Solved

A 3-Year-Old Boy Is Brought to the Clinic Due to Increased

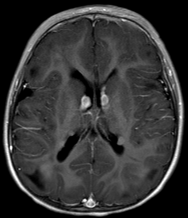
Question 159

Multiple Choice

A 3-year-old boy is brought to the clinic due to increased seizure frequency.  Over the past year, the patient has had recurrent tonic-clonic seizures that are poorly controlled despite multiple antiepileptic medications.  The seizures have become more frequent in the past month and now occur daily.  The patient has developmental delay and receives speech and physical therapy.  He was born at term without perinatal complications and has received all age-appropriate vaccinations.  Family history includes mild intellectual disability in his father.  Physical examination is notable for multiple 1- to 2-cm hypopigmented macules on the trunk and lower extremities.  MRI of the brain reveals subependymal nodules, as shown in the image below: A 3-year-old boy is brought to the clinic due to increased seizure frequency.  Over the past year, the patient has had recurrent tonic-clonic seizures that are poorly controlled despite multiple antiepileptic medications.  The seizures have become more frequent in the past month and now occur daily.  The patient has developmental delay and receives speech and physical therapy.  He was born at term without perinatal complications and has received all age-appropriate vaccinations.  Family history includes mild intellectual disability in his father.  Physical examination is notable for multiple 1- to 2-cm hypopigmented macules on the trunk and lower extremities.  MRI of the brain reveals subependymal nodules, as shown in the image below:   Which of the following is associated with the most likely underlying condition in this patient? A) Cardiac rhabdomyoma B) Optic nerve glioma C) Pheochromocytoma D) Vestibular schwannoma E) Wilms tumor (nephroblastoma) Which of the following is associated with the most likely underlying condition in this patient?


A) Cardiac rhabdomyoma
B) Optic nerve glioma
C) Pheochromocytoma
D) Vestibular schwannoma
E) Wilms tumor (nephroblastoma)

Correct Answer:

verifed

Verified

Unlock this answer now
Get Access to more Verified Answers free of charge

Related Questions

Unlock this Answer For Free Now!

View this answer and more for free by performing one of the following actions

qr-code

Scan the QR code to install the App and get 2 free unlocks

upload documents

Unlock quizzes for free by uploading documents