Solved

A 40-Year-Old Man Comes to the Office Due to Progressively

Question 1322

Multiple Choice

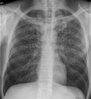
A 40-year-old man comes to the office due to progressively worsening shortness of breath and nonproductive cough over the last 3 weeks.  He also notes 2 months of fatigue, intermittent fever, and decreased appetite.  He has lost 6 kg (13.2 lb) during this period.  He has no other medical problems.  He has a history of intravenous drug use and a 20-pack-year smoking history.  The patient was released from a 2 year incarceration 6 months ago.  Temperature is 38.3 C (100.9 F) , blood pressure is 110/70 mm Hg, pulse is 90/min, and respirations are 18/min.  The patient is in no distress but has mild temporal wasting.  Crackles are present throughout the lung fields.  Heart sounds are normal.  There is mild hepatomegaly.  Chest x-ray is shown below. A 40-year-old man comes to the office due to progressively worsening shortness of breath and nonproductive cough over the last 3 weeks.  He also notes 2 months of fatigue, intermittent fever, and decreased appetite.  He has lost 6 kg (13.2 lb)  during this period.  He has no other medical problems.  He has a history of intravenous drug use and a 20-pack-year smoking history.  The patient was released from a 2 year incarceration 6 months ago.  Temperature is 38.3 C (100.9 F) , blood pressure is 110/70 mm Hg, pulse is 90/min, and respirations are 18/min.  The patient is in no distress but has mild temporal wasting.  Crackles are present throughout the lung fields.  Heart sounds are normal.  There is mild hepatomegaly.  Chest x-ray is shown below.   What is the most likely diagnosis? A) Hodgkin disease B) Lung metastasis C) Mycoplasma pneumonia D) Septic embolism E) Tuberculosis What is the most likely diagnosis?


A) Hodgkin disease
B) Lung metastasis
C) Mycoplasma pneumonia
D) Septic embolism
E) Tuberculosis

Correct Answer:

verifed

Verified

Unlock this answer now
Get Access to more Verified Answers free of charge

Related Questions

Unlock this Answer For Free Now!

View this answer and more for free by performing one of the following actions

qr-code

Scan the QR code to install the App and get 2 free unlocks

upload documents

Unlock quizzes for free by uploading documents