Services
Discover
Homeschooling
Ask a Question
Log in
Sign up
Filters
Done
Question type:
Essay
Multiple Choice
Short Answer
True False
Matching
Topic
Medicine
Study Set
United States Medical Licensing Examination (USMLE)-Step 2-CK
Exam 1: Medicine
Path 4
Access For Free
Share
All types
Filters
Study Flashcards
Practice Exam
Learn
Question 201
Multiple Choice
A 67-year-old woman is brought to the office by her son. He reports that his mother has had periodic confusion, memory loss, and poor sleep and seems "kind of out of it sometimes." These symptoms have gradually worsened over the past 1-2 years. The patient occasionally sees "strangers in the backyard," who are not there when her son looks for them. More recently, she has begun walking more slowly and has fallen twice in the past month without any significant injuries. The patient has a history of hypertension and depression. She does not drink alcohol or use illicit drugs. On physical examination, she walks slowly and has mild bilateral hand tremors and mild bilateral lower limb rigidity. On cognitive examination, the patient appears to be oriented to person and place, and can recall 1 of 3 items in 5 minutes; she can state the days of the week forward but does not cooperate with stating them backward. Chemistries, complete blood count, vitamin B
12
, and thyroid function tests are normal. Serum treponemal test is nonreactive. MRI of the brain shows mild generalized cortical atrophy. Which of the following is the most likely diagnosis in this patient?
Question 202
Multiple Choice
A 75-year-old man is brought to the office by his daughter due to increasing confusion over the past 3 weeks. His daughter noticed that he has had trouble writing, using a computer, and keeping track of his calendar. The patient's wife died 4 weeks ago and since then, he has not been sleeping well and taking doxylamine at bedtime has not helped much. Other medical conditions include chronic obstructive pulmonary disease and hypertension. The patient takes amlodipine and tiotropium. Temperature is 36.1 C (97 F) , blood pressure is 140/90 mm Hg, pulse is 105/min, and respirations are 18/min. The patient is oriented to person but not to time or place. Extraocular movements are normal. Lungs are clear to auscultation bilaterally. Reflexes are 2+ and strength is normal. His gait is ataxic and his speech is dysarthric. Complete blood count, urinalysis, and serum chemistries are normal. CT scan of the head reveals mild cortical atrophy but is otherwise normal. Which of the following is the most appropriate next step in management?
Question 203
Multiple Choice
A 15-year-old girl is brought to the emergency department due to pain in her arms, legs, and lower back. The patient has sickle cell disease and in the past has been hospitalized for pain crises and pneumococcal sepsis. Her current symptoms began this morning, but she is out of her medications, including oxycodone, hydroxyurea, and penicillin. Temperature is 37.6 C (99.7 F) , blood pressure is 158/88 mm Hg, pulse is 110/min, and respirations are 24/min. Pulse oximetry is 99% on room air. The patient is alert but anxious. Cardiac examination shows a flow murmur. The lungs are clear to auscultation. The abdomen is soft with no organomegaly. The legs and back are moderately tender to palpation. Morphine is given for pain control, and 1 hour afterward the patient is suddenly unable to move her left side. Examination shows 1/5 strength in the left upper and lower extremities and 5/5 strength in the right upper and lower extremities. Sensation is also diminished on the left side. Fingerstick glucose is 110 mg/dL. CT scan of the head shows no acute pathology. Which of the following is the best next step in management of this patient?
Question 204
Multiple Choice
A 26-year-old woman comes to the emergency department with numbness and weakness of both legs. Throughout the prior day, she felt like her legs kept "going to sleep" and on waking this morning, she had difficulty standing up and walking. She also reports urinary urgency and 2 episodes of involuntary urine leakage. The patient has no history of back pain or trauma. Four years ago, she was diagnosed with type 1 diabetes mellitus, and her glycemic control is maintained by continuous subcutaneous insulin infusion pump. One year ago, she was evaluated for right eye pain and impaired vision, but these resolved spontaneously in a week. Temperature is 36.9 C (98.4 F) , blood pressure is 134/78 mm Hg, and pulse is 76/min. Visual acuity and pupillary reflexes are normal. Muscle strength in the right and left lower extremities are 3/5 and 4/5, respectively. Patellar reflexes are 3+ on both sides, and plantar reflexes are upgoing. Sensation to vibration, light touch, and pain is decreased in both legs. Her fingerstick glucose level is 144 mg/dL. Which of the following is the most likely cause of this patient's current symptoms?
