Services
Discover
Homeschooling
Ask a Question
Log in
Sign up
Filters
Done
Question type:
Essay
Multiple Choice
Short Answer
True False
Matching
Topic
Medicine
Study Set
Clinical Laboratory Microbiology
Quiz 33: Respiratory System
Path 4
Access For Free
Share
All types
Filters
Study Flashcards
Practice Exam
Learn
Question 1
Multiple Choice
The epiglottis acts as a
Question 2
Multiple Choice
Collectively, the nose, oral cavity, pharynx, epiglottis, and larynx make up the
Question 3
Multiple Choice
The cilia present on cells of the lower respiratory system function by:
Question 4
Multiple Choice
The most common causative agent of a swollen and painful oropharynx is
Question 5
Multiple Choice
Infections associated with cystic fibrosis are due to inflammation of the:
Question 6
Multiple Choice
A physician sends a nasal washing for viral culture. This specimen is
Question 7
Multiple Choice
A patient is unable to produce adequate sputum for routine, acid-fast, and fungal cultures. The physician may attempt to obtain a/an
Question 8
Multiple Choice
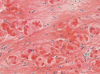
Review the image provided. The presence of this cell in an expectorated sputum indicates
Source: CDC and James Volk
Question 9
Multiple Choice
Two throat swabs are received from a 6-year-old female with orders for a rapid screen for group A Streptococcus. One swab is tested using the group A Streptococcus rapid screen, and it is negative. The second swab is used to inoculate