the large airways

Correct Answer:

verifed

Verified

Unlock this answer now
Get Access to more Verified Answers free of charge

Related Questions

Unlock this Answer For Free Now!

View this answer and more for free by performing one of the following actions

qr-code

Scan the QR code to install the App and get 2 free unlocks

upload documents

Unlock quizzes for free by uploading documents