Question 205
Multiple Choice
A 25-year-old woman comes to the office due to intermittent double vision, dizziness, and unsteady gait for the last several days. During the past year, she has had several episodes of numbness and dizziness, and her symptoms were attributed to anxiety. She does not use tobacco or alcohol. Her brother died of subarachnoid hemorrhage. Blood pressure is 130/70 mm Hg and pulse is 76/min. On attempted left gaze, her left eye abducts and exhibits horizontal nystagmus, but her right eye remains stationary. When she attempts to look to the right, her right eye abducts and exhibits horizontal nystagmus, but her left eye remains stationary. The patient is able to converge both eyes without any associated nystagmus. Which of the following is the most likely site of the lesion in this patient?
Question 206
Multiple Choice
A 32-year-old woman is brought to the emergency department by her husband after having an episode of generalized tonic-clonic seizure 30 minutes ago. The patient was watching television when she suddenly started convulsing. The seizure stopped spontaneously after a minute, but she has been lethargic and confused since then. She has no prior history of seizures. According to her husband, the patient has had headaches, fatigue, and irritability for the past 2-3 weeks. She has also had several episodes of pain in her hand joints and wrists, which she attributed to an increased workload as a restaurant chef. The patient has no significant medical history, recent travel, or sick contacts. The only medication she takes is an oral contraceptive. Temperature is 38.1 C (100.5 F) , blood pressure is 130/80 mm Hg, pulse is 89/min, and respirations are 12/min. The patient is lethargic but follows instructions. She has an erythematous rash involving both cheeks. There is no tongue laceration, but small oral mucosal ulcers are present. The neck is supple, and other signs of meningeal irritation are negative. Neurological examination shows normal muscle strength and deep tendon reflexes. There is mild swelling and tenderness of the hand joints. Laboratory results are as follows:
A noncontrast CT scan of the head is unremarkable. Which of the following is the most likely diagnosis for this patient?
Question 207
Multiple Choice
An 84-year-old woman is brought to the emergency department due to 2 weeks of progressive confusion. She has a history of mild dementia and lives in an assisted living facility. Her caregiver reports that during the past several months she has become progressively weaker, and she has fallen down on several occasions and is now using a walker. In her usual state, the patient recognizes most of the staff, converses appropriately, and performs daily activities with minimal assistance; however, for the past week, she has been more confused and sleeping most of the time. She has also developed a mild headache. The patient has had no fever, vomiting, or urinary symptoms. Her other medical problems include hypertension and osteoarthritis. Blood pressure is 138/76 mm Hg and pulse is 74/min and regular. She is somnolent but arousable. The patient does not recognize her caregiver and gives several inaccurate answers but is able to follow simple instructions. Muscle strength is 4/5 on the right side and 3/5 on the left. Plantar reflex is upgoing on the left. Which of the following is the most likely diagnosis?
Question 208
Multiple Choice
A 48-year-old man comes to the emergency department due to 3 days of nausea and vomiting. For the past 4 weeks, the patient has also had increasingly severe headaches. He had a kidney transplant 2 years ago for glomerulonephritis and takes immunosuppressants. Temperature is 38.2 C (100.7 F) , blood pressure is 140/90 mm Hg, and pulse is 70/min. The patient is awake but drowsy. Examination shows neck stiffness. Cranial nerves are intact. Muscle strength is normal, but deep tendon reflexes are brisk. CT scan of the head shows no other abnormalities. Results of cerebrospinal fluid analysis results are as follows:
Which of the following is the most likely cause of this patient's symptoms?
Question 209
Multiple Choice
A 68-year-old hospitalized man is evaluated for new-onset leg weakness. Six days ago, he was admitted to the hospital due to fever, right leg pain, and swelling. Physical examination showed right lower extremity edema, erythema, warmth, and tenderness from the foot to the midcalf. Leukocyte count was 16,000/mm
3
, and venous Doppler ultrasonography revealed patent leg veins without thrombosis. Blood cultures grew Staphylococcus aureus. The patient was treated with intravenous antibiotics, and his leg symptoms improved. However, this morning he had trouble getting out of bed due to significant leg weakness. The patient has a history of hypertension, type 2 diabetes mellitus, coronary artery disease, and systolic heart failure. He also has chronic low back pain from a work-related injury. The patient has had worsening mid-back pain over the last 2 days. Temperature is 38 C (100.4 F) , blood pressure is 130/80 mm Hg, and pulse is 88/min. Physical examination shows normal mental status and cranial nerves. Abdominal examination reveals a suprapubic mass. There is midline tenderness over the lower thoracic vertebral area. Upper extremity strength is normal, but he is not able to lift either lower extremity against gravity. Which of the following is the best next step in management of this patient?
