Solved

A 12-Year-Old Child Is Being Assessed for Severe Headaches That

Question 250

Multiple Choice

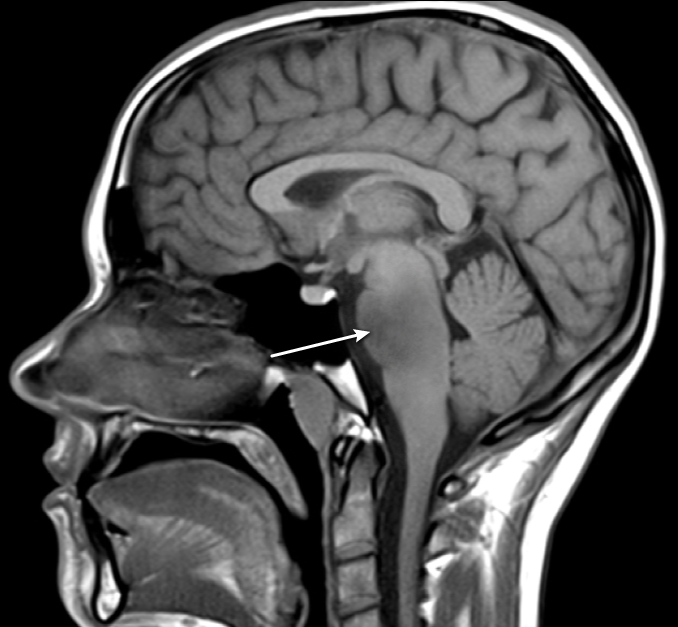
A 12-year-old child is being assessed for severe headaches that have been bothering him for several months. He has also experienced paresthesia, weakness, and extremity rigidity. As illustrated in the figure below, an MRI of the brain reveals an expansile mass in the lower pons: A 12-year-old child is being assessed for severe headaches that have been bothering him for several months. He has also experienced paresthesia, weakness, and extremity rigidity. As illustrated in the figure below, an MRI of the brain reveals an expansile mass in the lower pons:   Which of the following is most likely to be noticed in this patient as a result of the brain lesion's direct involvement of nerve nuclei? A) Asymmetric pupils B) Spontaneous nystagmus C) Tongue atrophy D) Trapezius weakness E) Vertical diplopia Which of the following is most likely to be noticed in this patient as a result of the brain lesion's direct involvement of nerve nuclei?


A) Asymmetric pupils
B) Spontaneous nystagmus
C) Tongue atrophy
D) Trapezius weakness
E) Vertical diplopia

Correct Answer:

verifed

Verified

Unlock this answer now
Get Access to more Verified Answers free of charge

Related Questions

Unlock this Answer For Free Now!

View this answer and more for free by performing one of the following actions

qr-code

Scan the QR code to install the App and get 2 free unlocks

upload documents

Unlock quizzes for free by uploading documents