Solved

A 3-Year-Old Boy Is Brought to the Emergency Department Due

Question 164

Multiple Choice

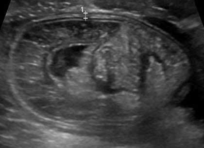
A 3-year-old boy is brought to the emergency department due to abdominal pain.  The pain began several hours ago and comes and goes.  During these episodes, he holds his belly, screams, and draws up his legs.  He has had nonbloody, nonbilious vomiting 3 times since the last painful episode.  Between the episodes, the patient has no pain and is playful.  His last bowel movement was yesterday and was normal.  Two weeks ago, he had gastroenteritis that resolved after 3 days.  He otherwise has no chronic medical conditions and takes no medications.  Temperature is 37.2 C (99 F) , blood pressure is 95/50 mm Hg, and pulse is 100/min.  Abdominal examination shows a soft abdomen that is tender with voluntary guarding to palpation at the right upper and lower quadrants.  Rectal examination reveals no fissures or hemorrhoids.  The remainder of the examination is normal.  Ultrasound of the abdomen is shown in the image below: A 3-year-old boy is brought to the emergency department due to abdominal pain.  The pain began several hours ago and comes and goes.  During these episodes, he holds his belly, screams, and draws up his legs.  He has had nonbloody, nonbilious vomiting 3 times since the last painful episode.  Between the episodes, the patient has no pain and is playful.  His last bowel movement was yesterday and was normal.  Two weeks ago, he had gastroenteritis that resolved after 3 days.  He otherwise has no chronic medical conditions and takes no medications.  Temperature is 37.2 C (99 F) , blood pressure is 95/50 mm Hg, and pulse is 100/min.  Abdominal examination shows a soft abdomen that is tender with voluntary guarding to palpation at the right upper and lower quadrants.  Rectal examination reveals no fissures or hemorrhoids.  The remainder of the examination is normal.  Ultrasound of the abdomen is shown in the image below:   Which of the following is the best next step in management of this patient? A) Air enema B) CT scan of the abdomen C) Exploratory laparotomy D) HIDA scan E) Technetium-99m pertechnetate scan Which of the following is the best next step in management of this patient?


A) Air enema
B) CT scan of the abdomen
C) Exploratory laparotomy
D) HIDA scan
E) Technetium-99m pertechnetate scan

Correct Answer:

verifed

Verified

Unlock this answer now
Get Access to more Verified Answers free of charge

Related Questions

Unlock this Answer For Free Now!

View this answer and more for free by performing one of the following actions

qr-code

Scan the QR code to install the App and get 2 free unlocks

upload documents

Unlock quizzes for free by uploading documents