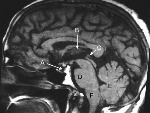
A 4-year-old child is brought to the clinic complaining of headaches that have developed over the last month and are most intense when lying down. He has also been experiencing nonbloody, nonbilious emesis for the past two weeks, which usually happens early in the morning. Furthermore, the youngster experiences periodic fuzzy vision, especially while gazing up at the mirror when brushing his teeth. Bilateral papilledema, difficulty to glance upwards, and bilateral eyelid retraction are all seen on physical examination. Sodium, growth hormone, luteinizing hormone (LH) , and follicle-stimulating hormone (FSH) testing is routine. Given the emesis and papilledema in the early morning, a brain tumor is suspected, and an MRI is requested. Which of the following is the most likely site of the patient's brain lesion? 
A) A
B) B
C) C
D) D
E) E
F) F
Correct Answer:
Verified
Q243: A 28-year-old man arrives at the emergency
Q244: A previously healthy 56-year-old man arrives at
Q245: A 16-year-old kid is sent to the
Q246: A 15-year-old girl is being assessed for
Q247: A right-handed 43-year-old woman is assessed in
Q249: A 55-year-old man arrives at the office
Q250: A 12-year-old child is being assessed for
Q251: A 32-year-old woman arrives at the clinic
Q252: A 6-year-old girl with cerebral palsy has
Q253: A 55-year-old right-handed man arrives at the
Unlock this Answer For Free Now!
View this answer and more for free by performing one of the following actions
Scan the QR code to install the App and get 2 free unlocks
Unlock quizzes for free by uploading documents