Solved

A 25-Year-Old Man Comes to the Emergency Department Due to 3

Question 1303

Multiple Choice

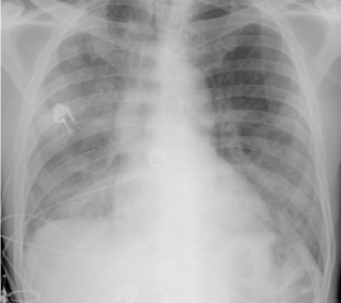
A 25-year-old man comes to the emergency department due to 3 weeks of progressive dyspnea on exertion, dry cough, fatigue, intermittent fever, and chills.  He was treated for genital herpes several years ago but otherwise has no significant medical history.  The patient does not use tobacco or illicit drugs but occasionally drinks alcohol.  He has been in a monogamous relationship for the past year and had multiple partners previously.  Temperature is 38.7 C (101.7 F) , blood pressure is 130/80 mm Hg, pulse is 90/min, and respirations are 28/min.  Pulse oximetry is 88% on room air.  Scattered white plaques are present on the oropharyngeal mucosa.  Lung auscultation reveals bilateral, diffuse crackles.  Chest x-ray is shown in the image below. A 25-year-old man comes to the emergency department due to 3 weeks of progressive dyspnea on exertion, dry cough, fatigue, intermittent fever, and chills.  He was treated for genital herpes several years ago but otherwise has no significant medical history.  The patient does not use tobacco or illicit drugs but occasionally drinks alcohol.  He has been in a monogamous relationship for the past year and had multiple partners previously.  Temperature is 38.7 C (101.7 F) , blood pressure is 130/80 mm Hg, pulse is 90/min, and respirations are 28/min.  Pulse oximetry is 88% on room air.  Scattered white plaques are present on the oropharyngeal mucosa.  Lung auscultation reveals bilateral, diffuse crackles.  Chest x-ray is shown in the image below.   Arterial blood gas shows a PaO<sub>2</sub> of 60 mm Hg and a PaCO<sub>2</sub> of 33 mm Hg.  Induced sputum microscopy shows few leukocytes and no predominant organism.  Which of the following is most likely to be effective for this patient's pulmonary condition? A) Ceftriaxone and azithromycin B) Isoniazid, rifampin, pyrazinamide, and ethambutol C) Liposomal amphotericin B D) Trimethoprim-sulfamethoxazole and prednisone E) Vancomycin and piperacillin-tazobactam Arterial blood gas shows a PaO2 of 60 mm Hg and a PaCO2 of 33 mm Hg.  Induced sputum microscopy shows few leukocytes and no predominant organism.  Which of the following is most likely to be effective for this patient's pulmonary condition?


A) Ceftriaxone and azithromycin
B) Isoniazid, rifampin, pyrazinamide, and ethambutol
C) Liposomal amphotericin B
D) Trimethoprim-sulfamethoxazole and prednisone
E) Vancomycin and piperacillin-tazobactam

Correct Answer:

verifed

Verified

Unlock this answer now
Get Access to more Verified Answers free of charge

Related Questions

Unlock this Answer For Free Now!

View this answer and more for free by performing one of the following actions

qr-code

Scan the QR code to install the App and get 2 free unlocks

upload documents

Unlock quizzes for free by uploading documents