Solved

A 46-Year-Old Man Is Brought to the Emergency Department After

Question 374

Multiple Choice

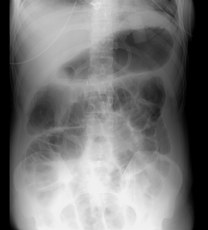
A 46-year-old man is brought to the emergency department after a fall during a downhill bicycle race.  The patient lost consciousness for approximately 1 minute and has severe back and abdominal pain.  He has no other medical conditions.  CT scan of the head reveals no intracranial bleeding; CT scan of the abdomen reveals a small retroperitoneal hemorrhage and splenic laceration.  Lumbar film suggests a compression wedge fracture of the L2 vertebral body, and a brace is placed.  The patient is conservatively managed with analgesics and supportive measures.  On hospital day 3, he has mild, diffuse abdominal pain and nausea.  His abdomen is distended, tympanic, and mildly tender without rebound or guarding.  Bowel sounds are absent.  Upright x-ray of the abdomen is shown in the image below: A 46-year-old man is brought to the emergency department after a fall during a downhill bicycle race.  The patient lost consciousness for approximately 1 minute and has severe back and abdominal pain.  He has no other medical conditions.  CT scan of the head reveals no intracranial bleeding; CT scan of the abdomen reveals a small retroperitoneal hemorrhage and splenic laceration.  Lumbar film suggests a compression wedge fracture of the L2 vertebral body, and a brace is placed.  The patient is conservatively managed with analgesics and supportive measures.  On hospital day 3, he has mild, diffuse abdominal pain and nausea.  His abdomen is distended, tympanic, and mildly tender without rebound or guarding.  Bowel sounds are absent.  Upright x-ray of the abdomen is shown in the image below:   Which of the following is the most likely diagnosis? A) Cecal volvulus B) Complete small bowel obstruction C) Gastric outlet obstruction D) Paralytic ileus E) Sigmoid volvulus F) Viscous perforation Which of the following is the most likely diagnosis?


A) Cecal volvulus
B) Complete small bowel obstruction
C) Gastric outlet obstruction
D) Paralytic ileus
E) Sigmoid volvulus
F) Viscous perforation

Correct Answer:

verifed

Verified

Unlock this answer now
Get Access to more Verified Answers free of charge

Related Questions

Unlock this Answer For Free Now!

View this answer and more for free by performing one of the following actions

qr-code

Scan the QR code to install the App and get 2 free unlocks

upload documents

Unlock quizzes for free by uploading documents