Services
Discover
Homeschooling
Ask a Question
Log in
Sign up
Filters
Done
Question type:
Essay
Multiple Choice
Short Answer
True False
Matching
Topic
Medicine
Study Set
Practical Radiology
Quiz 6: Chest
Path 4
Access For Free
Share
All types
Filters
Study Flashcards
Practice Exam
Learn
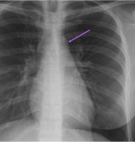
Question 1
Multiple Choice
In this AP projection the arrow indicates:
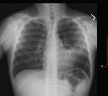
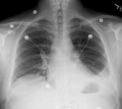
Question 2
Multiple Choice
This portable AP chest radiograph shows a patient with:
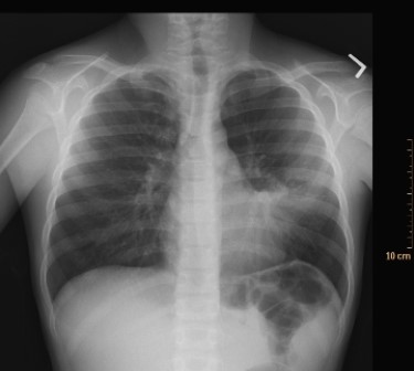
Question 3
Multiple Choice
What condition does the image depict?
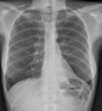
Question 4
Multiple Choice
This image includes a classic radiographic finding. What is the name of this radiologic sign, and what is the most likely disease?
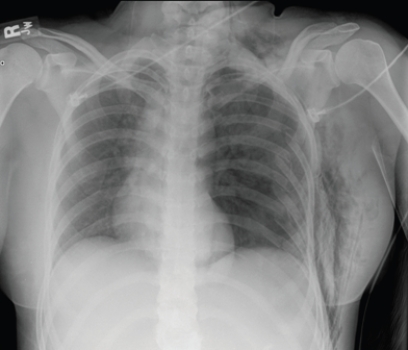
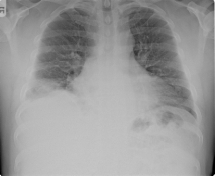
Question 5
Multiple Choice
This frontal radiograph suggests an increase in lung density associated with an apparent silhouette sign along the right border of the heart. However, after a lateral view was also examined, the radiologist concluded that the patient's lungs were normal. Why?
Question 6
Multiple Choice
Based on the image, what does this patient likely have?
Question 7
Multiple Choice
This patient is suffering from which symptoms?
Question 8
Multiple Choice
This image shows a child with:
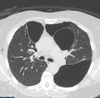
Question 9
Multiple Choice
The axial CT shown depicts that this patient has which disease?
Question 10
Multiple Choice
Based on the image, what treatment will the patient likely receive?
Question 11
Multiple Choice
The red arrows in this image highlight a finding that is associated with:
Question 12
Multiple Choice
The maximum transverse diameter of the heart in a PA view should be no more than what percentage of the transverse diameter of the inner margin of the rib cage at the level of the highest point of the diaphragm to be considered normal in size?