Solved

A 44-Year-Old Previously Healthy Woman Comes to the Office Due

Question 366

Multiple Choice

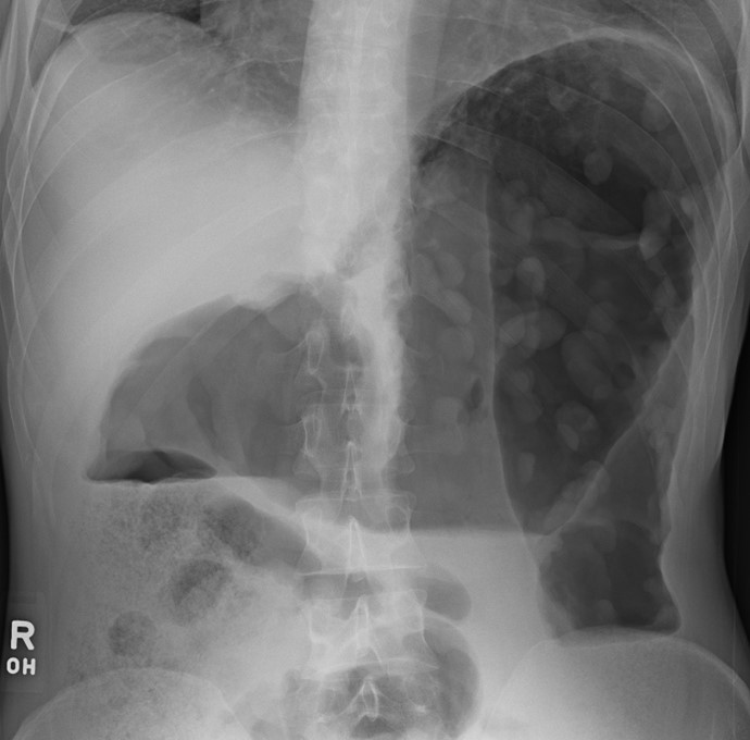
A 44-year-old previously healthy woman comes to the office due to 2 months of low-grade fever, abdominal pain, and intermittent bloody diarrhea.  Her pain has dramatically increased over the past 48 hours.  The patient takes no medications and has no allergies.  She has lost 4.5 kg (10 lb) over the past 8 weeks.  She has no recent travel history.  Temperature is 38.9 C (102 F) , blood pressure is 102/70 mm Hg, pulse is 118/min, and respirations are 22/min.  Examination shows pale and dry mucous membranes.  Abdominal examination reveals distension and diffuse tenderness.  Laboratory results are as follows: A 44-year-old previously healthy woman comes to the office due to 2 months of low-grade fever, abdominal pain, and intermittent bloody diarrhea.  Her pain has dramatically increased over the past 48 hours.  The patient takes no medications and has no allergies.  She has lost 4.5 kg (10 lb)  over the past 8 weeks.  She has no recent travel history.  Temperature is 38.9 C (102 F) , blood pressure is 102/70 mm Hg, pulse is 118/min, and respirations are 22/min.  Examination shows pale and dry mucous membranes.  Abdominal examination reveals distension and diffuse tenderness.  Laboratory results are as follows:   HIV test is negative.  X-ray of the abdomen is shown below:   Which of the following interventions is indicated at this time? A) Colonoscopy B) Intravenous ganciclovir C) Intravenous methylprednisolone D) Pain control with intravenous opioids HIV test is negative.  X-ray of the abdomen is shown below:
A 44-year-old previously healthy woman comes to the office due to 2 months of low-grade fever, abdominal pain, and intermittent bloody diarrhea.  Her pain has dramatically increased over the past 48 hours.  The patient takes no medications and has no allergies.  She has lost 4.5 kg (10 lb)  over the past 8 weeks.  She has no recent travel history.  Temperature is 38.9 C (102 F) , blood pressure is 102/70 mm Hg, pulse is 118/min, and respirations are 22/min.  Examination shows pale and dry mucous membranes.  Abdominal examination reveals distension and diffuse tenderness.  Laboratory results are as follows:   HIV test is negative.  X-ray of the abdomen is shown below:   Which of the following interventions is indicated at this time? A) Colonoscopy B) Intravenous ganciclovir C) Intravenous methylprednisolone D) Pain control with intravenous opioids Which of the following interventions is indicated at this time?


A) Colonoscopy
B) Intravenous ganciclovir
C) Intravenous methylprednisolone
D) Pain control with intravenous opioids

Correct Answer:

verifed

Verified

Unlock this answer now
Get Access to more Verified Answers free of charge

Related Questions

Unlock this Answer For Free Now!

View this answer and more for free by performing one of the following actions

qr-code

Scan the QR code to install the App and get 2 free unlocks

upload documents

Unlock quizzes for free by uploading documents