Question 210
Multiple Choice
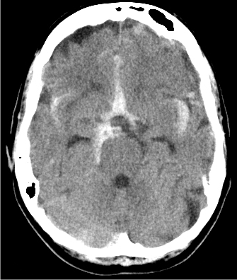
A 40-year-old man comes to the emergency department due to severe headache associated with photophobia and nausea for the past several hours. The patient reports mild cold symptoms a week ago. He has a 2-year history of hypertension and has smoked a pack of cigarettes daily for 15 years. His father died of stroke at the age of 75. Temperature is 37.7 C (100 F) , blood pressure is 170/100 mm Hg, and pulse is 92/min and regular. He appears to be uncomfortable and had an episode of nonbilious vomiting in the emergency department. Neurologic examination shows 4/5 motor strength and 2+ deep tendon reflexes bilaterally in the upper and lower extremities. Sensation to light touch and pinprick is normal. CT scan of the head without contrast is shown below.
Which of the following is the most likely cause of this patient's headache?
Question 211
Multiple Choice
A 38-year-old woman comes to the emergency department due to a 3-day history of left arm and leg numbness. She also reports urinary urgency and incontinence but has no fever or dysuria. The patient was diagnosed with multiple sclerosis 10 years ago after an episode of right eye vision loss. She was taking disease-modifying therapy but stopped after being symptom-free for several years. Temperature is 37 C (98.6 F) , blood pressure is 130/80 mm Hg, and pulse is 88/min. Sensation to light touch and pin prick is diminished on the left side. Neuroimaging reveals new areas of demyelination compared to previous MRIs. Which of the following is the most appropriate next step in management of this patient?
Question 212
Multiple Choice
A 20-year-old woman comes to the emergency department in January due to severe myalgias, fever, headache, and nausea that developed 4 hours ago. She has also had several episodes of nonbloody emesis over the past hour. The patient was feeling well this morning before her symptoms started. She does not use tobacco, alcohol, or illicit drugs. The patient has no known medication allergies. Temperature is 40.3 C (104.5 F) , blood pressure is 100/70 mm Hg, and pulse is 115/min. She is confused and has difficulty concentrating. Lung examination is normal. There is marked tenderness to palpation of the muscles along her extremities, which are mottled and cool to the touch. Complete blood count reveals a white blood cell count of 28,000/mm
3
with 12% bands. A noncontrast head CT is unremarkable. Which of the following is the best next step in management of this patient?
Question 213
Multiple Choice
A 32-year-old man is brought to the emergency department after his coworkers found him confused, disoriented, and bleeding from the nose. The patient's medical history is significant for an episode of major depression. He is currently taking no medication. According to his friends, he was in his normal state of health this morning when he came to work. He then spent the morning cutting several bushes and trees to clean the area for a new road construction. Temperature is 42 C (108 F) , blood pressure is 110/70 mm Hg, respirations are 16/min, and pulse is 120/min and regular. BMI is 40 kg/m
2
. The patient's skin is warm and dry, and his neck is supple with no stiffness. The pupils are symmetric, midsize, and reactive to light. There is active bleeding from the right nostril. Deep tendon reflexes are symmetric. No Babinski sign is present. The patient moves all the extremities but is unable to speak or follow simple commands. Skin on his extremities has several scratch marks, likely from thorn injuries. Which of the following is the most likely diagnosis?
Question 214
Multiple Choice
A 54-year-old man comes to the office due to shortness of breath at night. He has also felt weak but has had no dyspnea on exertion or leg swelling. His wife adds that the patient has had occasional cough while eating and that his speech is slightly slurred. He has no chronic medical conditions and is a lifelong nonsmoker. Vital signs are within normal limits. BMI is 25 kg/m
2
. On physical examination, the soft palate and uvula are completely visualized. The tongue is mildly atrophic with visible fasciculations. The lungs are clear on auscultation and heart sounds are normal. The abdomen is flat and moves outward during expiration. There is no extremity edema. Chest x-ray shows elevated hemidiaphragms but no parenchymal opacities. Compared to a healthy individual's tests, this patient's pulmonary function testing is most likely to reveal which of the following findings?
Question 215
Multiple Choice
A 43-year-old man presents to your office complaining of periodic involuntary head turning and head fixation to the right side. Physical examination reveals a hypertrophied left sternocleidomastoid muscle. What is the most likely diagnosis?