Solved

A 5-Month-Old Full-Term Boy Is Brought to the Physician for Fever

Question 657

Multiple Choice

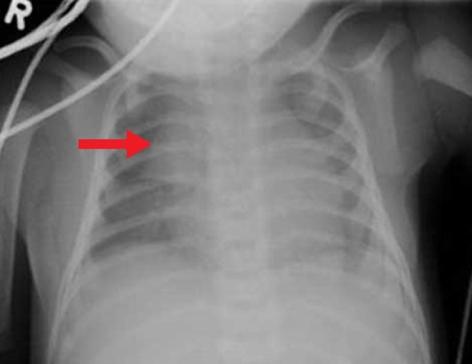
A 5-month-old full-term boy is brought to the physician for fever.  He was doing well until this morning, when he felt warm to his mother.  He has had a "runny nose" and intermittent coughing but otherwise has been breastfeeding well.  His 3-year-old brother had an upper respiratory tract infection last week.  The infant takes vitamin D, and his vaccinations are up to date.  His temperature is 38. 9 C (102 F) , blood pressure is 90/60 mm Hg, pulse is 120/min, and respirations are 32/min.  Pulse oximetry shows an oxygen saturation of 96%.  Examination shows crusted rhinorrhea at the nares.  The patient's chest radiograph is shown below. A 5-month-old full-term boy is brought to the physician for fever.  He was doing well until this morning, when he felt warm to his mother.  He has had a  runny nose  and intermittent coughing but otherwise has been breastfeeding well.  His 3-year-old brother had an upper respiratory tract infection last week.  The infant takes vitamin D, and his vaccinations are up to date.  His temperature is 38. 9 C (102 F) , blood pressure is 90/60 mm Hg, pulse is 120/min, and respirations are 32/min.  Pulse oximetry shows an oxygen saturation of 96%.  Examination shows crusted rhinorrhea at the nares.  The patient's chest radiograph is shown below.   Which of the following is marked on this patient's chest radiograph? A) Hilar lymphadenopathy B) Right atrium C) Right middle-lobe infiltrate D) Right upper-lobe atelectasis E) Right upper-lobe infiltrate F) Thymus Which of the following is marked on this patient's chest radiograph?


A) Hilar lymphadenopathy
B) Right atrium
C) Right middle-lobe infiltrate
D) Right upper-lobe atelectasis
E) Right upper-lobe infiltrate
F) Thymus

Correct Answer:

verifed

Verified

Unlock this answer now
Get Access to more Verified Answers free of charge

Related Questions

Unlock this Answer For Free Now!

View this answer and more for free by performing one of the following actions

qr-code

Scan the QR code to install the App and get 2 free unlocks

upload documents

Unlock quizzes for free by uploading documents