Solved

A 55-Year-Old Man Arrives at the Office Complaining of Headaches

Question 249

Multiple Choice

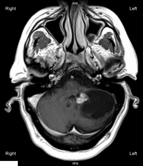
A 55-year-old man arrives at the office complaining of headaches that have worsened during the last two months. The throbbing headaches are commonly accompanied by nausea and increase anytime the patient coughs or bears down during a bowel movement. For episodic migraine without aura, medical history is important. A cystic mass is shown by gadolinium MRI of the brain, as demonstrated in the figure below: A 55-year-old man arrives at the office complaining of headaches that have worsened during the last two months. The throbbing headaches are commonly accompanied by nausea and increase anytime the patient coughs or bears down during a bowel movement. For episodic migraine without aura, medical history is important. A cystic mass is shown by gadolinium MRI of the brain, as demonstrated in the figure below:   Which of the following findings is most likely to be seen on physical examination of this patient? A) Left dysdiadochokinesia B) Left Horner syndrome C) Left oculomotor nerve palsy D) Photophobia E) Right hemiparesis F) Right hemisensory loss G) Right homonymous hemianopia H) Right lower facial droop Which of the following findings is most likely to be seen on physical examination of this patient?


A) Left dysdiadochokinesia
B) Left Horner syndrome
C) Left oculomotor nerve palsy
D) Photophobia
E) Right hemiparesis
F) Right hemisensory loss
G) Right homonymous hemianopia
H) Right lower facial droop

Correct Answer:

verifed

Verified

Unlock this answer now
Get Access to more Verified Answers free of charge

Related Questions

Unlock this Answer For Free Now!

View this answer and more for free by performing one of the following actions

qr-code

Scan the QR code to install the App and get 2 free unlocks

upload documents

Unlock quizzes for free by uploading documents